Select a Size
About This Item
biological source
mouse
Quality Level
conjugate
unconjugated
antibody form
purified immunoglobulin
antibody product type
primary antibodies
clone
CL0268, monoclonal
product line
Prestige Antibodies® Powered by Atlas Antibodies
form
buffered aqueous glycerol solution
species reactivity
human
concentration
1 mg/mL
technique(s)
immunoblotting: 1 μg/mL, immunohistochemistry: 1:50- 1:200
pH range
7.2-7.4
isotype
IgG1
Ensembl | human accession no.
application(s)
research pathology
shipped in
dry ice
storage temp.
−20°C
target post-translational modification
unmodified
Gene Information
human ... HER2(2064)
General description
Immunogen
Application
Monoclonal Anti-HER2 antibody produced in mouse has been used in Western blotting.
Western Blotting (1 paper)
Biochem/physiol Actions
Features and Benefits
Every Prestige Antibody is tested in the following ways:
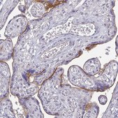
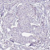
- IHC tissue array of 44 normal human tissues and 20 of the most common cancer type tissues.
- Protein array of 364 human recombinant protein fragments.
Physical form
Large pack size of 1ml (at 1mg/ml) is available in PBS only, purified, biocide free, carrier free and glycerol free. Order here-Request a Bulk Order /services/support/bulk-quotation-request
Preparation Note
Legal Information
Disclaimer
Still not finding the right product?
Try our Product Selector Tool to narrow your options
Storage Class
10 - Combustible liquids
wgk
WGK 1
Regulatory Information
This item has
Choose from one of the most recent versions:
Already Own This Product?
Find documentation for the products that you have recently purchased in the Document Library.
Related Content
抗体的质量决定了整个免疫检测的成败, 是在选择抗体时首选的考虑因素。基于Sigma®、Chemicon®、Upstate®、Mil l ipore®、 Calbiochem®和Novagen®等子品牌的强强联合,默克在创新的 免疫原设计、免疫、挑选、筛选和验证等方面有着数十年的经验, 创造出许多被广泛使用的抗体,如4G10,Neun,组蛋白修饰等抗 体都是相关领域的“金标”抗体。 我们的技术和科研背景使默克成为高质量抗体的主要设计者和生产 者,而不仅仅是经销商。毋庸置疑,我们的每个小瓶中的抗体都包 含着大量的科学研究成果。
Global Trade Item Number
| SKU | GTIN |
|---|---|
| AMAB90627-100UL | 04061837047541 |
| AMAB90627-25UL | 04061841697336 |