biological source
rabbit
Quality Level
conjugate
unconjugated
antibody form
affinity isolated antibody
antibody product type
primary antibodies
clone
polyclonal
product line
Prestige Antibodies® Powered by Atlas Antibodies
form
buffered aqueous glycerol solution
species reactivity
rat, mouse, human
enhanced validation
orthogonal RNAseq
Learn more about Antibody Enhanced Validation
technique(s)
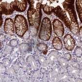
immunoblotting: 0.04-0.4 μg/mL, immunohistochemistry: 1:500-1:1000
immunogen sequence
KFEKAMAVGATECISPKDSTKPISEVLSEMTGNNVGYTFEVIGHLETMIDALASCHMNYGTSV
UniProt accession no.
shipped in
wet ice
storage temp.
−20°C
target post-translational modification
unmodified
Gene Information
human ... ADH7(131)
General description
The alcohol dehydrogenase 7 (ADH7) gene is mapped to human chromosome 4q22–23. The gene codes for class IV (σ) alcohol dehydrogenase (ADH). ADH7 is a member of human alcohol dehydrogenase family and is exclusively expressed in the oesophagus and gastric mucosa.
Immunogen
alcohol dehydrogenase 7 (class IV), mu or sigma polypeptide recombinant protein epitope signature tag (PrEST)
Application
All Prestige Antibodies Powered by Atlas Antibodies are developed and validated by the Human Protein Atlas (HPA) project and as a result, are supported by the most extensive characterization in the industry. The Human Protein Atlas project can be subdivided into three efforts: Human Tissue Atlas, Cancer Atlas, and Human Cell Atlas. The antibodies that have been generated in support of the Tissue and Cancer Atlas projects have been tested by immunohistochemistry against hundreds of normal and disease tissues and through the recent efforts of the Human Cell Atlas project, many have been characterized by immunofluorescence to map the human proteome not only at the tissue level but now at the subcellular level. These images and the collection of this vast data set can be viewed on the Human Protein Atlas (HPA) site by clicking on the Image Gallery link. We also provide Prestige Antibodies® protocols and other useful information.
Biochem/physiol Actions
Alcohol dehydrogenase 7 (ADH7) stimulates alcohol metabolism before its absorption into the blood.The encoded protein is an ADH isozyme, which acts as a retinol dehydrogenase and catalyzes retinol metabolism.
Features and Benefits
Prestige Antibodies® are highly characterized and extensively validated antibodies with the added benefit of all available characterization data for each target being accessible via the Human Protein Atlas portal linked just below the product name at the top of this page. The uniqueness and low cross-reactivity of the Prestige Antibodies® to other proteins are due to a thorough selection of antigen regions, affinity purification, and stringent selection. Prestige antigen controls are available for every corresponding Prestige Antibody and can be found in the linkage section.
Every Prestige Antibody is tested in the following ways:
Every Prestige Antibody is tested in the following ways:
- IHC tissue array of 44 normal human tissues and 20 of the most common cancer type tissues.
- Protein array of 364 human recombinant protein fragments.
Physical form
Solution in phosphate buffered saline, pH 7.2, containing 40% glycerol and 0.02% sodium azide.
Other Notes
Corresponding Antigen APREST79873
Legal Information
Prestige Antibodies is a registered trademark of Merck KGaA, Darmstadt, Germany
Disclaimer
Unless otherwise stated in our catalog or other company documentation accompanying the product(s), our products are intended for research use only and are not to be used for any other purpose, which includes but is not limited to, unauthorized commercial uses, in vitro diagnostic uses, ex vivo or in vivo therapeutic uses or any type of consumption or application to humans or animals.
存储类别
10 - Combustible liquids
wgk
WGK 1
flash_point_f
Not applicable
flash_point_c
Not applicable
法规信息
新产品
此项目有
Association of the gastric alcohol dehydrogenase gene ADH7 with variation in alcohol metabolism.
Birley AJ
Human Molecular Genetics, 17, 179-189 (2008)
The complete structure of human class IV alcohol dehydrogenase (retinol dehydrogenase) determined from the ADH7 gene.
Satre MA
The Journal of Biological Chemistry, 269, 15606-15612 (1994)
全球贸易项目编号
| 货号 | GTIN |
|---|---|
| HPA039695-100UL | 04061836358921 |
| HPA039695-25UL | 04061841191292 |