跳转至内容
Merck
CN

ZRB1240

Anti-GLUT-4 Antibody, clone 1M13 ZooMAb® Rabbit Monoclonal

greener alternative

recombinant, expressed in HEK 293 cells

登录 查看组织和合同定价。

选择尺寸

变更视图

关于此项目

NACRES:
NA.43
UNSPSC Code:
12352203
Conjugate:
unconjugated
Clone:
1M13, monoclonal, recombinant monoclonal
Application:
FACS, ICC, IHC (p), WB
Citations:
-
技术服务
需要帮助?我们经验丰富的科学家团队随时乐意为您服务。
让我们为您提供帮助


biological source

rabbit

Quality Level

recombinant

expressed in HEK 293 cells

conjugate

unconjugated

antibody form

purified antibody

antibody product type

primary antibodies

clone

1M13, monoclonal, recombinant monoclonal

product line

ZooMAb® learn more

form

lyophilized

mol wt

calculated mol wt ~54.79 kDa, observed mol wt ~53 kDa

species reactivity

mouse, rat, human

species reactivity (predicted by homology)

monkey, bovine

packaging

antibody small pack of 25 μL

greener alternative product characteristics

Waste Prevention
Designing Safer Chemicals
Design for Energy Efficiency
Learn more about the Principles of Green Chemistry.

enhanced validation

recombinant expression
Learn more about Antibody Enhanced Validation

sustainability

Greener Alternative Product

technique(s)

flow cytometry: suitable, immunocytochemistry: suitable, immunohistochemistry (formalin-fixed, paraffin-embedded sections): suitable, western blot: suitable

isotype

IgG

UniProt accession no.

greener alternative category

shipped in

ambient

storage temp.

2-8°C

target post-translational modification

unmodified

General description

Solute carrier family 2, facilitated glucose transporter member 4 (UniProt: P14672; also known as Glucose transporter type 4, insulin-responsive, GLUT-4) is encoded by the SLC2A4 (also known as GLUT4) gene (Gene ID: 6517) in human. Glucose transport in mammalian cells depends upon membrane-associated carrier proteins. Mammalian cells possess two types of glucose carriers (a) the Na+-glucose co-transporter and the (b) facilitative glucose transporter. The Na+-glucose co-transporter transports glucose against its concentration gradient by coupling its uptake with the uptake of Na+. It is largely expressed in epithelial cells of the small intestine and kidney. The facilitative glucose carriers of the GLUT family accelerate the transport of glucose down its concentration gradient by facilitative diffusion. Members of the GLUT family are expressed in a tissue- and cell-specific manner and exhibit distinct kinetic and regulatory properties that reflect their specific functional roles. GLUT4 is a multi-pass membrane protein with 6 extracellular domains, 12 transmembrane domains, and 7 cytoplasmic domains. It is expressed in insulin sensitive tissues, such as muscle and adipose tissue and its levels change in response to insulin. It is responsible for increased glucose disposal in these tissues in the postprandial state and is vital in whole-body glucose homeostasis. In the absence of insulin, it is efficiently retained intracellularly within storage compartments in muscle and fat cells. However, upon insulin stimulation, it translocates from these compartments to the cell surface where it transports glucose from the extracellular milieu into the cell. GLUT-4 contains a dileucine internalization motif (aa 489-490) that is critical for its intracellular sequestration. Mutations in SLC2A4 gene are known to cause non-insulin-dependent diabetes mellitus, a multifactorial disorder of glucose homeostasis. This ZooMAb® recombinant monoclonal antibody, generated by our propriety technology, offers significantly enhanced specificity, affinity, reproducibility, and stability over conventional monoclonals.
We are committed to bringing you greener alternative products, which adhere to one or more of The 12 Principles of Green Chemistry.This antibody is Preservative-free, produced without the harm or sacrifice of animals and exceptionally stable to allow for ambient shipping and storage if needed and thus aligns with "Waste Prevention", "Designing Safer Chemicals" and "Design for Energy Efficiency". Click here for more information.
ZooMAb antibodies represent an entirely new generation of recombinant monoclonal antibodies.

Each ZooMAb antibody is manufactured using our proprietary recombinant expression system, purified to homogeneity, and precisely dispensed to produce robust and highly reproducible lot-to-lot consistency. Only top-performing clones are released for use by researchers. Each antibody is validated for high specificity and affinity across multiple applications, including its most commonly used application. ZooMAb antibodies are reliably available and ready to ship when you need them.

