跳转至内容
Merck
CN

ZMS1069

Anti-Rhodopsin CT Antibody, clone Rho 1D4 ZooMAb® Mouse Monoclonal

greener alternative

recombinant, expressed in HEK 293 cells

登录 查看组织和合同定价。

选择尺寸

变更视图

关于此项目

NACRES:
NA.43
UNSPSC Code:
12352203
Conjugate:
unconjugated
Clone:
Rho 1D4, recombinant monoclonal
Application:
ICC, IF, IHC (p), WB
Citations:
-
技术服务
需要帮助?我们经验丰富的科学家团队随时乐意为您服务。
让我们为您提供帮助


biological source

mouse

Quality Level

recombinant

expressed in HEK 293 cells

conjugate

unconjugated

antibody form

purified antibody

antibody product type

primary antibodies

clone

Rho 1D4, recombinant monoclonal

product line

ZooMAb® learn more

form

lyophilized

mol wt

calculated mol wt 39.01 kDa, observed mol wt ~37 kDa

species reactivity

human

species reactivity (predicted by homology)

mouse, bovine

packaging

antibody small pack of 25 μL

greener alternative product characteristics

Waste Prevention
Designing Safer Chemicals
Design for Energy Efficiency
Learn more about the Principles of Green Chemistry.

enhanced validation

recombinant expression
Learn more about Antibody Enhanced Validation

sustainability

Greener Alternative Product

technique(s)

immunocytochemistry: suitable, immunofluorescence: suitable, immunohistochemistry (formalin-fixed, paraffin-embedded sections): suitable, western blot: suitable

isotype

IgG1

epitope sequence

C-terminal

Protein ID accession no.

UniProt accession no.

greener alternative category

shipped in

ambient

storage temp.

2-8°C

target post-translational modification

unmodified

General description

Rhodopsin (UniProt: P02699; also known as Rho) is encoded by the RHO gene (Gene ID: 509933) in bovine. Rhodopsin is a multi-pass membrane homodimeric protein of the G-protein coupled receptor 1 family that is found in rod shaped photoreceptor cells that mediate vision in dim light. It is synthesized in the inner segment (IS) of rod photoreceptor cells before vectorial transport to disk membranes in the rod outer segment (OS) photosensory cilia. It contains four extracellular domains, seven transmembrane domains, and four cytoplasmic domains. It is synthesized in the inner segment of rod photoreceptor cells before vectorial transport to disk membranes in the rod outer segment photosensory cilia. Rhodopsin is required for image-forming vision at low light intensity and is shown to be essential for photoreceptor cell viability after birth. Light-induced isomerization of the chromophore 11-cis-retinal to all-trans-retinal triggers a conformational change that activates signaling via G-proteins. Subsequent receptor phosphorylation mediates displacement of the bound G-protein alpha subunit by the arrestin SAG and terminates signaling. Mutations in RHO gene in human are known to cause Retinitis pigmentosa 4 that is characterized by retinal pigment deposits and loss of rod photoreceptor cells followed by secondary loss of cone photoreceptors leading to night vision blindness. This ZooMAb® recombinant monoclonal antibody, generated by our propriety technology, offers significantly enhanced specificity, affinity, reproducibility, and stability over conventional monoclonals.
We are committed to bringing you greener alternative products, which adhere to one or more of The 12 Principles of Green Chemistry.This antibody is Preservative-free, produced without the harm or sacrifice of animals and exceptionally stable to allow for ambient shipping and storage if needed and thus aligns with "Waste Prevention", "Designing Safer Chemicals" and "Design for Energy Efficiency". Click here for more information.
ZooMAb® antibodies represent an entirely new generation of recombinant monoclonal antibodies.

Each ZooMAb® antibody is manufactured using our proprietary recombinant expression system, purified to homogeneity, and precisely dispensed to produce robust and highly reproducible lot-to-lot consistency. Only top-performing clones are released for use by researchers. Each antibody is validated for high specificity and affinity across multiple applications, including its most commonly used application. ZooMAb® antibodies are reliably available and ready to ship when you need them.

Learn more about ZooMAb here.

