跳转至内容
Merck
CN

ZMS1007

Anti-GluR1 Antibody, clone RH95 ZooMAb® Mouse Monoclonal

greener alternative

recombinant, expressed in HEK 293 cells

别名:

AMPA-selective glutamate receptor 1, GluA1, GluR-1, GluR-A, GluR-K1, Glutamate receptor 1, Glutamate receptor ionotropic AMPA 1

登录 查看组织和合同定价。

选择尺寸

变更视图

关于此项目

NACRES:
NA.41
UNSPSC Code:
12352203
Conjugate:
unconjugated
Clone:
RH95, recombinant monoclonal, monoclonal
Application:
ICC, IF, IHC (p), WB
Citations:
-
技术服务
需要帮助?我们经验丰富的科学家团队随时乐意为您服务。
让我们为您提供帮助


biological source

mouse

Quality Level

recombinant

expressed in HEK 293 cells

conjugate

unconjugated

antibody form

purified antibody

antibody product type

primary antibodies

clone

RH95, recombinant monoclonal, monoclonal

product line

ZooMAb® learn more

form

lyophilized

mol wt

calculated mol wt 101.58 kDa, observed mol wt ~110 kDa

species reactivity

mouse, rat

packaging

antibody small pack of 25 μL

greener alternative product characteristics

Waste Prevention
Designing Safer Chemicals
Design for Energy Efficiency
Learn more about the Principles of Green Chemistry.

enhanced validation

recombinant expression
Learn more about Antibody Enhanced Validation

sustainability

Greener Alternative Product

technique(s)

immunocytochemistry: suitable, immunofluorescence: suitable, immunohistochemistry (formalin-fixed, paraffin-embedded sections): suitable, western blot: suitable

isotype

IgG2a

UniProt accession no.

greener alternative category

shipped in

ambient

storage temp.

2-8°C

target post-translational modification

unmodified

Gene Information

mouse ... Gria1(14799)
rat ... Gria1(50592)

General description

Glutamate receptor 1 (UniProt: P19490; also known as GluR-1, AMPA-selective glutamate receptor 1, GluR-A, GluR-K1, Glutamate receptor ionotropic, AMPA 1, GluA1) is encoded by the Gria1 (also known as Glur1) gene (Gene ID: 50592) in rat. Four different AMPA receptors have been described and are designated as GluR1, GluR2, GluR3, and GluR4. These receptors mediate fast excitatory neurotransmission in the brain and are involved in multiple brain functions, including cognition, movement, learning, and memory. Each of the AMPA receptor subunit can exist in either ′flip′ or ′flop′ form and the efficacy of glutamate is believed to be higher at the ′flip′ form. The binding site on this receptor is formed by the N-terminal tail and the extracellular loop between transmembrane domains three and four. Upon agonist binding, these two loops move towards each other, which opens the pore.Glu-R1 is a multi-pass membrane glycoprotein that is synthesized with a signal peptide (aa 1-18), which is subsequently cleaved off to produce the mature protein that contains to extracellular domains, four transmembrane domains, and two cytoplasmic domains. It is widely expressed throughout the nervous system and can exist in homotetrameric or heterotetrameric form. Tetramers may be formed by the dimerization of dimers. GluR-1 has several phosphorylation sites on the intracellular carboxy terminus. Many of these sites play a role in receptor regulation and synaptic plasticity. This ZooMAb recombinant monoclonal antibody, generated by our propriety technology, offers significantly enhanced specificity, affinity, reproducibility, and stability over conventional monoclonals. (Ref.: Lee, HK., et al. (2010). J. Physiol. 103(1); 479-489).
We are committed to bringing you greener alternative products, which adhere to one or more of The 12 Principles of Green Chemistry.This antibody is Preservative-free, produced without the harm or sacrifice of animals and exceptionally stable to allow for ambient shipping and storage if needed and thus aligns with "Waste Prevention", "Designing Safer Chemicals" and "Design for Energy Efficiency". Click here for more information.
ZooMAb antibodies represent an entirely new generation of recombinant monoclonal antibodies.

Each ZooMAb antibody is manufactured using our proprietary recombinant expression system, purified to homogeneity, and precisely dispensed to produce robust and highly reproducible lot-to-lot consistency. Only top-performing clones are released for use by researchers. Each antibody is validated for high specificity and affinity across multiple applications, including its most commonly used application. ZooMAb antibodies are reliably available and ready to ship when you need them.

Learn more about ZooMAb here.

Immunogen

Thyroglobulin-conjugated linear peptide from the N-terminal region of rat Glutamate receptor 1.

Application

Anti-GluR1, clone RH95 ZooMAb, Cat. No. ZMS1007, is a recombinant Mouse monoclonal antibody that specifically targets GluR1 and is tested for use in Immunocytochemistry, Immunofluorescence, Immunohistochemistry (Paraffin), and Western Blotting.
Western Blotting Analysis: A 1:10,000 dilution from a representative lot detected GluR1 in Mouse Brain tissue lysate.

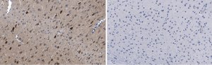
Immunohistochemistry (Paraffin) Analysis: A 1:1,000 dilution from a representative lot detected GluR1 in rat brain tissue sections.

Immunofluorescence Analysis: A 1:1,000 dilution from a representative lot detected GluR1 in rat brain tissue sections.

Immunocytochemistry Analysis: A 1:100 dilution from a representative lot detected GluR1 in rat E18 cortical cells.

Note: Actual optimal working dilutions must be determined by end user as specimens, and experimental conditions may vary with the end user

Biochem/physiol Actions

Clone RH95 is a ZooMAb mouse recombinant monoclonal antibody that specifically detects Glutamate receptor 1 (GluR1). It targets an epitope within the N-terminal region.

Physical form

Purified recombinant mouse monoclonal antibody IgG, lyophilized in PBS, 5% Trehalose, normal appearance a coarse or translucent resin. Contains no biocide or preservatives, such as azide, or any animal by-products. Larger pack sizes provided as multiples of 25 μL.

Preparation Note

Recommend storage of lyophilized product at 2-8°C; Before reconstitution, micro-centrifuge vials briefly to spin down material to bottom of the vial; Reconstitute each vial by adding 25 μL of filtered lab grade water or PBS; Reconstituted antibodies can be stored at 2-8°C, or -20°C for long term storage. Avoid repeated freeze-thaws.
Reconstitute lyophilized antibody pellet with 25μL of ultrapure water or Phosphate Buffered Saline (PBS). Please refer to our reconstitution protocol and the specific application guidance on the suggested starting dilutions and sample type.

Legal Information

ZooMAb is a registered trademark of Merck KGaA, Darmstadt, Germany

Disclaimer

Unless otherwise stated in our catalog or other company documentation accompanying the product(s), our products are intended for research use only and are not to be used for any other purpose, which includes but is not limited to, unauthorized commercial uses, in vitro diagnostic uses, ex vivo or in vivo therapeutic uses or any type of consumption or application to humans or animals.


Still not finding the right product?

试用我们的 产品选型工具 工具缩小选择范围


存储类别

11 - Combustible Solids

wgk

WGK 1

flash_point_f

Not applicable

flash_point_c

Not applicable

法规信息

常规特殊物品
常规特殊物品

此项目有



历史批次信息供参考:

分析证书(COA)

Lot/Batch Number

没有发现合适的版本?

如果您需要特殊版本,可通过批号或批次号查找具体证书。

已有该产品?

在文件库中查找您最近购买产品的文档。

访问文档库



全球贸易项目编号

货号GTIN
ZMS1007-25UL04061842310852
ZMS1007-4X25UL04061842310869