biological source
rabbit
Quality Level
recombinant
expressed in HEK 293 cells
conjugate
unconjugated
antibody form
purified antibody
antibody product type
primary antibodies
clone
1E15, monoclonal, recombinant monoclonal
product line
ZooMAb® learn more
form
lyophilized
mol wt
calculated mol wt ~77.96 kDa, observed mol wt ~65 kDa
species reactivity
rat, human, mouse
packaging
antibody small pack of 25 μL
greener alternative product characteristics
Waste Prevention
Designing Safer Chemicals
Design for Energy Efficiency
Learn more about the Principles of Green Chemistry.
enhanced validation
recombinant expression
Learn more about Antibody Enhanced Validation
sustainability
Greener Alternative Product
technique(s)
affinity binding assay: suitable, immunohistochemistry (formalin-fixed, paraffin-embedded sections): suitable, western blot: suitable
isotype
IgG
UniProt accession no.
greener alternative category
shipped in
ambient
storage temp.
2-8°C
target post-translational modification
unmodified
General description
Ubiquitin-like modifier-activating enzyme ATG7 (UniProt: O95352; also known as ATG12-activating enzyme E1 ATG7, Autophagy-related protein 7, APG7-like, hAGP7, Ubiquitin-activating enzyme E1-like protein) is encoded by the ATG7 (also known as APG7L) gene (Gene ID: 10533) in human. ATG7 is the E1-like activating enzyme that is involved in the 2 ubiquitin-like systems required for cytoplasm to vacuole transport and autophagy. It is widely expressed, especially in kidney, liver, lymph nodes and bone marrow. Its expression is reported to be upregulated by the transcription factor HSF1. ATG7 interacts with ATG3 and ATG12 and the ATG3-ATG7 complex plays a role in the conjugation of ATG12 to ATG5. The C-terminal region of ATG7 is shown to be essential for the dimerization and interaction with ATG3 and ATG12. Its N-terminal region contains a FAP motif (aa 15-17), which is essential for the formation of ATG7-ATG3 interaction. ATG7 is essential for hematopoietic stem cell maintenance and its absence from the hematopoietic lineage abolishes development of T and B cells. Three isoforms of ATG7 have been described that are produced by alternative splicing. This ZooMAb® recombinant monoclonal antibody, generated by our propriety technology, offers significantly enhanced specificity, affinity, reproducibility, and stability over conventional monoclonals. (Ref.: Tanida, I., et al. (2012). Autophagy. 8(1); 88-97; Mortensen, M., et al. (2011). J. Exp. Med. 208(3); 455-467).
We are committed to bringing you greener alternative products, which adhere to one or more of The 12 Principles of Green Chemistry.This antibody is Preservative-free, produced without the harm or sacrifice of animals and exceptionally stable to allow for ambient shipping and storage if needed and thus aligns with "Waste Prevention", "Designing Safer Chemicals" and "Design for Energy Efficiency". Click here for more information.
ZooMAb antibodies represent an entirely new generation of recombinant monoclonal antibodies.
Each ZooMAb antibody is manufactured using our proprietary recombinant expression system, purified to homogeneity, and precisely dispensed to produce robust and highly reproducible lot-to-lot consistency. Only top-performing clones are released for use by researchers. Each antibody is validated for high specificity and affinity across multiple applications, including its most commonly used application. ZooMAb antibodies are reliably available and ready to ship when you need them.
Each ZooMAb antibody is manufactured using our proprietary recombinant expression system, purified to homogeneity, and precisely dispensed to produce robust and highly reproducible lot-to-lot consistency. Only top-performing clones are released for use by researchers. Each antibody is validated for high specificity and affinity across multiple applications, including its most commonly used application. ZooMAb antibodies are reliably available and ready to ship when you need them.
Immunogen
KLH-conjugated linear peptide corresponding to 13 amino acids from the N-terminal region of human Autophagy-related protein 7 (ATG 7).
Application
Quality Control Testing
Evaluated by Western Blotting in HeLa cell lysate.
Western Blotting Analysis: A 1:1,000 dilution of this antibody detected ATG7 in HeLa cell lysate.