Immunogen

Purified full-length Bovine Rhodopsin.

Application

Quality Control Testing

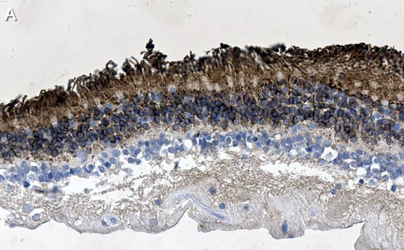
Evaluated by Immunohistochemistry (Paraffin) in human retinal tissue sections.

Immunohistochemistry (Paraffin) Analysis: A 1:1,000 dilution of this antibody detected Rhodopsin CT in human retina tissue sections.

Tested applications

Western Blotting Analysis: A 1:50,000 dilution from a representative lot detected Rhodopsin CT in Mouse Retina and Human Retina tissue lysates.

Immunofluorescence Analysis: A 1:1,000 dilution from a representative lot detected Rhodopsin CT in human retina tissue sections.

Immunocytochemistry Analysis: A 1:100 dilution from a representative lot detected Rhodopsin CT in ARPE-19 cells.

Immunocytochemistry Analysis: A 1:100 dilution from a representative lot detected Rhodopsin CT in ARPE-19 cell line.

Note: Actual optimal working dilutions must be determined by end user as specimens, and experimental conditions may vary with the end user
Anti-Rhodopsin CT, clone Rho 1D4 ZooMAb®, Cat. No. ZMS1069, is a recombinant Mouse monoclonal antibody that detects Rhodopsin and is tested for use in Immunocytochemistry, Immunofluorescence, Immunohistochemistry (Paraffin), and Western Blotting.

Biochem/physiol Actions

Clone Rho 1D4 is a ZooMAb® mouse recombinant monoclonal antibody that specifically detects rhodopsin. It targets an epitope within 9 amino acids from the C-terminal region.

Physical form

Purified recombinant mouse monoclonal antibody IgG, lyophilized in PBS with 5% Trehalose, normal appearance a coarse or translucent resin. The PBS/trehalose components in the ZooMAb formulation can have the appearance of a semi-solid (bead like gel) after lyophilization. This is a normal phenomenon. Please follow the recommended reconstitution procedure in the data sheet to dissolve the semi-solid, bead-like, gel-appearing material. The resulting antibody solution is completely stable and functional as proven by full functional testing. Contains no biocide or preservatives, such as azide, or any animal by-products. Larger pack sizes provided as multiples of 25 μL.

Preparation Note

Recommend storage of lyophilized product at 2-8°C; Before reconstitution, micro-centrifuge vials briefly to spin down material to bottom of the vial; Reconstitute each vial by adding 25 μL of filtered lab grade water or PBS; Reconstituted antibodies can be stored at 2-8°C, or -20°C for long term storage. Avoid repeated freeze-thaws.
Reconstitute lyophilized antibody pellet with 25μL of ultrapure water or Phosphate Buffered Saline (PBS). Please refer to our reconstitution protocol and the specific application guidance on the suggested starting dilutions and sample type.

Legal Information

ZooMAb is a registered trademark of Merck KGaA, Darmstadt, Germany

Disclaimer

Unless otherwise stated in our catalog or other company documentation accompanying the product(s), our products are intended for research use only and are not to be used for any other purpose, which includes but is not limited to, unauthorized commercial uses, in vitro diagnostic uses, ex vivo or in vivo therapeutic uses or any type of consumption or application to humans or animals.


Still not finding the right product?

试用我们的 产品选型工具 工具缩小选择范围


存储类别

11 - Combustible Solids

wgk

WGK 1

法规信息

常规特殊物品
常规特殊物品

此项目有



历史批次信息供参考:

分析证书(COA)

Lot/Batch Number

没有发现合适的版本?

如果您需要特殊版本,可通过批号或批次号查找具体证书。

已有该产品?

在文件库中查找您最近购买产品的文档。

访问文档库



全球贸易项目编号

货号GTIN
ZMS1069-25UL04065265880374
ZMS1069-4X25UL04065265880381