biological source
mouse
Quality Level
recombinant
expressed in HEK 293 cells
conjugate
unconjugated
antibody form
purified antibody
antibody product type
primary antibodies
clone
AE1, recombinant monoclonal
product line
ZooMAb® learn more
form
lyophilized
mol wt
calculated mol wt 40 to 56 kDa, observed mol wt ~40 kDa
species reactivity
human
packaging
antibody small pack of 25 μL
greener alternative product characteristics
Waste Prevention
Designing Safer Chemicals
Design for Energy Efficiency
Learn more about the Principles of Green Chemistry.
enhanced validation
recombinant expression
Learn more about Antibody Enhanced Validation
sustainability
Greener Alternative Product
technique(s)
flow cytometry: suitable, immunocytochemistry: suitable, immunohistochemistry (formalin-fixed, paraffin-embedded sections): suitable, western blot: suitable
isotype
IgG1
epitope sequence
Unknown
UniProt accession no.
greener alternative category
, Aligned
shipped in
ambient
storage temp.
2-8°C
target post-translational modification
unmodified
General description
Keratins are the intermediate filament proteins of epithelia that display high degree of molecular diversity. They are heteropolymeric filaments formed by pairing of type I and type II keratins that are expressed in a highly specific patterns depending on the epithelial type and stage of cellular differentiation. Keratins contain a central rod domain of about 310 amino acids with alpha-helical conformation bordered by non-helical head and tail domains of variable length. The head domain consists of subdomains V1 and H1. The central alpha helical rod domain is composed of subdomains 1A, 1B, 2A, and 2B connected by the linkers L1, L12, and L2. The tail domain then consists of subdomains H2 and V2. They provide stability between epithelial cells and their attachment to basement membrane. Keratins also serve as tumor markers and epithelial differentiation markers. Multiple human epithelial keratins have been resolved with 2D-gels electrophoresis. These can be divided into acidic (pI 5.7) and basic (pI 6.0) subfamilies. The acidic keratins have molecular weights that range from 40 to 56 kDa. The basic keratins have molecular weights that range from 52 to 67 kDa. Members of the acidic and basic subfamilies are reported to be present in pairs. The composition of keratin pairs varies with the epithelial cell type, stage of differentiation, cellular growth environment, and the disease state. Clone AE1 recognizes all acidic (Type 1) keratins. This ZooMAb® recombinant monoclonal antibody, generated by our propriety technology, offers significantly enhanced specificity, affinity, reproducibility, and stability over conventional monoclonals. (Ref.: Moll, R., et al. (2008). Histochem. Cell Biol. 129(6); 705-733).
We are committed to bringing you greener alternative products, which adhere to one or more of The 12 Principles of Green Chemistry.This antibody is Preservative-free, produced without the harm or sacrifice of animals and exceptionally stable to allow for ambient shipping and storage if needed and thus aligns with "Waste Prevention", "Designing Safer Chemicals" and "Design for Energy Efficiency". Click here for more information.
ZooMAb® antibodies represent an entirely new generation of recombinant monoclonal antibodies.
Each ZooMAb® antibody is manufactured using our proprietary recombinant expression system, purified to homogeneity, and precisely dispensed to produce robust and highly reproducible lot-to-lot consistency. Only top-performing clones are released for use by researchers. Each antibody is validated for high specificity and affinity across multiple applications, including its most commonly used application. ZooMAb® antibodies are reliably available and ready to ship when you need them.
Learn more about ZooMAb here.
Each ZooMAb® antibody is manufactured using our proprietary recombinant expression system, purified to homogeneity, and precisely dispensed to produce robust and highly reproducible lot-to-lot consistency. Only top-performing clones are released for use by researchers. Each antibody is validated for high specificity and affinity across multiple applications, including its most commonly used application. ZooMAb® antibodies are reliably available and ready to ship when you need them.
Learn more about ZooMAb here.
Immunogen
Purified human epidermal keratins.
Application
Quality Control Testing
Evaluated by Western Blotting in HepG2 cell lysate.
Western Blotting Analysis: A 1:1,000 dilution of this antibody detected Cytokeratin in HepG2 cell lysate.
Tested applications
Western Blotting Analysis: A 1:1,000 dilution from a representative lot detected pan-cytokeratin in HEK293 and A431 cell lysates.