Tested Applications
Western Blotting Analysis: A 1:1,000 dilution from a representative lot detected ATG7 in NIH3T3 and C6 cell lysates
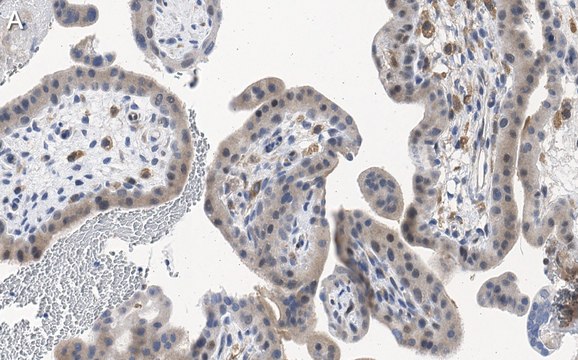
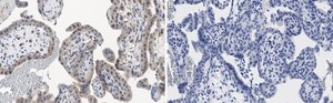
Immunohistochemistry (Paraffin) Analysis: A 1:100 dilution from a representative lot detected ATG7 in human placenta tissue sections.
Affinity Binding Assay: A representative lot of this antibody bound ATG7 peptide with a KD of 2.4 x 10-7 in an affinity binding assay.
Note: Actual optimal working dilutions must be determined by end user as specimens, and experimental conditions may vary with the end user
Evaluated by Western Blotting in HeLa cell lysate.
Western Blotting Analysis: A 1:1,000 dilution of this antibody detected ATG7 in HeLa cell lysate.
Tested Applications
Western Blotting Analysis: A 1:1,000 dilution from a representative lot detected ATG7 in NIH3T3 and C6 cell lysates
Immunohistochemistry (Paraffin) Analysis: A 1:100 dilution from a representative lot detected ATG7 in human placenta tissue sections.
Affinity Binding Assay: A representative lot of this antibody bound ATG7 peptide with a KD of 2.4 x 10-7 in an affinity binding assay.
Note: Actual optimal working dilutions must be determined by end user as specimens, and experimental conditions may vary with the end user
Anti-ATG7, clone 1E15 ZooMAb®, Cat. No. ZRB1235, is a recombinant Rabbit monoclonal antibody that specifically targets ATG7 and has been tested for use in Affinity Binding Assay, Immunohistochemistry (Paraffin), and Western Blotting.
Biochem/physiol Actions
Clone 1E15 is a ZooMAb® rabbit recombinant monoclonal antibody that specifically detects Autophagy related protein 7 (ATG7). It targets an epitope within 13 amino acids from the N-terminal region. It is expected to react with all tree isoforms of ATG7.
Physical form
Purified recombinant mouse monoclonal antibody IgG, lyophilized in PBS, 5% Trehalose, normal appearance a coarse or translucent resin. Contains no biocide or preservatives, such as azide, or any animal by-products. Larger pack sizes provided as multiples of 25 μL.
Preparation Note
Recommend storage of lyophilized product at 2-8°C; Before reconstitution, micro-centrifuge vials briefly to spin down material to bottom of the vial; Reconstitute each vial by adding 25 μL of filtered lab grade water or PBS; Reconstituted antibodies can be stored at 2-8°C, or -20°C for long term storage. Avoid repeated freeze-thaws.
Reconstitute lyophilized antibody pellet with 25μL of ultrapure water or Phosphate Buffered Saline (PBS). Please refer to our reconstitution protocol and the specific application guidance on the suggested starting dilutions and sample type.
Legal Information
ZooMAb is a registered trademark of Merck KGaA, Darmstadt, Germany
Disclaimer
Unless otherwise stated in our catalog or other company documentation accompanying the product(s), our products are intended for research use only and are not to be used for any other purpose, which includes but is not limited to, unauthorized commercial uses, in vitro diagnostic uses, ex vivo or in vivo therapeutic uses or any type of consumption or application to humans or animals.
Still not finding the right product?
试用我们的 产品选型工具 工具缩小选择范围
存储类别
11 - Combustible Solids
wgk
WGK 1
flash_point_f
Not applicable
flash_point_c
Not applicable
法规信息
常规特殊物品
常规特殊物品
此项目有
全球贸易项目编号
| 货号 | GTIN |
|---|---|
| ZRB1235-4X25UL | 04065265042567 |
| ZRB1235-25UL | 04065265042550 |