跳转至内容
Merck
CN

ZMS1041

Anti-MDM2 Antibody, clone IF2 ZooMAb® Mouse Monoclonal

greener alternative

recombinant, expressed in HEK 293 cells

登录 查看组织和合同定价。

选择尺寸

变更视图

关于此项目

NACRES:
NA.41
UNSPSC Code:
12352203
Conjugate:
unconjugated
Clone:
IF2, recombinant monoclonal
Application:
FACS, ICC, IHC (p), WB
Citations:
-
技术服务
需要帮助?我们经验丰富的科学家团队随时乐意为您服务。
让我们为您提供帮助


biological source

mouse

Quality Level

recombinant

expressed in HEK 293 cells

conjugate

unconjugated

antibody form

purified antibody

antibody product type

primary antibodies

clone

IF2, recombinant monoclonal

product line

ZooMAb® learn more

form

lyophilized

mol wt

calculated mol wt 55.23 kDa, observed mol wt ~75 kDa

purified by

using protein G

species reactivity

human

packaging

antibody small pack of 25 μL

greener alternative product characteristics

Waste Prevention
Designing Safer Chemicals
Design for Energy Efficiency
Learn more about the Principles of Green Chemistry.

enhanced validation

recombinant expression
Learn more about Antibody Enhanced Validation

sustainability

Greener Alternative Product

technique(s)

flow cytometry: suitable, immunocytochemistry: suitable, immunohistochemistry (formalin-fixed, paraffin-embedded sections): suitable, western blot: suitable

isotype

IgG

epitope sequence

N-terminal

UniProt accession no.

greener alternative category

shipped in

ambient

storage temp.

2-8°C

target post-translational modification

unmodified

General description

E3 ubiquitin-protein ligase Mdm2 (UniProt: Q00987; also known as EC:2.3.2.27, Double minute 2 protein, Hdm2, Oncoprotein Mdm2, RING-type E3 ubiquitin transferase, Mdm2, p53-binding protein Mdm2) is encoded by the MDM2 gene (Gene ID: 4193) in human. Mdm2 is a ubiquitously expressed, p53-inducible phosphoprotein protein that is predominantly expressed in the nucleoplasm. It binds to the N-terminus of the p53 and negatively regulates its activity. as an E3 ligase to ubiquitinate p53 and force its export from the nucleus to the cytoplasm where it is degraded in the proteasome. Over-expression of MDM2 is reported in several cancers, including breast cancer and soft tissue carcinomas. In breast cancer its over-expression is also correlated with lack of p21 expression. MDM2 overexpression is also associated with chemotherapeutic resistance in human malignancies. The mechanisms of chemotherapeutic resistance by MDM2 overexpression includes both the p53-MDM2 loop-dependent and p53-MDM2 loop-independent pathways. In normal cells, its over-expression causes G1 phase arrest. Hence, in normal cells it may have a protective role in preventing untimely cell cycle progression. MDM2 can underdo phosphorylation on serine 166 by SGK1 and at multiple sites near the RING domain (aa 438-479) by ATM kinase upon DNA damage. This ZooMAb® recombinant monoclonal antibody, generated by our propriety technology, offers significantly enhanced specificity, affinity, reproducibility, and stability over conventional monoclonals. (Ref.: Hou, H., et al. (2019). Cancer Cell Int. 19; Article 216).
We are committed to bringing you greener alternative products, which adhere to one or more of The 12 Principles of Green Chemistry.This antibody is Preservative-free, produced without the harm or sacrifice of animals and exceptionally stable to allow for ambient shipping and storage if needed and thus aligns with "Waste Prevention", "Designing Safer Chemicals" and "Design for Energy Efficiency". Click here for more information.
ZooMAb® antibodies represent an entirely new generation of recombinant monoclonal antibodies.Each ZooMAb® antibody is manufactured using our proprietary recombinant expression system, purified to homogeneity, and precisely dispensed to produce robust and highly reproducible lot-to-lot consistency. Only top-performing clones are released for use by researchers. Each antibody is validated for high specificity and affinity across multiple applications, including its most commonly used application. ZooMAb® antibodies are reliably available and ready to ship when you need them.

