biological source
rabbit (recombinant)
Quality Level
recombinant
expressed in HEK 293 cells
conjugate
unconjugated
antibody form
purified antibody
antibody product type
primary antibodies
clone
3M22, monoclonal, recombinant monoclonal
product line
ZooMAb® learn more
form
lyophilized
mol wt
calculated mol wt 30.77 kDa, observed mol wt ~35 kDa
species reactivity
mouse, human, rat
packaging
antibody small pack of 25 μL
greener alternative product characteristics
Waste Prevention
Designing Safer Chemicals
Design for Energy Efficiency
Learn more about the Principles of Green Chemistry.
enhanced validation
recombinant expression
Learn more about Antibody Enhanced Validation
sustainability
Greener Alternative Product
technique(s)
immunocytochemistry: suitable, immunohistochemistry (formalin-fixed, paraffin-embedded sections): suitable, western blot: suitable
isotype
IgG
UniProt accession no.
greener alternative category
, Aligned
shipped in
ambient
storage temp.
2-8°C
target post-translational modification
unmodified
Gene Information
mouse ... Vdac1(22333)
General description
Voltage-dependent anion-selective channel protein 1 (UniProt: P21796; also known as VDAC-1, hVDAC1, Outer mitochondrial membrane protein porin 1, Plasmalemmal porin, Porin 31HL, Porin 31HM) is encoded by the VDAC1 (also known as VDAC) gene (Gene ID: 7416) in human. VDAC1 is a multi-pass membrane protein that is expressed on the outer mitochondrial membrane (OMM). It is one of the most abundant proteins on OMM. It serves as the gatekeeper for the passages of metabolites, nucleotides, and ions and with its interaction with Bcl-2 it plays a crucial role in regulating apoptosis. VDAC1 consists mainly of a membrane-spanning beta-barrel formed by 19 beta-strands. Its helical N-terminus folds back into the pore opening and plays a role in voltage-gated channel activity. VDAC1 forms a channel through the mitochondrial membrane and is involved in small molecule diffusion, cell volume regulation and apoptosis. It also participates in the formation of the permeability transition pore complex that is responsible for the release of mitochondrial products that triggers apoptosis. VDAC1 adopts an open conformation at low or zero membrane potential and a closed conformation at potentials above 30-40 mV. The open state has a weak anion selectivity whereas the closed state is shown to be cation-selective and can transport K+, Na+ and Ca2+. This ZooMAb recombinant monoclonal antibody, generated by our propriety technology, offers significantly enhanced specificity, affinity, reproducibility, and stability over conventional monoclonals. (Ref.: Camara, AKS et al. (2017). Front. Physiol. 8; 460).
We are committed to bringing you greener alternative products, which adhere to one or more of The 12 Principles of Green Chemistry.This antibody is Preservative-free, produced without the harm or sacrifice of animals and exceptionally stable to allow for ambient shipping and storage if needed and thus aligns with "Waste Prevention", "Designing Safer Chemicals" and "Design for Energy Efficiency". Click here for more information.
ZooMAb antibodies represent an entirely new generation of recombinant monoclonal antibodies.
Each ZooMAb antibody is manufactured using our proprietary recombinant expression system, purified to homogeneity, and precisely dispensed to produce robust and highly reproducible lot-to-lot consistency. Only top-performing clones are released for use by researchers. Each antibody is validated for high specificity and affinity across multiple applications, including its most commonly used application. ZooMAb antibodies are reliably available and ready to ship when you need them.
Learn more about ZooMAb here.
Each ZooMAb antibody is manufactured using our proprietary recombinant expression system, purified to homogeneity, and precisely dispensed to produce robust and highly reproducible lot-to-lot consistency. Only top-performing clones are released for use by researchers. Each antibody is validated for high specificity and affinity across multiple applications, including its most commonly used application. ZooMAb antibodies are reliably available and ready to ship when you need them.
Learn more about ZooMAb here.
Immunogen
His-tagged recombinant fragment corresponding to 150 amino acids from the C-terminal half of human Voltage-dependent anion-selective channel protein 1 (VDAC1).
Application
Anti-VDAC1, clone 3M22 ZooMAb, Cat. No. ZRB1315, is a recombinant rabbit monoclonal antibody that detects Voltage-dependent anion-selective channel protein 1 (VDAC1) and has been tested for use in Immunocytochemistry, Immunohistochemistry (Paraffin), and Western Blotting.
Western Blotting Analysis: A 1:1,000 dilution from a representative lot detected VDAC1 in HEK293, NIH3T3, and C6 cell lysate.
Immunocytochemistry Analysis: A 1:100 dilution from a representative lot detected VDAC1 in HeLa, A431, HUVEC, NIH 3T3, MCF-7, NTERA-2 cells.
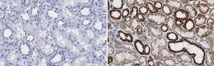
Immunohistochemistry (Paraffin) Analysis: A 1:1,000 dilution from a representative lot detected VDAC1 in human kidney and human heart tissue sections.
Note: Actual optimal working dilutions must be determined by end user as specimens, and experimental conditions may vary with the end user.
Immunocytochemistry Analysis: A 1:100 dilution from a representative lot detected VDAC1 in HeLa, A431, HUVEC, NIH 3T3, MCF-7, NTERA-2 cells.
Immunohistochemistry (Paraffin) Analysis: A 1:1,000 dilution from a representative lot detected VDAC1 in human kidney and human heart tissue sections.
Note: Actual optimal working dilutions must be determined by end user as specimens, and experimental conditions may vary with the end user.
Biochem/physiol Actions
Clone 3M22 is a ZooMAb rabbit recombinant monoclonal antibody that specifically detects Voltage-dependent anion-selective channel protein 1 (VDAC1). It targets an epitope within the C-terminal half.
Physical form
Purified recombinant rabbit monoclonal antibody IgG, lyophilized in PBS with 5% Trehalose, normal appearance a coarse or translucent resin. Contains no biocide or preservatives, such as azide, or any animal by-products. Larger pack sizes provided as multiples of 25 μL.
Preparation Note
Recommend storage of lyophilized product at 2-8°C; Before reconstitution, micro-centrifuge vials briefly to spin down material to bottom of the vial; Reconstitute each vial by adding 25 μL of filtered lab grade water or PBS; Reconstituted antibodies can be stored at 2-8°C, or -20°C for long term storage. Avoid repeated freeze-thaws.
Reconstitute lyophilized antibody pellet with 25μL of ultrapure water or Phosphate Buffered Saline (PBS). Please refer to our reconstitution protocol and the specific application guidance on the suggested starting dilutions and sample type.
Legal Information
ZooMAb is a registered trademark of Merck KGaA, Darmstadt, Germany
Disclaimer
Unless otherwise stated in our catalog or other company documentation accompanying the product(s), our products are intended for research use only and are not to be used for any other purpose, which includes but is not limited to, unauthorized commercial uses, in vitro diagnostic uses, ex vivo or in vivo therapeutic uses or any type of consumption or application to humans or animals.
Still not finding the right product?
试用我们的 产品选型工具 工具缩小选择范围
存储类别
11 - Combustible Solids
wgk
WGK 2
flash_point_f
Not applicable
flash_point_c
Not applicable
法规信息
常规特殊物品
此项目有
全球贸易项目编号
| 货号 | GTIN |
|---|---|
| ZRB1315-25UL | 04061841221401 |
| ZRB1315-4X25UL | 04061841221418 |