biological source
mouse
Quality Level
recombinant
expressed in HEK 293 cells
conjugate
unconjugated
antibody form
purified antibody
antibody product type
primary antibodies
clone
D4B5, recombinant monoclonal
product line
ZooMAb® learn more
form
lyophilized
mol wt
calculated mol wt 130.98 kDa, observed mol wt ~130 kDa
purified by
using protein G
species reactivity
human
packaging
antibody small pack of 25 μL
greener alternative product characteristics
Waste Prevention
Designing Safer Chemicals
Design for Energy Efficiency
Learn more about the Principles of Green Chemistry.
enhanced validation
recombinant expression
Learn more about Antibody Enhanced Validation
sustainability
Greener Alternative Product
technique(s)
ELISA: suitable, immunocytochemistry: suitable, immunohistochemistry (formalin-fixed, paraffin-embedded sections): suitable, western blot: suitable
isotype
IgG1
epitope sequence
Internal
Protein ID accession no.
UniProt accession no.
greener alternative category
, Aligned
shipped in
ambient
storage temp.
2-8°C
target post-translational modification
unmodified
General description
Laminin subunit gamma-2 (UniProt: Q13753; also known as Cell-scattering factor 140 kDa subunit, CSF 140 kDa subunit, Epiligrin subunit gamma, Kalinin subunit gamma, Kalinin/nicein/epiligrin 100 kDa subunit, Ladsin 140 kDa subunit, Laminin B2t chain, Laminin-5 subunit gamma, Large adhesive scatter factor 140 kDa subunit, Nicein subunit gamma) is encoded by the LAMC2 (also known as LAMB2T, LAMNB2) gene (Gene ID: 3918) in human. Laminin is a major basement membrane glycoprotein consisting of a, b, g chains that are bound to each other by disulfide bonds. Over 15 different isoforms have been reported in the laminin family that are expressed in a tissue-specific manner and play different role in each tissue. g2, a subunit of Laminin-5 (also known as Laminin-332) is synthesized with a signal peptide (aa 1-21), which is subsequently cleaved off to generate the mature form. It is reported to be frequently over-expressed as a monomer or as the b3- g2 heterodimer in invasive cancers and is regarded as an invasion marker. It has 8 EGF-like domains. The cell adhesion and motility activities of Laminin-5 are reported to be regulated by the proteolytic cleavage of the short arm of Laminin g2 chain by BMP-1 or MT1-MMP. This cleavage releases a 45 kDa N-terminal proteolytic fragment (g2pf). The short arm and g2 pf can be further cleaved by serine proteases and by matrix metalloproteinases resulting in the release of small N-terminal fragments. g2pf‐like fragments have been reported to be present in conditioned media of cultured cancer cells and in sera from human cancer subjects. Laminin 5 synthesis in shown to be enhanced by inflammatory cytokines and growth factors that help in wound repair. This ZooMAb® recombinant monoclonal antibody, generated by our propriety technology, offers significantly enhanced specificity, affinity, reproducibility, and stability over conventional monoclonals. (Ref.: Miyazaki, K., et al. (2016). Cancer Sci. 107(12); 1909-1918; Sato, H., et al. (2014). Cancer Sci. 105(2); 168-175; Amano S., et al. (2004). Br. J. Dermatol. 151(5); 961-970).
We are committed to bringing you greener alternative products, which adhere to one or more of The 12 Principles of Green Chemistry.This antibody is Preservative-free, produced without the harm or sacrifice of animals and exceptionally stable to allow for ambient shipping and storage if needed and thus aligns with "Waste Prevention", "Designing Safer Chemicals" and "Design for Energy Efficiency". Click here for more information.
ZooMAb® antibodies represent an entirely new generation of recombinant monoclonal antibodies.Each ZooMAb® antibody is manufactured using our proprietary recombinant expression system, purified to homogeneity, and precisely dispensed to produce robust and highly reproducible lot-to-lot consistency. Only top-performing clones are released for use by researchers. Each antibody is validated for high specificity and affinity across multiple applications, including its most commonly used application. ZooMAb® antibodies are reliably available and ready to ship when you need them.
Immunogen
GST-tagged recombinant fragment corresponding to 227 amino acids from the internal region of human.