Immunogen

Recombinant human MDM2.

Application

Quality Control Testing

Evaluated by Western Blotting in lysate from Nutlin 3a treated U2OS cells.

Western Blotting Analysis (WB): A 1:10,000 dilution of this antibody detected MDM2 in lysate from Nutlin 3a treated U2OS cells, but not in lysate from untreated cells.

Tested applications

Immunocytochemistry Analysis: A 1:1,000 dilution from a representative lot detected MDM2 in U2OS cells treated with Nutlin-3a.

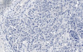
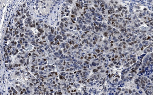
Immunohistochemistry (Paraffin) Analysis: A 1:100 dilution from a representative lot detected MDM2 in human testis cancer and human stomach cancer tissue sections.

Flow Cytometry Analysis: 1 μg from a representative lot detected MDM2 in one million U2OS cells treated with Nutlin-3a.

Note: Actual optimal working dilutions must be determined by end user as specimens, and experimental conditions may vary with the end user
Anti-MDM2, clone IF2 ZooMAb®, Cat. No. ZMS1041, is a recombinant Mouse monoclonal antibody that detects MDM2 and is tested for use in Flow Cytometry, Immunocytochemistry, Immunohistochemistry (Paraffin), and Western Blotting.

Biochem/physiol Actions

Clone IF2 is a ZooMAb® Mouse recombinant monoclonal antibody that detects MDM2.

Physical form

Purified recombinant mouse monoclonal antibody IgG, lyophilized in PBS with 5% Trehalose, normal appearance a coarse or translucent resin. The PBS/trehalose components in the ZooMAb® formulation can have the appearance of a semi-solid (bead like gel) after lyophilization. This is a normal phenomenon. Please follow the recommended reconstitution procedure in the data sheet to dissolve the semi-solid, bead-like, gel-appearing material. The resulting antibody solution is completely stable and functional as proven by full functional testing. Contains no biocide or preservatives, such as azide, or any animal by-products. Larger pack sizes provided as multiples of 25 μL.

Preparation Note

Recommend storage of lyophilized product at 2-8°C; Before reconstitution, micro-centrifuge vials briefly to spin down material to bottom of the vial; Reconstitute each vial by adding 25 μL of filtered lab grade water or PBS; Reconstituted antibodies can be stored at 2-8°C, or -20°C for long term storage. Avoid repeated freeze-thaws.
Reconstitute lyophilized antibody pellet with 25μL of ultrapure water or Phosphate Buffered Saline (PBS). Please refer to our reconstitution protocol and the specific application guidance on the suggested starting dilutions and sample type.

Legal Information

ZooMAb is a registered trademark of Merck KGaA, Darmstadt, Germany

Disclaimer

Unless otherwise stated in our catalog or other company documentation accompanying the product(s), our products are intended for research use only and are not to be used for any other purpose, which includes but is not limited to, unauthorized commercial uses, in vitro diagnostic uses, ex vivo or in vivo therapeutic uses or any type of consumption or application to humans or animals.


Still not finding the right product?

试用我们的 产品选型工具 工具缩小选择范围


存储类别

13 - Non Combustible Solids

wgk

WGK 1

flash_point_f

Not applicable

flash_point_c

Not applicable

法规信息

常规特殊物品
常规特殊物品

此项目有



历史批次信息供参考:

分析证书(COA)

Lot/Batch Number

没有发现合适的版本?

如果您需要特殊版本,可通过批号或批次号查找具体证书。

已有该产品?

在文件库中查找您最近购买产品的文档。

访问文档库


商品

Learn about the hallmarks of cancer and find reliable ZooMAb® recombinant antibodies to study them, conveniently organized by cancer hallmark.





全球贸易项目编号

货号GTIN
ZMS1041-25UL04065266508574
ZMS1041-4X25UL04065266508581