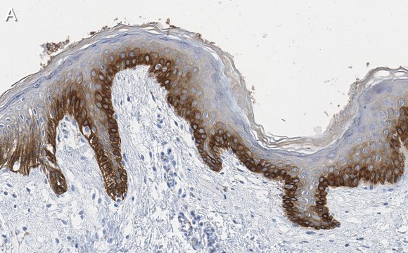
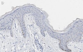
Immunohistochemistry (Paraffin) Analysis: A 1:100 dilution from a representative lot detected pan-cytokeratin in human skin and human urinary bladder tissue sections.
Immunocytochemistry Analysis: A 1:100 dilution from a representative lot detected pan-cytokeratin in Human umbilical vein endothelial cells (HUVEC).
Flow Cytometry Analysis: 1 μg from a representative lot detected pan-cytokeratin in one million HepG2 cells.
Note: Actual optimal working dilutions must be determined by end user as specimens, and experimental conditions may vary with the end user
Evaluated by Western Blotting in HepG2 cell lysate.
Western Blotting Analysis: A 1:1,000 dilution of this antibody detected Cytokeratin in HepG2 cell lysate.
Tested applications
Western Blotting Analysis: A 1:1,000 dilution from a representative lot detected pan-cytokeratin in HEK293 and A431 cell lysates.
Immunohistochemistry (Paraffin) Analysis: A 1:100 dilution from a representative lot detected pan-cytokeratin in human skin and human urinary bladder tissue sections.
Immunocytochemistry Analysis: A 1:100 dilution from a representative lot detected pan-cytokeratin in Human umbilical vein endothelial cells (HUVEC).
Flow Cytometry Analysis: 1 μg from a representative lot detected pan-cytokeratin in one million HepG2 cells.
Note: Actual optimal working dilutions must be determined by end user as specimens, and experimental conditions may vary with the end user
Anti-pan-cytokeratin, clone AE1 ZooMAb®, Cat. No. ZMS1063, is a recombinant Mouse monoclonal antibody that detects various Cytokeratins and is tested for use in Flow Cytometry, Immunocytochemistry, Immunohistochemistry (Paraffin), and Western Blotting.
Biochem/physiol Actions
Clone AE1 is a ZooMAb® mouse recombinant monoclonal antibody that detects all acidic (Type I) cytokeratins.
Physical form
Purified recombinant mouse monoclonal antibody IgG, lyophilized in PBS with 5% Trehalose, normal appearance a coarse or translucent resin. The PBS/trehalose components in the ZooMAb formulation can have the appearance of a semi-solid (bead like gel) after lyophilization. This is a normal phenomenon. Please follow the recommended reconstitution procedure in the data sheet to dissolve the semi-solid, bead-like, gel-appearing material. The resulting antibody solution is completely stable and functional as proven by full functional testing. Contains no biocide or preservatives, such as azide, or any animal by-products. Larger pack sizes provided as multiples of 25 μL.
Preparation Note
Recommend storage of lyophilized product at 2-8°C; Before reconstitution, micro-centrifuge vials briefly to spin down material to bottom of the vial; Reconstitute each vial by adding 25 μL of filtered lab grade water or PBS; Reconstituted antibodies can be stored at 2-8°C, or -20°C for long term storage. Avoid repeated freeze-thaws.
Reconstitute lyophilized antibody pellet with 25μL of ultrapure water or Phosphate Buffered Saline (PBS). Please refer to our reconstitution protocol and the specific application guidance on the suggested starting dilutions and sample type.
Legal Information
ZooMAb is a registered trademark of Merck KGaA, Darmstadt, Germany
Disclaimer
Unless otherwise stated in our catalog or other company documentation accompanying the product(s), our products are intended for research use only and are not to be used for any other purpose, which includes but is not limited to, unauthorized commercial uses, in vitro diagnostic uses, ex vivo or in vivo therapeutic uses or any type of consumption or application to humans or animals.
Still not finding the right product?
试用我们的 产品选型工具 工具缩小选择范围
存储类别
11 - Combustible Solids
wgk
WGK 1
法规信息
常规特殊物品
此项目有
全球贸易项目编号
| 货号 | GTIN |
|---|---|
| ZMS1063-25UL | 04065265880596 |
| ZMS1063-4X25UL | 04065265880602 |