跳转至内容
Merck
CN

ZRB1126

Anti-N-Cadherin Antibody, clone 3H17 ZooMAb® Rabbit Monoclonal

greener alternative

recombinant, expressed in HEK 293 cells

别名:

CD325, CDw325, Cadherin-2, Neural cadherin

登录 查看组织和合同定价。

选择尺寸

变更视图

关于此项目

NACRES:
NA.41
UNSPSC Code:
12352203
Conjugate:
unconjugated
Clone:
recombinant monoclonal
Application:
ICC, IHC (p), WB, affinity binding assay
Citations:
-
技术服务
需要帮助?我们经验丰富的科学家团队随时乐意为您服务。
让我们为您提供帮助


biological source

rabbit

Quality Level

recombinant

expressed in HEK 293 cells

conjugate

unconjugated

antibody form

purified antibody

clone

recombinant monoclonal

product line

ZooMAb® learn more

form

lyophilized

mol wt

calculated mol wt 99.81 kDa, observed mol wt ~130 kDa

species reactivity

human, rat, mouse

packaging

antibody small pack of 25 μL

greener alternative product characteristics

Waste Prevention
Designing Safer Chemicals
Design for Energy Efficiency
Learn more about the Principles of Green Chemistry.

enhanced validation

recombinant expression
Learn more about Antibody Enhanced Validation

sustainability

Greener Alternative Product

technique(s)

affinity binding assay: suitable, immunocytochemistry: suitable, immunohistochemistry (formalin-fixed, paraffin-embedded sections): suitable, western blot: suitable

isotype

IgG

UniProt accession no.

greener alternative category

shipped in

ambient

storage temp.

2-8°C

target post-translational modification

unmodified

General description

Cadherin-2 (UniProt: P19022; also known as CDw325, Neural cadherin, N-cadherin, CD325) is encoded by the CDH2 (also known as CDNH, NCAD) gene (Gene ID: 1000) in human. N-Cadherin is a single-pass type I membrane glycoprotein protein that plays a role in calcium-dependent cell adhesion. N-cadherins preferentially interacts with themselves in a homophilic manner in connecting cells; may thus contribute to the sorting of heterogeneous cell types. N-cadherin are synthesized as precursor proteins with a signal peptide (aa 1-25) and a propeptide (aa -26-159) that are proteolytically cleaved to generate functional, mature protein. Newly synthesized proN-cadherin (aa 1-906) is phosphorylated and proteolytically processed prior to transport to the plasma membrane. The mature N-Cadherin contains an extracellular domain (aa 160-724) with five homologous repeats that mediates adhesion, a single pass transmembrane domain (aa 725-745), and a conserved cytoplasmic domain (aa 746-906) that interacts with catenins to link cadherins to the actin cytoskeleton. N-cadherin is well expressed in endothelial cells and plays an essential role in the maturation and stabilization of normal vessels. However, it also promotes tumor cell survival, migration and invasion, and a high level of its expression is often associated with poor prognosis. This ZooMAb recombinant monoclonal antibody, generated by our propriety technology, offers significantly enhanced specificity, affinity, reproducibility, and stability over conventional monoclonals.
We are committed to bringing you greener alternative products, which adhere to one or more of The 12 Principles of Green Chemistry.This antibody is Preservative-free, produced without the harm or sacrifice of animals and exceptionally stable to allow for ambient shipping and storage if needed and thus aligns with "Waste Prevention", "Designing Safer Chemicals" and "Design for Energy Efficiency". Click here for more information.
ZooMAb antibodies represent an entirely new generation of recombinant monoclonal antibodies.

Each ZooMAb antibody is manufactured using our proprietary recombinant expression system, purified to homogeneity, and precisely dispensed to produce robust and highly reproducible lot-to-lot consistency. Only top-performing clones are released for use by researchers. Each antibody is validated for high specificity and affinity across multiple applications, including its most commonly used application. ZooMAb antibodies are reliably available and ready to ship when you need them.

Learn more about ZooMAb here.

Immunogen

KLH-conjugated linear peptide corresponding to 18 amino acids from the C-terminal half, extracellular domain of human N-Cadherin.

Application

Quality Control Testing
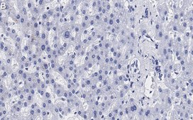
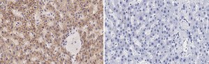
Western Blotting Analysis: A 1:1,000 dilution of this antibody detected N-Cadherin in C2C12 cell lysate.Tested applicationsWestern Blotting Analysis: A 1:1,000 dilution from a representative lot detected N-Cadherin in C6 and SH-SY5Y cell lysates.Immunohistochemistry (Paraffin) Analysis: A 1:100 dilution from a representative lot detected N-Cadherin in human liver tissue sections.Immunocytochemistry Analysis: A 1:100 dilution from a representative lot detected N-Cadherin in PC12 and SH-SY5Y cells.Affinity Binding Assay: A representative lot of this antibody bound N-cadherin peptide with a KD of 8.5 x 10-6 in an affinity binding assay.Note: Actual optimal working dilutions must be determined by end user as specimens, and experimental conditions may vary with the end user
Anti-N-Cadherin, clone 3H17 ZooMAb, Cat. No. ZRB1126, is a recombinant Rabbit monoclonal antibody that targets N-Cadherin and has been tested for use in Affinity Binding Assay, Immunocytochemistry, Immunohistochemistry (Paraffin), and Western Blotting.

Biochem/physiol Actions

Clone 3H17 is a ZooMAb rabbit recombinant monoclonal antibody that specifically detects N-Cadherin. It targets an epitope within 18 amino acids from the C-terminal half, extracellular domain.

Physical form

Purified recombinant rabbit monoclonal antibody IgG, lyophilized in PBS with 5% Trehalose, normal appearance a coarse or translucent resin. Contains no biocide or preservatives, such as azide, or any animal by-products. Larger pack sizes provided as multiples of 25 μL.

Preparation Note

Recommend storage of lyophilized product at 2-8°C; Before reconstitution, micro-centrifuge vials briefly to spin down material to bottom of the vial; Reconstitute each vial by adding 25 μL of filtered lab grade water or PBS; Reconstituted antibodies can be stored at 2-8°C, or -20°C for long term storage. Avoid repeated freeze-thaws.
Reconstitute lyophilized antibody pellet with 25μL of ultrapure water or Phosphate Buffered Saline (PBS). Please refer to our reconstitution protocol and the specific application guidance on the suggested starting dilutions and sample type.

Legal Information

ZooMAb is a registered trademark of Merck KGaA, Darmstadt, Germany

Disclaimer

Unless otherwise stated in our catalog or other company documentation accompanying the product(s), our products are intended for research use only and are not to be used for any other purpose, which includes but is not limited to, unauthorized commercial uses, in vitro diagnostic uses, ex vivo or in vivo therapeutic uses or any type of consumption or application to humans or animals.


存储类别

11 - Combustible Solids

wgk

WGK 1

flash_point_f

Not applicable

flash_point_c

Not applicable

法规信息

常规特殊物品

此项目有



历史批次信息供参考:

分析证书(COA)

Lot/Batch Number

没有发现合适的版本?

如果您需要特殊版本,可通过批号或批次号查找具体证书。

已有该产品?

在文件库中查找您最近购买产品的文档。

访问文档库


商品

Learn about the hallmarks of cancer and find reliable ZooMAb® recombinant antibodies to study them, conveniently organized by cancer hallmark.





全球贸易项目编号

货号GTIN
ZRB1126-25UL04061842646388
ZRB1126-4X25UL04061842646395