Immunogen

KLH-conjugated linear peptide corresponding to 13 amino acids from the C-terminal region of human Glucose transporter type 4 (GLUT-4).

Application

Quality Control Testing

Evaluated by Western Blotting in HeLa cell lysate.

Western Blotting Analysis: A 1:1,000 dilution of this antibody detected GLUT-4 in HeLa cell lysate.

Tested Applications

Western Blotting Analysis: A 1:1,000 dilution from a representative lot detected GLUT-4 in NIH3T3, HepG2, and L6 cell lysates.

Immunocytochemistry Analysis: A 1:1,000 dilution from a representative lot detected GLUT-4 in HeLa, A431, HepG2, and NIH 3T3 cells.

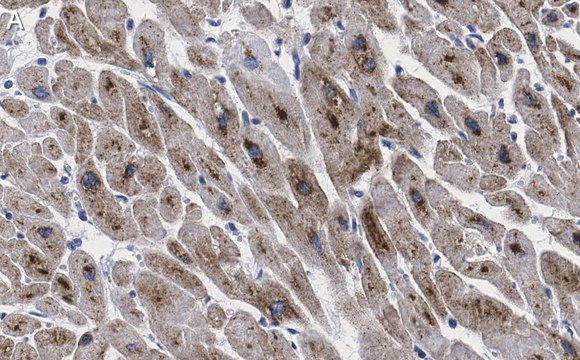
Immunohistochemistry (Paraffin) Analysis: A 1:100 dilution from a representative lot detected GLUT-4 in human heart tissue sections.

Flow Cytometry Analysis: 0.1 μg from a representative lot detected GLUT-4 in one million HeLa cells.

Note: Actual optimal working dilutions must be determined by end user as specimens, and experimental conditions may vary with the end user
Anti-GLUT-4;recombinant Rabbit monoclonal antibody that specifically targets GLUT-4 and has been tested for use in Flow Cytometry, Immunocytochemistry, Immunohistochemistry (Paraffin), and Western Blotting.

Biochem/physiol Actions

Clone 1M13 is a ZooMAb® rabbit recombinant monoclonal antibody that specifically detects Glucose transporter type 4. It targets an epitope within 13 amino acids from the C-terminal region.

Physical form

Purified recombinant mouse monoclonal antibody IgG, lyophilized in PBS, 5% Trehalose, normal appearance a coarse or translucent resin. Contains no biocide or preservatives, such as azide, or any animal by-products. Larger pack sizes provided as multiples of 25 μL.

Preparation Note

Recommend storage of lyophilized product at 2-8°C; Before reconstitution, micro-centrifuge vials briefly to spin down material to bottom of the vial; Reconstitute each vial by adding 25 μL of filtered lab grade water or PBS; Reconstituted antibodies can be stored at 2-8°C, or -20°C for long term storage. Avoid repeated freeze-thaws.
Reconstitute lyophilized antibody pellet with 25μL of ultrapure water or Phosphate Buffered Saline (PBS). Please refer to our reconstitution protocol and the specific application guidance on the suggested starting dilutions and sample type.

Legal Information

ZooMAb is a registered trademark of Merck KGaA, Darmstadt, Germany

Disclaimer

Unless otherwise stated in our catalog or other company documentation accompanying the product(s), our products are intended for research use only and are not to be used for any other purpose, which includes but is not limited to, unauthorized commercial uses, in vitro diagnostic uses, ex vivo or in vivo therapeutic uses or any type of consumption or application to humans or animals.


Still not finding the right product?

试用我们的 产品选型工具 工具缩小选择范围


存储类别

11 - Combustible Solids

wgk

WGK 1

flash_point_f

Not applicable

flash_point_c

Not applicable

法规信息

常规特殊物品

此项目有



历史批次信息供参考:

分析证书(COA)

Lot/Batch Number

没有发现合适的版本?

如果您需要特殊版本,可通过批号或批次号查找具体证书。

已有该产品?

在文件库中查找您最近购买产品的文档。

访问文档库


商品

Learn about the hallmarks of cancer and find reliable ZooMAb® recombinant antibodies to study them, conveniently organized by cancer hallmark.





全球贸易项目编号

货号GTIN
ZRB1240-4X25UL04065265398725
ZRB1240-25UL04065265398718