Application
Quality Control Testing
Evaluated by Western Blotting with recombinant Laminin 5 g2.
Western Blotting Analysis: A 1:10,000 dilution of this antibody detected human recombinant Laminin 5 g2.
Tested applications
Immunocytochemistry Analysis: A 1:100 dilution from a representative lot detected Laminin-5 gamma2 in A431 Cell line.
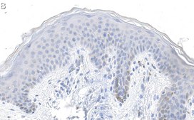
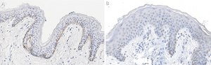
Immunohistochemistry (Paraffin) Analysis: A 1:100 dilution from a representative lot detected Laminin-5 gamma2 in human skin tissue sections.
ELISA Analysis: 300 μg/mL from a representative lot detected Laminin-5 gamma2 in Laminin-5 with control GST.
Note: Actual optimal working dilutions must be determined by end user as specimens, and experimental conditions may vary with the end user
Evaluated by Western Blotting with recombinant Laminin 5 g2.
Western Blotting Analysis: A 1:10,000 dilution of this antibody detected human recombinant Laminin 5 g2.
Tested applications
Immunocytochemistry Analysis: A 1:100 dilution from a representative lot detected Laminin-5 gamma2 in A431 Cell line.
Immunohistochemistry (Paraffin) Analysis: A 1:100 dilution from a representative lot detected Laminin-5 gamma2 in human skin tissue sections.
ELISA Analysis: 300 μg/mL from a representative lot detected Laminin-5 gamma2 in Laminin-5 with control GST.
Note: Actual optimal working dilutions must be determined by end user as specimens, and experimental conditions may vary with the end user
Anti-Laminin-5 g2, clone D4B5 ZooMAb®, Cat. No. ZMS1059, is a recombinant Mouse monoclonal antibody that detects Laminin-5 (g2 chain) and is tested for use in ELISA, Immunocytochemistry, Immunohistochemistry (Paraffin), and Western Blotting.
Biochem/physiol Actions
Clone D4B5 is a ZooMAb® Mouse recombinant monoclonal antibody that specifically detects Laminin-5 g2. It targets an epitope within the internal region and detects both isoforms.
Physical form
Purified recombinant mouse monoclonal antibody IgG, lyophilized in PBS with 5% Trehalose, normal appearance a coarse or translucent resin. The PBS/trehalose components in the ZooMAb® formulation can have the appearance of a semi-solid (bead like gel) after lyophilization. This is a normal phenomenon. Please follow the recommended reconstitution procedure in the data sheet to dissolve the semi-solid, bead-like, gel-appearing material. The resulting antibody solution is completely stable and functional as proven by full functional testing. Contains no biocide or preservatives, such as azide, or any animal by-products. Larger pack sizes provided as multiples of 25 μL.
Preparation Note
Recommend storage of lyophilized product at 2-8°C; Before reconstitution, micro-centrifuge vials briefly to spin down material to bottom of the vial; Reconstitute each vial by adding 25 μL of filtered lab grade water or PBS; Reconstituted antibodies can be stored at 2-8°C, or -20°C for long term storage. Avoid repeated freeze-thaws.
Reconstitute lyophilized antibody pellet with 25μL of ultrapure water or Phosphate Buffered Saline (PBS). Please refer to our reconstitution protocol and the specific application guidance on the suggested starting dilutions and sample type.
Legal Information
ZooMAb is a registered trademark of Merck KGaA, Darmstadt, Germany
Disclaimer
Unless otherwise stated in our catalog or other company documentation accompanying the product(s), our products are intended for research use only and are not to be used for any other purpose, which includes but is not limited to, unauthorized commercial uses, in vitro diagnostic uses, ex vivo or in vivo therapeutic uses or any type of consumption or application to humans or animals.
Still not finding the right product?
试用我们的 产品选型工具 工具缩小选择范围
存储类别
11 - Combustible Solids
wgk
WGK 1
flash_point_f
Not applicable
flash_point_c
Not applicable
法规信息
常规特殊物品
此项目有
全球贸易项目编号
| 货号 | GTIN |
|---|---|
| ZMS1059-25UL | 04065266582147 |
| ZMS1059-4X25UL | 04065266582154 |