Skip to Content
Merck
CN

HPA010932

Anti-MTDH antibody produced in rabbit

Ab1, Prestige Antibodies® Powered by Atlas Antibodies, affinity isolated antibody, buffered aqueous glycerol solution

Synonym(s):

Anti-3D3/lyric antibody produced in rabbit, Anti-AEG-1 antibody produced in rabbit, Anti-Astrocyte elevated gene-1 protein antibody produced in rabbit, Anti-Lysine-rich CEACAM1 co-isolated protein antibody produced in rabbit, Anti-Metadherin antibody produced in rabbit, Anti-Metastasis adhesion protein antibody produced in rabbit, Anti-Protein LYRIC antibody produced in rabbit

Sign In to View Organizational & Contract Pricing.

Select a Size

Change View

About This Item

UNSPSC Code:
12352203
NACRES:
NA.43
Human Protein Atlas Number:
Conjugate:
unconjugated
Clone:
polyclonal
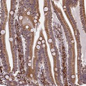
Application:
IF, IHC
Citations:
6
Technical Service
Need help? Our team of experienced scientists is here for you.
Let Us Assist


biological source

rabbit

Quality Level

conjugate

unconjugated

antibody form

affinity isolated antibody

antibody product type

primary antibodies

clone

polyclonal

product line

Prestige Antibodies® Powered by Atlas Antibodies

form

buffered aqueous glycerol solution

species reactivity

mouse, rat, human

enhanced validation

independent
Learn more about Antibody Enhanced Validation

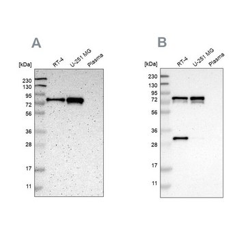
technique(s)

immunoblotting: 0.04-0.4 μg/mL, immunofluorescence: 0.25-2 μg/mL, immunohistochemistry: 1:500-1:1000

immunogen sequence

RKTEPSAWSQDTGDANTNGKDWGRSWSDRSIFSGIGSTAEPVSQSTTSDYQWDVSRNQPYIDDEWSGLNGLSSADPNSDWNAPAEEWGNWVDEERASLLKSQEPIPDDQKVSDDDKEKGEGALPTGKSKKKKKKKKKQGEDNSTAQD

UniProt accession no.

shipped in

wet ice

storage temp.

−20°C

target post-translational modification

unmodified

Gene Information

human ... MTDH(92140)

General description

MTDH is an oncogene that aids cancer progression. It is involved in a broad range of cellular functions such as apoptosis evasion, metastasis, drug resistance, cell movement and transformation. MTDH may have therapeutic implications in breast cancer . Anti-MTDH antibody is specific for MTDH in humans.

Immunogen

Protein LYRIC recombinant protein epitope signature tag (PrEST)

Application

Anti-MTDH antibody produced in rabbit, a Prestige Antibody, is developed and validated by the Human Protein Atlas (HPA) project . Each antibody is tested by immunohistochemistry against hundreds of normal and disease tissues. These images can be viewed on the Human Protein Atlas (HPA) site by clicking on the Image Gallery link. The antibodies are also tested using protein array and western blotting. To view these protocols and other useful information about Prestige Antibodies and the HPA, visit sigma.com/prestige. Anti-MTDH antibody is also suitable for use in indirect immunofluorescence.

Features and Benefits

Prestige Antibodies® are highly characterized and extensively validated antibodies with the added benefit of all available characterization data for each target being accessible via the Human Protein Atlas portal linked just below the product name at the top of this page. The uniqueness and low cross-reactivity of the Prestige Antibodies® to other proteins are due to a thorough selection of antigen regions, affinity purification, and stringent selection. Prestige antigen controls are available for every corresponding Prestige Antibody and can be found in the linkage section.

Every Prestige Antibody is tested in the following ways:
  • IHC tissue array of 44 normal human tissues and 20 of the most common cancer type tissues.
  • Protein array of 364 human recombinant protein fragments.

Physical form

Solution in phosphate-buffered saline, pH 7.2, containing 40% glycerol and 0.02% sodium azide

Other Notes

Corresponding Antigen APREST72056

Legal Information

Prestige Antibodies is a registered trademark of Merck KGaA, Darmstadt, Germany

Disclaimer

Unless otherwise stated in our catalog or other company documentation accompanying the product(s), our products are intended for research use only and are not to be used for any other purpose, which includes but is not limited to, unauthorized commercial uses, in vitro diagnostic uses, ex vivo or in vivo therapeutic uses or any type of consumption or application to humans or animals.


Still not finding the right product?

or

Try our Product Selector Tool to narrow your options


Storage Class

10 - Combustible liquids

wgk

WGK 1

flash_point_f

Not applicable

flash_point_c

Not applicable

ppe

Eyeshields, Gloves, multi-purpose combination respirator cartridge (US)

Regulatory Information

常规特殊物品
低风险生物材料

This item has



Choose from one of the most recent versions:

Certificates of Analysis (COA)

Lot/Batch Number

Don't see the Right Version?

If you require a particular version, you can look up a specific certificate by the Lot or Batch number.

Already Own This Product?

Find documentation for the products that you have recently purchased in the Document Library.

Visit the Document Library


Related Content

Prestige Antibodies Immunofluorescence Procedure


Bo Liu et al.
Oncology letters, 5(2), 505-510 (2013-02-20)
Astrocyte elevated gene-1 (AEG-1) and endothelin-1 (ET-1)/endothelin A receptor (ETAR) signaling have been demonstrated to be important in osteosarcoma (OS) progression. In the present study, we explored the interaction between AEG-1 and ET-1/ETAR signaling in OS cells, and investigated the
Chuan Wang et al.
Oncology letters, 2(3), 399-405 (2011-05-01)
Astrocyte elevated gene-1 (AEG-1), also known as MTDH and Lyric, is a novel gene that was first cloned by subtraction hybridization in 2002 and has recently been shown to play a role as a crucial oncogene that acts as a
Guohong Hu et al.
Clinical cancer research : an official journal of the American Association for Cancer Research, 15(18), 5615-5620 (2009-09-03)
Cancer is the result of the progressive acquisition of multiple malignant traits through the accumulation of genetic or epigenetic alterations. Recent studies have established a functional role of MTDH (Metadherin)/AEG-1 (Astrocyte Elevated Gene 1) in several crucial aspects of tumor



Global Trade Item Number

SKUGTIN
HPA010932-25UL04061842817146
HPA010932-100UL04061837125546