跳转至内容
Merck
CN

ZRB1122

Anti-Integrin α-5 Antibody, clone 5E18 ZooMAb® Rabbit Monoclonal

greener alternative

recombinant, expressed in HEK 293 cells

别名:

CD49 antigen-like family member E, CD49e, Fibronectin receptor subunit alpha, Integrin alpha-F, VLA-5

登录 查看组织和合同定价。

选择尺寸

变更视图

关于此项目

NACRES:
NA.43
UNSPSC Code:
12352203
Conjugate:
unconjugated
Clone:
5E18, monoclonal, recombinant monoclonal
Application:
FACS, ICC, IHC, WB, affinity binding assay
Citations:
-
技术服务
需要帮助?我们经验丰富的科学家团队随时乐意为您服务。
让我们为您提供帮助


biological source

rabbit

Quality Level

recombinant

expressed in HEK 293 cells

conjugate

unconjugated

antibody form

purified antibody

antibody product type

primary antibodies

clone

5E18, monoclonal, recombinant monoclonal

product line

ZooMAb® learn more

form

lyophilized

mol wt

calculated mol wt 114.54 kDa, observed mol wt ~130 kDa

species reactivity

human, mouse

species reactivity (predicted by homology)

bovine, rat, monkey

packaging

antibody small pack of 25 μL

greener alternative product characteristics

Waste Prevention
Designing Safer Chemicals
Design for Energy Efficiency
Learn more about the Principles of Green Chemistry.

enhanced validation

recombinant expression
Learn more about Antibody Enhanced Validation

sustainability

Greener Alternative Product

technique(s)

affinity binding assay: suitable, flow cytometry: suitable, immunocytochemistry: suitable, immunohistochemistry: suitable, western blot: suitable

isotype

IgG

UniProt accession no.

greener alternative category

shipped in

ambient

storage temp.

2-8°C

target post-translational modification

unmodified

Gene Information

human ... ITGA5(3678)
mouse ... Itga5(16402)
rat ... Itga5(315346)
rhesus monkey ... Itga5(574315)

General description

Integrin a-5 (UniProt: P08648; also known as CD49 antigen-like family member E, Fibronectin receptor subunit alpha, Integrin alpha-F, VLA-5, CD49e) is encoded by the ITGA5 (also known as FNRA) gene (Gene ID: 3678) in human. Integrins are heterodimeric integral membrane proteins composed of an alpha subunit and a beta subunit that function in cell surface adhesion and signaling. Integrin a-5 is expressed on thymocytes, T cells, monocytes, platelets, early B cells, and activated in B cells. Integrin a-5 exhibits an increased expression in mesodermal progenitors and is shown to be prevalent in fetal cardiomyocytes. Its deletion is shown to cause mesodermal defects during embryogenesis in murine models. Membrane fractions obtained from fibroblasts of diabetic animals display significant reduction in integrin a-5 levels. Integrin a-5 is a single-pass type I membrane glycoprotein that is synthesized with a signal peptide (aa 1-41), which is subsequently cleaved off to generate the mature form that contains a heavy chain (aa 42-894) and a light chain (aa 895-1049). Structurally, it consists of an extracellular domain (aa 42-995), a transmembrane domain (aa 996-1021), and a cytoplasmic domain (aa 1022-1049). It contains four calcium binding sites (aa 480-488; 334-342; 401-409; and 465-473). When associated with b-1 subunit it can serve as a receptor for fibronectin and fibrinogen. It recognizes the sequence R-G-D in its ligands. This ZooMAb recombinant monoclonal antibody, generated by our propriety technology, offers significantly enhanced specificity, affinity, reproducibility, and stability over conventional monoclonals. (Ref.: Almeida, ME et al., (2016). Mol. Cell. Biochem. 421(1-2); 19-28; Neiman, G., et al. (2019). Sci. Rep. 9; 18077).
We are committed to bringing you greener alternative products, which adhere to one or more of The 12 Principles of Green Chemistry.This antibody is Preservative-free, produced without the harm or sacrifice of animals and exceptionally stable to allow for ambient shipping and storage if needed and thus aligns with "Waste Prevention", "Designing Safer Chemicals" and "Design for Energy Efficiency". Click here for more information.
ZooMAb antibodies represent an entirely new generation of recombinant monoclonal antibodies.

