biological source
rabbit
Quality Level
conjugate
unconjugated
antibody form
affinity isolated antibody
antibody product type
primary antibodies
clone
polyclonal
product line
Prestige Antibodies® Powered by Atlas Antibodies
form
buffered aqueous glycerol solution
species reactivity
human
enhanced validation
orthogonal RNAseq
Learn more about Antibody Enhanced Validation
technique(s)
immunohistochemistry: 1:50-1:200
immunogen sequence
EFKDSLSINATNIKHFKNCTSISGDLHILPVAFRGDSFTHTPPLDPQELDILKTVKEITGFLLIQAWPENRTDLHAFENLEIIRGRTKQHGQFSLAVVSLNITSLGLRSLKEISDGDVIISGNKNLCYANTINWKKLFGTSGQKTKIIS
UniProt accession no.
application(s)
research pathology
shipped in
wet ice
storage temp.
−20°C
target post-translational modification
unmodified
Gene Information
human ... EGFR(1956)
General description
The gene epidermal growth factor receptor (EGFR) is mapped to human chromosome 7p12. It belongs to receptor tyrosine kinase family. The protein is mainly localized in the plasma membrane.
Immunogen
Epidermal growth factor receptor precursor recombinant protein epitope signature tag (PrEST)
Application
Anti-EGFR antibody produced in rabbit is suitable for use in epitope mapping to study the antibody cross-reactivity with a multi-target fragment library.
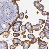
Anti-EGFR antibody produced in rabbit, a Prestige Antibody, is developed and validated by the Human Protein Atlas (HPA) project . Each antibody is tested by immunohistochemistry against hundreds of normal and disease tissues. These images can be viewed on the Human Protein Atlas (HPA) site by clicking on the Image Gallery link. The antibodies are also tested using immunofluorescence and western blotting. To view these protocols and other useful information about Prestige Antibodies and the HPA, visit sigma.com/prestige.
Anti-EGFR antibody produced in rabbit, a Prestige Antibody, is developed and validated by the Human Protein Atlas (HPA) project . Each antibody is tested by immunohistochemistry against hundreds of normal and disease tissues. These images can be viewed on the Human Protein Atlas (HPA) site by clicking on the Image Gallery link. The antibodies are also tested using immunofluorescence and western blotting. To view these protocols and other useful information about Prestige Antibodies and the HPA, visit sigma.com/prestige.
Biochem/physiol Actions
Epidermal growth factor receptor (EGFR) plays an important role in cell proliferation, survival, and differentiation. Interaction between EGFR and its ligands results in stimulation of several transduction pathways including the RAS/RAF/MEK/MAPK, PLC-γ/PKC, PI3K/AKT, JAK/STAT, and NF-κB cascades. Presence of ligand stimulates EGFR phosphorylation. This event subsequently recruits ubiquitin ligase, CBL, to EGFR. Activated EGFR-ligand complex is removed from the cell surface via endocytosis and is degraded in the lysosomes to attenuate the signaling. EGFR hyper-phosphorylation is linked to cell proliferation and thereby tumor development. EGFR is associated with a number of human solid tumors, including lung, breast, prostate, bladder, colon, head and neck, ovarian and salivary duct carcinomas.
Density-enhanced phosphatase-1 (DEP1) dephosphorylates and thereby stabilizes EGFR. The transmembrane protein LRIG1 and suppressors of cytokine signaling-5 (SOCS5) binds and destabilizes EGFR. Protein tyrosine phosphatase PTPN3 and PHD3 promotes EGFR endocytic degradation.
Density-enhanced phosphatase-1 (DEP1) dephosphorylates and thereby stabilizes EGFR. The transmembrane protein LRIG1 and suppressors of cytokine signaling-5 (SOCS5) binds and destabilizes EGFR. Protein tyrosine phosphatase PTPN3 and PHD3 promotes EGFR endocytic degradation.
Features and Benefits
Prestige Antibodies® are highly characterized and extensively validated antibodies with the added benefit of all available characterization data for each target being accessible via the Human Protein Atlas portal linked just below the product name at the top of this page. The uniqueness and low cross-reactivity of the Prestige Antibodies® to other proteins are due to a thorough selection of antigen regions, affinity purification, and stringent selection. Prestige antigen controls are available for every corresponding Prestige Antibody and can be found in the linkage section.
Every Prestige Antibody is tested in the following ways:
Every Prestige Antibody is tested in the following ways:
- IHC tissue array of 44 normal human tissues and 20 of the most common cancer type tissues.
- Protein array of 364 human recombinant protein fragments.
Physical form
Solution in phosphate-buffered saline, pH 7.2, containing 40% glycerol and 0.02% sodium azide
Other Notes
Corresponding Antigen APREST78874
Legal Information
Prestige Antibodies is a registered trademark of Merck KGaA, Darmstadt, Germany
Disclaimer
Unless otherwise stated in our catalog or other company documentation accompanying the product(s), our products are intended for research use only and are not to be used for any other purpose, which includes but is not limited to, unauthorized commercial uses, in vitro diagnostic uses, ex vivo or in vivo therapeutic uses or any type of consumption or application to humans or animals.
存储类别
10 - Combustible liquids
wgk
WGK 1
flash_point_f
Not applicable
flash_point_c
Not applicable
ppe
Eyeshields, Gloves, multi-purpose combination respirator cartridge (US)
法规信息
常规特殊物品
低风险生物材料
此项目有
Y Yarden
European journal of cancer (Oxford, England : 1990), 37 Suppl 4, S3-S8 (2001-10-13)
Growth factors and their transmembrane receptor tyrosine kinases play important roles in cell proliferation, survival, migration and differentiation. One group of growth factors, comprising epidermal growth factor (EGF)-like proteins and neuregulins, stimulates cells to divide by activating members of the
Elton P Hudson et al.
Scientific reports, 2, 706-706 (2012-10-11)
As antibody-based diagnosis and therapy grow at an increased pace, there is a need for methods which rapidly and accurately determine antibody-antigen interactions. Here, we report a method for the multiplex determination of antibody epitopes using bacterial cell-surface display. A
Cheng-Yao Chiang et al.
Clinical cancer research : an official journal of the American Association for Cancer Research, 21(24), 5601-5611 (2015-08-20)
Mass spectrometry-based biomarker discovery has clinical benefit. To identify novel biomarkers for urothelial carcinoma, we performed quantitative proteomics on pooled urine pairs from patients with and without urothelial carcinoma. Shot-gun proteomics using liquid chromatography-tandem mass spectrometry and stable isotope dimethyl
全球贸易项目编号
| 货号 | GTIN |
|---|---|
| HPA001200-100UL | 04061837132513 |
| HPA001200-25UL | 04061841601203 |