biological source
mouse
Quality Level
antibody form
purified from hybridoma cell culture, purified immunoglobulin
antibody product type
primary antibodies
clone
CS-56, monoclonal
form
buffered aqueous solution
species reactivity
mouse, chicken, bovine, human
packaging
antibody small pack of 25 μL
concentration
~1 mg/mL
technique(s)
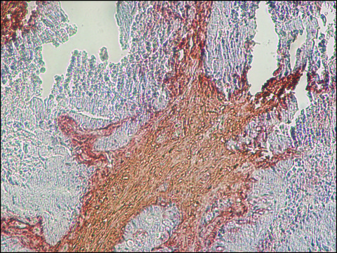
immunofluorescence: 2.5-5 μg/mL using bovine BMGE cells, immunohistochemistry: 2.5-5 μg/mL using heat-retrieved formalin-fixed, paraffin-embedded human colon cancer sections and Biotin/ExtrAvidin ®-Peroxidase staining system.
isotype
IgM
shipped in
dry ice
storage temp.
−20°C
target post-translational modification
unmodified
Gene Information
human ... CSPG4(1464)
General description
抗-硫酸软骨素单克隆抗体(小鼠IgM同种型)来自于CS56杂交瘤,该杂交瘤由小鼠骨髓瘤细胞与用鸡胗成纤维细胞膜内面(Ventral membranes of chicken gizzard fibroblasts)免疫的BALB/C小鼠脾细胞融合而成。该抗体识别牛乳腺上皮细胞及人、鸡和小鼠成纤维细胞或组织中的硫酸软骨素蛋白聚糖(CSPG)。
硫酸软骨素蛋白聚糖4(CSPG4)或神经/胶质抗原2(NG2)由定位于人类染色体15q24.2-15q24.3上的基团编码。它是在脊髓损伤后产生的一种生长抑制型硫酸软骨素蛋白多糖,由单条糖胺聚糖(GAG)链组成,属于跨膜硫酸软骨素蛋白多糖家族。
硫酸软骨素蛋白聚糖4(CSPG4)或神经/胶质抗原2(NG2)由定位于人类染色体15q24.2-15q24.3上的基团编码。它是在脊髓损伤后产生的一种生长抑制型硫酸软骨素蛋白多糖,由单条糖胺聚糖(GAG)链组成,属于跨膜硫酸软骨素蛋白多糖家族。
Immunogen
鸡砂囊成纤维细胞的腹侧膜
Biochem/physiol Actions
硫酸软骨素蛋白聚糖 4(CSPG4)或神经/神经胶质抗原 2(NG2)刺激背根神经节神经元中整合素的激活。它还具有刺激小胶质细胞中炎症细胞因子表达的作用。CSPG4在大脑修复中起着至关重要的作用。该基因的过度表达会导致15q24-qter三体患者发育迟缓。CSPG4作为恶性癌症的潜在预后生物标志物和治疗靶点。
Physical form
0.01 M 磷酸盐缓冲液 (pH 7.4) 中的溶液,含 15 mM 叠氮化钠。
Preparation Note
如需连续使用,可在2-8°C下保存一个月。对于长期储存,可将工作浓度的分装品冷冻。不建议反复冻融。如果长期储存时出现轻微混浊,使用前通过离心澄清溶液。如果在12小时内未使用,则应丢弃工作稀释样品。
Other Notes
为了在各种技术和制备中获得最结果,我们建议用滴定法测定最佳工作浓度。
Legal Information
ExtrAvidin is a registered trademark of Merck KGaA, Darmstadt, Germany
Disclaimer
除非我们的产品目录或产品附带的其他公司文档另有说明,否则我们的产品仅供研究使用,不得用于任何其他目的,包括但不限于未经授权的商业用途、体外诊断用途、离体或体内治疗用途或任何类型的消费或应用于人类或动物。
Still not finding the right product?
试用我们的 产品选型工具 工具缩小选择范围
存储类别
12 - Non Combustible Liquids
wgk
WGK 1
flash_point_f
Not applicable
flash_point_c
Not applicable
法规信息
常规特殊物品
低风险生物材料
此项目有
NG2, a member of chondroitin sulfate proteoglycans family mediates the inflammatory response of activated microglia.
Gao Q, et al.
Neuroscience, 165, 386-394 (2010)
Pure duplication of the distal long arm of chromosome 15 with ebstein anomaly and clavicular anomaly.
O'Connor R, et al.
Case Reports in Genetics (2011)
Entrapment via synaptic-like connections between NG2 proteoglycan+ cells and dystrophic axons in the lesion plays a role in regeneration failure after spinal cord injury.
Filous AR, et al.
The Journal of Neuroscience, 34, 16369-16384 (2014)
全球贸易项目编号
| 货号 | GTIN |
|---|---|
| SAB4200696-100UL | 04061837884368 |