biological source
rabbit
Quality Level
antibody form
affinity purified immunoglobulin
antibody product type
primary antibodies
clone
polyclonal
purified by
affinity chromatography
species reactivity
human
manufacturer/tradename
Chemicon®
technique(s)
western blot: suitable
NCBI accession no.
UniProt accession no.
shipped in
dry ice
target post-translational modification
phosphorylation (pThr231)
Gene Information
human ... MAPT(4137)
General description
Tau是主要在轴突上发现的神经元微管相关蛋白,其功能是促进微管蛋白聚合并稳定微管。过度磷酸化形式的Tau是双螺旋丝(PHF)的主要成分,PHF是阿尔茨海默′病(AD)脑中神经原纤维病变的组成部分。在一系列其他中枢神经系统疾病的神经原纤维病变中也发现了过度磷酸化的Tau。过度磷酸化会损害Tau的微管结合功能,导致AD脑中微管的不稳定,最终导致受影响的神经元变性。许多丝氨酸/苏氨酸激酶,包括GSK-3β,蛋白激酶A(PKA),周期蛋白依赖性激酶5(cdk5)和酪蛋白激酶II(CK2),使tau磷酸化。苏氨酸231被GSK-3β,cdk5和cdk1磷酸化,并已显示参与AD的预缠结过程。
Immunogen
人Tau磷酸苏氨酸231位点周围的氨基酸合成肽。
Application
抗Tau磷酸苏氨酸231抗体可检测Tau磷酸苏氨酸231的水平&已发表&经验证可用于WB。
研究子类别
神经退行性疾病
神经退行性疾病
研究类别
神经科学
神经科学
蛋白质印迹:1:1,000。建议的封闭缓冲液为5%BSA-TBST,室温下放置1小时。建议的抗体稀释缓冲液为1%BSA-TBST。建议的抗体培养时间为室温下2小时。
最佳工作稀释度必须由最终用户进行确定。
最佳工作稀释度必须由最终用户进行确定。
Biochem/physiol Actions
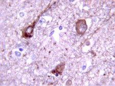
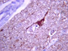
Tau磷酸苏氨酸231。 该抗体可识别经GSK-3β处理45分钟的重组人Tau样品中的Tau p苏氨酸231。抗体的反应性被p苏氨酸231肽阻断,但未被非磷酸肽或含磷酸苏氨酸的普通肽阻断。
Physical form
亲和纯化的免疫球蛋白。 在Dulbeccos′PBS(不含Mg2+和Ca2+),pH 7.3、50%甘油,含1.0 mg/ml BSA和0.05%叠氮化钠中的液体。
Preparation Note
自收到之日起,在-20° C以未稀释的等分试样可保存 6 个月。应避免反复冻/融循环。 请勿储存在自动除霜冰箱中。
Legal Information
CHEMICON is a registered trademark of Merck KGaA, Darmstadt, Germany
Disclaimer
除非我们的产品目录或产品附带的其他公司文档另有说明,否则我们的产品仅供研究使用,不得用于任何其他目的,包括但不限于未经授权的商业用途、体外诊断用途、离体或体内治疗用途或任何类型的消费或应用于人类或动物。
Still not finding the right product?
试用我们的 产品选型工具 工具缩小选择范围
存储类别
10 - Combustible liquids
wgk
WGK 2
实验方案
A stem cell culture protocol to generate 3D NSC models of Alzheimer’s disease using ReNcell human neural stem cell lines.
相关内容
Alzheimer’s Disease: Amyloid Cascade and Beyond Product Focus
Increased Tau Phosphorylation and Impaired Brain Insulin/IGF Signaling in Mice Fed a High Fat/High Cholesterol Diet.
Bhat, Narayan R and Thirumangalakudi, Lakshmi
Journal of Alzheimer'S Disease (2013)
I Tesseur et al.
The American journal of pathology, 156(3), 951-964 (2000-03-07)
Epidemiological studies have established that the epsilon 4 allele of the ApoE gene (ApoE4) constitutes an important risk factor for Alzheimer's disease and might influence the outcome of central nervous system injury. The mechanism by which ApoE4 contributes to the
Fei Liu et al.
The Journal of biological chemistry, 280(3), 1790-1796 (2004-11-18)
Protein phosphatase (PP) 5 is highly expressed in the mammalian brain, but few physiological substrates have yet been identified. Here, we investigated the kinetics of dephosphoryation of phospho-tau by PP5 and found that PP5 had a K(m) of 8-13 microm
全球贸易项目编号
| 货号 | GTIN |
|---|---|
| AB9668 | 04053252337000 |