跳转至内容
Merck
CN

ZRB1316

抗Ac-α-微管蛋白(Lys40)抗体,克隆号1L10,ZooMAb®,兔单克隆抗体

greener alternative

recombinant, expressed in HEK 293 cells

别名:

α-微管蛋白1, 微管蛋白α-1链, 微管蛋白α-4A链, 微管蛋白H2-α, 睾酮特异性α-微管蛋白

登录 查看组织和合同定价。

选择尺寸

变更视图

关于此项目

NACRES:
NA.41
UNSPSC Code:
12352203
Conjugate:
unconjugated
Clone:
1L10, monoclonal, recombinant monoclonal
Application:
ICC, IHC (p), WB
Citations:
-
技术服务
需要帮助?我们经验丰富的科学家团队随时乐意为您服务。
让我们为您提供帮助


biological source

rabbit (recombinant)

Quality Level

recombinant

expressed in HEK 293 cells

conjugate

unconjugated

antibody form

purified antibody

antibody product type

primary antibodies

clone

1L10, monoclonal, recombinant monoclonal

product line

ZooMAb® learn more

form

lyophilized

mol wt

calculated mol wt 49.92 kDa, observed mol wt ~48 kDa

species reactivity

human, rat, porcine

species reactivity (predicted by homology)

bovine, sheep

packaging

antibody small pack of 25 μL

greener alternative product characteristics

Waste Prevention
Designing Safer Chemicals
Design for Energy Efficiency
Learn more about the Principles of Green Chemistry.

enhanced validation

recombinant expression
Learn more about Antibody Enhanced Validation

sustainability

Greener Alternative Product

technique(s)

immunocytochemistry: suitable, immunohistochemistry (formalin-fixed, paraffin-embedded sections): suitable, western blot: suitable

isotype

IgG

UniProt accession no.

greener alternative category

shipped in

ambient

storage temp.

2-8°C

target post-translational modification

acetylation (Lys40)

Gene Information

human ... TUBA1A(7846)

General description

ZooMAb抗体代表了新一代重组单克隆抗体。

每种ZooMAb抗体均使用我们专有的重组表达系统生产,纯化至均一,并精确分配以产生稳健且高度可重复的批间一致性。只发布性能最高的克隆供研究人员使用。每种抗体在多种应用(包括其最常用的应用)中均具有高度特异性和亲和力。ZooMAb抗体是可靠的,在需要时随时可以发货。

请了解有关ZooMAb的更多信息。
微管蛋白α-4A链(UniProt编号:P68366;别名α-微管蛋白1、睾丸特异性α-微管蛋白、微管蛋白H2-α、微管蛋白α-1链)由TUBA4A(又名TUBA1)基因(Gene ID: 7277)编码。微管是由α-/β-微管蛋白异二聚体装配而成的细胞骨架纤维,异二聚体通过头→尾自组装形成原纤维,原纤维再侧向装配形成空心管。α-β异二聚体头尾衔接组成沿着微管壁纵向排列的原纤维,β-微管蛋白朝向微管,微管末端具有极性结构。微管蛋白结合两分子GTP,结合位置一个在β链的可交换位点,另一个在α链的不可交换位点。各种翻译后修饰,包括乙酰化、聚谷氨酰化、聚糖基化、脱酪氨酸、磷酸化和棕榈酰化,可以调节微管蛋白的聚合特性和/或它们与微管相关蛋白和马达蛋白的相互作用。据报告,GNAT赖氨酸乙酰转移酶家族成员MEC-17(或α-微管蛋白乙酰转移酶/αTAT)可催化赖氨酸40乙酰化,而已知HDAC6和sirtuin2(SIRT2)可催化微管蛋白脱乙酰化。α链的赖氨酸40乙酰化发生在微管腔内。该修饰与微管稳定性提高、细胞内运输和纤毛装配有关。通过我们的专有技术生成的ZooMAb重组单克隆抗体与常规单克隆抗体相比,具有明显增强的特异性、亲和力、可重复性和稳定性。(参考文献:Akella, JS et al (2010).Nature.467(7312); 218-222)。
我们致力于为您提供更环保的替代产品,以符合“绿色化学的 12 项原则”的一项或多项原则要求。该抗体不含防腐剂,生产过程中没有杀伤动物,出色的稳定性可满足室温储运需求,因此符合“预防废物”、“设计更安全的化学品”和“提高能源效率”原则。 点击此处以获取更多信息。