Each ZooMAb antibody is manufactured using our proprietary recombinant expression system, purified to homogeneity, and precisely dispensed to produce robust and highly reproducible lot-to-lot consistency. Only top-performing clones are released for use by researchers. Each antibody is validated for high specificity and affinity across multiple applications, including its most commonly used application. ZooMAb antibodies are reliably available and ready to ship when you need them.

Learn more about ZooMAb here.

Immunogen

KLH-conjugated linear peptide corresponding to 24 amino acids from the C-terminal region of human Integrin a-5

Application

Anti-Integrin a-5, clone 5E18 ZooMAb, Cat. No. ZRB1122, is a recombinant Rabbit monoclonal antibody that detects Integrin a-5 and is tested in Affinity Binding Assay, Flow Cytometry, Immunocytochemistry, Immunohistochemistry, and Western Blotting.
Western Blotting Analysis: A 1:1,000 dilution from a representative lot detected Integrin -5 in HT-1080 and NIH3T3 cell lysates.

Flow Cytometry Analysis: 1 μg from a representative lot detected Integrin -5 in one million HelL cells.

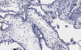
Immunohistochemistry (Paraffin) Analysis: A 1:1,000 dilution from a representative lot detected Integrin -5 in human placenta tissue sections.

Affinity Binding Assay: A representative lot of this antibody bound Integrin a-5 peptide with a KD of 2.5 x 10-8 in an affinity binding assay.

Immunocytochemistry Analysis: A 1:1,0000 dilution from a representative lot detected Integrin -5 in HeLa cell line, A431 cell line, HUVEC cell line and NIH 3T3 cells.

Note: Actual optimal working dilutions must be determined by end user as specimens, and experimental conditions may vary with the end user

Biochem/physiol Actions

Clone 5E18 is a ZooMAb rabbit recombinant monoclonal antibody that specifically detects Integrin a-5. It targets an epitope within 24 amino acids from the C-terminal, cytoplasmic domain.

Physical form

Purified recombinant rabbit monoclonal antibody IgG, lyophilized in PBS, 5% Trehalose, normal appearance a coarse or translucent resin. Contains no biocide or preservatives, such as azide, or any animal by-products. Larger pack sizes provided as multiples of 25 μL.

Preparation Note

Recommend storage of lyophilized product at 2-8°C; Before reconstitution, micro-centrifuge vials briefly to spin down material to bottom of the vial; Reconstitute each vial by adding 25 μL of filtered lab grade water or PBS; Reconstituted antibodies can be stored at 2-8°C, or -20°C for long term storage. Avoid repeated freeze-thaws.
Reconstitute lyophilized antibody pellet with 25μL of ultrapure water or Phosphate Buffered Saline (PBS). Please refer to our reconstitution protocol and the specific application guidance on the suggested starting dilutions and sample type.

Legal Information

ZooMAb is a registered trademark of Merck KGaA, Darmstadt, Germany

Disclaimer

Unless otherwise stated in our catalog or other company documentation accompanying the product(s), our products are intended for research use only and are not to be used for any other purpose, which includes but is not limited to, unauthorized commercial uses, in vitro diagnostic uses, ex vivo or in vivo therapeutic uses or any type of consumption or application to humans or animals.


Still not finding the right product?

试用我们的 产品选型工具 工具缩小选择范围


存储类别

13 - Non Combustible Solids

flash_point_f

Not applicable

flash_point_c

Not applicable

法规信息

常规特殊物品

此项目有



历史批次信息供参考:

分析证书(COA)

Lot/Batch Number

没有发现合适的版本?

如果您需要特殊版本,可通过批号或批次号查找具体证书。

已有该产品?

在文件库中查找您最近购买产品的文档。

访问文档库


商品

Learn about the hallmarks of cancer and find reliable ZooMAb® recombinant antibodies to study them, conveniently organized by cancer hallmark.





全球贸易项目编号

货号GTIN
ZRB1122-25UL04061842447695
ZRB1122-4X25UL04061842447701