跳转至内容
Merck
CN

ZRB1270

Anti-mGluR5 Antibody, clone 1F11 ZooMAb® Rabbit Monoclonal

greener alternative

recombinant, expressed in HEK 293 cells

登录 查看组织和合同定价。

选择尺寸

变更视图

关于此项目

NACRES:
NA.43
UNSPSC Code:
12352203
Conjugate:
unconjugated
Clone:
1F11, recombinant monoclonal
Application:
ICC, IHC (p), WB, affinity binding assay
Citations:
-
技术服务
需要帮助?我们经验丰富的科学家团队随时乐意为您服务。
让我们为您提供帮助


biological source

rabbit

Quality Level

recombinant

expressed in HEK 293 cells

conjugate

unconjugated

antibody form

purified antibody

antibody product type

primary antibodies

clone

1F11, recombinant monoclonal

description

recombinant, expressed in HEK 293 cells

product line

ZooMAb® learn more

form

lyophilized

mol wt

calculated mol wt 132.47 kDa, observed mol wt ~155 kDa

species reactivity

rat

species reactivity (predicted by homology)

mouse, bovine, human

packaging

antibody small pack of 25 μL

greener alternative product characteristics

Waste Prevention
Designing Safer Chemicals
Design for Energy Efficiency
Learn more about the Principles of Green Chemistry.

enhanced validation

recombinant expression
Learn more about Antibody Enhanced Validation

sustainability

Greener Alternative Product

technique(s)

affinity binding assay: suitable, immunocytochemistry: suitable, immunohistochemistry (formalin-fixed, paraffin-embedded sections): suitable, western blot: suitable

isotype

IgG

epitope sequence

C-terminus

Protein ID accession no.

UniProt accession no.

greener alternative category

shipped in

ambient

storage temp.

2-8°C

target post-translational modification

unmodified

General description

Metabotropic glutamate receptor 5 (UniProt: P41594; also known as mGluR5) is encoded by the GRM5 (also known as GPRC1E, MGLUR5) gene (Gene ID: 2915) in human. Glutamate receptors can be grouped into ionotropic receptors and metabotropic receptors. Excitotoxic effects of glutamate analogs are primarily achieved through the activation of the ionotropic receptors. Glutamate can also activate metabotropic receptors that couple GTP-binding proteins to intracellular second messengers. These receptors are distributed throughout the central nervous system and are located at synaptic as well as extra-synaptic sites in neurons and glia. Metabotropic receptors contain a large extracellular N-terminal domain known as the Venus flytrap domain (VFD) that contains the glutamate-binding site and has two lobes that sit one atop the other and bind glutamate in a cleft between the two lobes. The VFD dimer can exist in open-open, open-closed, or in closed-closed state. The open-open state is an inactive conformation and is stabilized by antagonists. At least eight metabotropic glutamate receptors (mGluR1-8) have been reported. They are classified into three groups based on their sequence homology, agonist pharmacology, and coupling to intracellular transduction mechanisms. The mGluR1 and mGluR5 belong to group I and these receptors are coupled to post-synaptic inositol phosphate metabolism. They couple to Gq/G11 and activate phospholipase Cβ that hydrolyzes phosphoinositides to generate inositol 1, 4, 5-trisphosphate (IP3) and diacyl- glycerol (DAG), both of which participate in the activation of protein kinase C. Activation of Group I receptors leads to depolarization and increases neuronal excitability. mGluR1 is present at high levels in the cerebellum and thalamus and mGluR5 is found in superficial cortical layers and the olfactory bulb. The activation of mGluR1 generates a single spike in Ca2+ concentrations, whereas mGluR5 activation leads to Ca2+ oscillations via phosphorylation/dephosphorylation cycles. This ZooMAb® recombinant monoclonal antibody, generated by our propriety technology, offers significantly enhanced specificity, affinity, reproducibility, and stability over conventional monoclonals.
We are committed to bringing you greener alternative products, which adhere to one or more of The 12 Principles of Green Chemistry.This antibody is Preservative-free, produced without the harm or sacrifice of animals and exceptionally stable to allow for ambient shipping and storage if needed and thus aligns with "Waste Prevention", "Designing Safer Chemicals" and "Design for Energy Efficiency". Click here for more information.
ZooMAb® antibodies represent an entirely new generation of recombinant monoclonal antibodies.