Immunogen

KLH标记线性肽,对应于赖氨酸40乙酰化的人α-微管蛋白N-末端区域的11个氨基酸。

Application

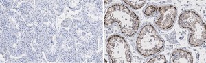
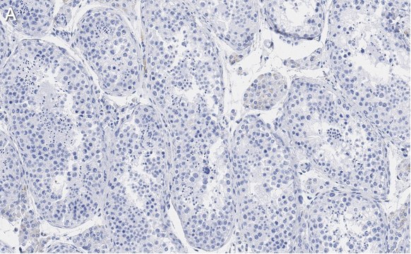
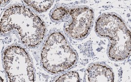
免疫组织化学(石蜡)分析:代表性批次的1:10-100稀释液在人睾丸和小鼠脑组织切片中检测到Ac-α-微管蛋白(Lys40)。

免疫细胞化学分析:代表性批次的1:100稀释液在HeLa细胞(曲古抑菌素A处理)、MCF-7和NTERA-2细胞中检测到Ac-α-微管蛋白(Lys40)。

注意:实际最佳工作稀释度必须由最终用户确定,因为样本和实验条件可能会因最终用户而有所不同。
抗Ac-α-微管蛋白(Lys40)(克隆号IL10,ZooMAb,货号ZRB1316)是一种可特异性检测赖氨酸40乙酰化α-微管蛋白的重组兔单克隆抗体,已经过测试可用于免疫细胞化学、免疫组织化学(石蜡)和蛋白质免疫印迹。

Biochem/physiol Actions

克隆号1L10是一种ZooMAb兔重组单克隆抗体,可特异性检测赖氨酸40上乙酰化的α-微管蛋白。靶向乙酰化赖氨酸40周围11个氨基酸内的表位。

Physical form

纯化的重组兔单克隆抗体IgG,在含有5%海藻糖的PBS中冻干,外观正常,为粗糙或半透明的树脂状。不含抗微生物剂或防腐剂(例如叠氮化物)或任何动物副产品。较大的包装尺寸以25 μL的倍数形式提供。

Preparation Note

建议将冻干产品在2-8℃下储存;复溶前,将微量离心管瓶短暂离心以将内容物离心至管瓶底部;通过添加25 μL过滤后的实验室级水或PBS来复溶每个小瓶;复溶的抗体可在2-8℃下储存或-20℃下长期储存。避免反复冻融。
Reconstitute lyophilized antibody pellet with 25μL of ultrapure water or Phosphate Buffered Saline (PBS). Please refer to our reconstitution protocol and the specific application guidance on the suggested starting dilutions and sample type.

Legal Information

ZooMAb is a registered trademark of Merck KGaA, Darmstadt, Germany

Disclaimer

除非我们的产品目录或产品附带的其他公司文档另有说明,否则我们的产品仅供研究使用,不得用于任何其他目的,包括但不限于未经授权的商业用途、体外诊断用途、离体或体内治疗用途或任何类型的人类或动物食用或应用。


Still not finding the right product?

试用我们的 产品选型工具 工具缩小选择范围


存储类别

11 - Combustible Solids

wgk

WGK 2

flash_point_f

Not applicable

flash_point_c

Not applicable

法规信息

常规特殊物品
常规特殊物品

此项目有



历史批次信息供参考:

分析证书(COA)

Lot/Batch Number

没有发现合适的版本?

如果您需要特殊版本,可通过批号或批次号查找具体证书。

已有该产品?

在文件库中查找您最近购买产品的文档。

访问文档库



全球贸易项目编号

货号GTIN
ZRB1316-25UL04061841221425