biological source
rabbit
Quality Level
conjugate
unconjugated
antibody form
affinity isolated antibody
antibody product type
primary antibodies
clone
polyclonal
form
buffered aqueous solution
species reactivity
human
concentration
0.7 mg/mL
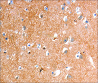
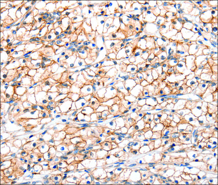
technique(s)
immunohistochemistry: 1:25- 1:100
isotype
IgG
accession no.
NP_002053.3
UniProt accession no.
shipped in
wet ice
storage temp.
−20°C
target post-translational modification
unmodified
Gene Information
human ... GLP1R(2740)
Immunogen
Fusion protein corresponding to a region derived from internal residues of human glucagon-like peptide 1 receptor
Biochem/physiol Actions
The antibody detects endogenous levels of total GLP1R protein.
Features and Benefits
Evaluate our antibodies with complete peace of mind. If the antibody does not perform in your application, we will issue a full credit or replacement antibody. Learn more.
Physical form
Rabbit IgG in pH7.3 PBS, 0.05% NaN3, 50% Glycerol.
Disclaimer
Unless otherwise stated in our catalog or other company documentation accompanying the product(s), our products are intended for research use only and are not to be used for any other purpose, which includes but is not limited to, unauthorized commercial uses, in vitro diagnostic uses, ex vivo or in vivo therapeutic uses or any type of consumption or application to humans or animals.
存储类别
10 - Combustible liquids
wgk
WGK 1
flash_point_f
Not applicable
flash_point_c
Not applicable
法规信息
新产品
此项目有
全球贸易项目编号
| 货号 | GTIN |
|---|---|
| SAB4300800-100UL | 04061837434679 |