Each ZooMAb® antibody is manufactured using our proprietary recombinant expression system, purified to homogeneity, and precisely dispensed to produce robust and highly reproducible lot-to-lot consistency. Only top-performing clones are released for use by researchers. Each antibody is validated for high specificity and affinity across multiple applications, including its most commonly used application. ZooMAb® antibodies are reliably available and ready to ship when you need them.

Learn more about ZooMAb here.

Immunogen

KLH-conjugated linear peptide corresponding to 23 amino acids the C-terminal region of human Metabotropic glutamate receptor 5 (mGluR5).

Application

Quality Control Testing

Evaluated by Western Blotting in Rat brain microsome.

Western Blotting Analysis: A 1:10,000 dilution of this antibody detected mGluR5 in Rat brain microsome.

Tested applications

Affinity Binding Assay: A representative lot of this antibody bound mGluR5 peptide with a KD of 2.0 x 10-8 in an affinity binding assay.

Immunocytochemistry Analysis: A 1:100 dilution from a representative lot detected mGluR5 in E18 rat cortical cells.

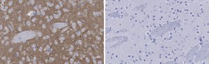
Immunohistochemistry (Paraffin) Analysis: A 1:1,000 dilution from a representative lot detected mGluR5 in rat brain tissue sections.

Note: Actual optimal working dilutions must be determined by end user as specimens, and experimental conditions may vary with the end user
This rabbit recombinant monoclonal Anti-mGluR5, clone 1F11 ZooMAb® Rabbit Monoclonal, Cat. No. ZRB1270 is used in Western Blotting, Immunohistochemistry (Paraffin), Immunocytochemistry and Affinity Binding Assay, for the detection of mGluR5.

Biochem/physiol Actions

Clone 1F11 is a ZooMAb® rabbit recombinant monoclonal antibody that specifically detects Metabotropic glutamate receptor 5 (mGluR5). It targets an epitope within 23 amino acids from the C-terminal region.

Physical form

Purified recombinant rabbit monoclonal antibody IgG, lyophilized in PBS, 5% Trehalose, normal appearance a coarse or translucent resin. The PBS/trehalose components in the ZooMAb formulation can have the appearance of a semi-solid (bead like gel) after lyophilization. This is a normal phenomenon. Please follow the recommended reconstitution procedure in the data sheet to dissolve the semi-solid, bead-like, gel-appearing material. The resulting antibody solution is completely stable and functional as proven by full functional testing. Contains no biocide or preservatives, such as azide, or any animal by-products. Larger pack sizes provided as multiples of 25 μL.

Preparation Note

Recommend storage of lyophilized product at 2-8°C; Before reconstitution, micro-centrifuge vials briefly to spin down material to bottom of the vial; Reconstitute each vial by adding 25 μL of filtered lab grade water or PBS; Reconstituted antibodies can be stored at 2-8°C, or -20°C for long term storage. Avoid repeated freeze-thaws.
Reconstitute lyophilized antibody pellet with 25μL of ultrapure water or Phosphate Buffered Saline (PBS). Please refer to our reconstitution protocol and the specific application guidance on the suggested starting dilutions and sample type.

Legal Information

ZooMAb is a registered trademark of Merck KGaA, Darmstadt, Germany

Disclaimer

Unless otherwise stated in our catalog or other company documentation accompanying the product(s), our products are intended for research use only and are not to be used for any other purpose, which includes but is not limited to, unauthorized commercial uses, in vitro diagnostic uses, ex vivo or in vivo therapeutic uses or any type of consumption or application to humans or animals.


Still not finding the right product?

试用我们的 产品选型工具 工具缩小选择范围


存储类别

11 - Combustible Solids

wgk

WGK 1

法规信息

常规特殊物品

此项目有



历史批次信息供参考:

分析证书(COA)

Lot/Batch Number

没有发现合适的版本?

如果您需要特殊版本,可通过批号或批次号查找具体证书。

已有该产品?

在文件库中查找您最近购买产品的文档。

访问文档库



全球贸易项目编号

货号GTIN
ZRB1270-25UL04065265962148
ZRB1270-4X25UL04065265962155