诊断性免疫组化_临床检验产品_诊断试剂生产-默克生命科学

诊断性免疫组化是一系列用于识别组织异常、建立预后并提示治疗方式的技术。其基本原理是一种抗原-抗体结合反应,利用酶或荧光染料来标记抗体,呈现出组织或组织切片中特定抗原的位置和分布。尽管组织学染色作为传统分析手段已有一个多世纪的历史,但诊断性免疫组化和分子分析的多项技术进步,仍然为现代临床病理学领域带来了革命性的突破。
推荐类别
诊断性免疫组化和临床病理学
免疫组化作为病理实验室常规服务的一部分,提供了一种方便易用的分析诊断工具。目前临床诊断仍以苏木精-伊红(H&E)等标准组织染色为主,而免疫组化则可以通过多种方式来帮助病理学家通发现问题病例。例如,诊断性免疫染色常用于鉴定形态或发育细胞增殖或凋亡等早期的细微变化。临床抗体可通过与标记物蛋白的特异性结合来鉴定单个细胞谱系。由于免疫染色对组织的处理、保存和试剂质量较为敏感,临床抗体的特异性还可能会导致假阳性/假阴性结果。为此,临床病理实验室可通过成熟的实验方案和培训项目,同时利用经临床验证的诊断抗体、染色剂和试剂,将检测错误降至最低。特别是对关键细胞标记物高度特异性的单克隆抗体的发展,大大推动了诊断性免疫组化panel在疾病状态的研究和临床鉴定以及外科病理学指导中的应用。
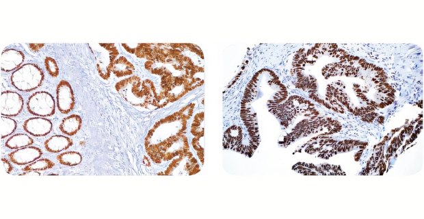
诊断性免疫组化和癌症
多数癌症都可结合组织学染色和通过诊断性免疫组化定位活检组织中的特定抗原两种手段来进行鉴定。但利用福尔马林固定组织的标准H&E染色对肿瘤类型,尤其是转移性或分化较差的肿瘤进行鉴定较为棘手。而通过免疫组化则可以更好、更快地诊断肿瘤新生组织的起源并对特定新生肿瘤的行为或发展进行研究。原发部位不明癌(CUP)指可观察到转移但原发部位未知的癌症。约3-5%的癌症案例属于原发部位不明癌。对于确诊的原发部位不明癌和其他在形态和临床数据上存在分歧的非典型病例,免疫组化作用巨大,可有效缩小诊断替换方案的范围。有时还可为癌症表型和原发肿瘤部位的初步诊断提供重要参考。在免疫组化中,免疫染色已正式成为一种鉴定腺癌(结肠、乳腺、前列腺)和皮肤癌等多种类型癌症的便捷诊断工具, 常用于结肠癌(HNPCC/林奇综合征)的诊断,作为经典检测方法,如微卫星不稳定性(MSI)的重要补充,后者表现为重复的DNA序列发生一系列改变。在皮肤癌病理学中,标准的H&E染色切片无法可靠地鉴定出表皮内的黑素细胞,尤其是晒伤皮肤。无论检查多么细致,人们都很难区分出色素性角质形成细胞与黑素细胞或界定黑素细胞密度。因此,许多病理学家都推荐使用免疫组化在原位将黑素瘤细胞与其相似细胞进行区分。
诊断性免疫组化和感染因子
诊断性免疫组化可对患者感染组织样本进行形态学区分,有助于在患者护理中快速诊断。该技术一直使用异硫氰酸荧光素(FITC)标记的抗体来检测感染组织中的肺炎球菌抗原。在传染病检测中,免疫组化可很好地鉴定以下情况的微生物:
- 难以通过常规或差异的染色进行检测
- 染色效果差
- 存在数量低
- 不可培养
诊断性免疫组化的某些方法已用于诊断乙肝、丙肝、巨细胞病毒感染的病例,通过使用对微生物DNA或RNA特异性的抗体来确定组织中的感染因子。此外,免疫组化还可用于检测多种皮肤感染,鉴定某些仅使用常规显微镜染色难以进行检测的特定病毒和细菌感染。在人体医学和兽医中,免疫荧光检测(IFA)已广泛应用于未固定组织中病原体(病毒、细菌或原生动物)的检测。
相关文章
- Colorectal cancer is a common occurrence among inhabitants of most Western countries, second only to carcinoma of the lung.
- Immunohistochemistry (IHC) is used to characterize intracellular proteins or various cell surfaces in all tissues. Individual markers or more often panels of various marker proteins can be used to characterize various tumor subtypes, confirm tissue of origin, distinguish metastatic from primary tumor and provide additional information which may be important for prognosis, predicting response to therapy or evaluating residual tumour post-treatment.
- Immunohistochemistry (IHC) represents an indispensable tool in cancer diagnostics.
- 查看完整内容 (6)
相关实验方案
- Tips and troubleshooting for FFPE and frozen tissue immunohistochemistry (IHC) protocols using both brightfield analysis of chromogenic detection and fluorescent microscopy.
- 3-D Culture Matrix™ Mouse Laminin I may be used as a gel or as a media additive to study cellular growth and differentiation in three dimensions in vitro.
- 3-D Culture Matrix™ Collagen I may be used as a gel on which to grow cells or a media additive alone or in concert with other basement membrane components to study cellular growth and differentiation in three dimensions in vitro.
- Cultrex® 3-D Culture Matrix™ RGF BME is the first Basement Membrane Extract produced and qualified specifically for use in 3D culture studies.
- The 3-D Spheroid Colorimetric Proliferation/Viability Assay offers high content format for inducing tumor spheroid formation and quantitating cell viability within the spheroids by absorbance using MTT.
- 查看完整内容 (26)
我们可以提供哪些帮助
如有任何疑问,请提交客户支持请求
或联系我们的客户服务团队:
发送电子邮件至 custserv@sial.com
或致电 +1 (800) 244-1173
更多支持
- Chromatogram Search
Use the Chromatogram Search to identify unknown compounds in your sample.
- 计算器与应用_缓冲液计算器_HPLC方法转换计算器-默克生命科学
默克该工具箱包括用于化学、生命科学、材料科学等方面的科学研究工具和资源。
- Customer Support Request
Customer support including help with orders, products, accounts, and website technical issues.
- FAQ
Explore our Frequently Asked Questions for answers to commonly asked questions about our products and services.
如要继续阅读,请登录或创建帐户。
暂无帐户?
