跳转至内容
Merck
CN

ZRB1327

Anti-Centrin-1 Antibody, clone 5L17 ZooMAb® Rabbit Monoclonal

greener alternative

recombinant, expressed in HEK 293 cells

登录 查看组织和合同定价。

选择尺寸

变更视图

关于此项目

NACRES:
NA.41
UNSPSC Code:
12352203
Conjugate:
unconjugated
Clone:
5L17, recombinant monoclonal
Application:
IHC (p), WB, affinity binding assay
Citations:
-
技术服务
需要帮助?我们经验丰富的科学家团队随时乐意为您服务。
让我们为您提供帮助


biological source

rabbit

Quality Level

recombinant

expressed in HEK 293 cells

conjugate

unconjugated

antibody form

purified antibody

antibody product type

primary antibodies

clone

5L17, recombinant monoclonal

description

recombinant, expressed in HEK 293 cells

product line

ZooMAb® learn more

form

lyophilized

mol wt

calculated mol wt 19.57 kDa, observed mol wt ~18 kDa

purified by

using Protein A

species reactivity

human

packaging

antibody small pack of 25 μL

greener alternative product characteristics

Waste Prevention
Designing Safer Chemicals
Design for Energy Efficiency
Learn more about the Principles of Green Chemistry.

enhanced validation

recombinant expression
Learn more about Antibody Enhanced Validation

sustainability

Greener Alternative Product

technique(s)

affinity binding assay: suitable, immunohistochemistry (formalin-fixed, paraffin-embedded sections): suitable, western blot: suitable

isotype

IgG

epitope sequence

N-terminus

Protein ID accession no.

UniProt accession no.

greener alternative category

shipped in

ambient

storage temp.

2-8°C

target post-translational modification

unmodified

General description

Centrin-1 (UniProt: Q12798; also known as Caltractin isoform 2) is encoded by the CETN1 (also known as CEN1, CETN) gene (Gene ID: 1068) in human. Centrins are calcium-binding phosphoproteins with four Ca2+-binding EF-hand domains that are localized to the centrosome of all eukaryotes. Three separate Centrin genes, CETN1-3, have been identified in both mouse and human. Centrin-1 is a monomeric protein that is expressed in testis tissue and in photoreceptor cells. Its expression has not been reported in any other healthy tissue. It plays a fundamental role in microtubule-organizing center structure and function and has a role in sperm cilia formation. A significantly higher expression of Centrin-1 has been reported in pancreatic and prostate cancers and CETN1 knockdown inhibits cell proliferation in breast cancer. Hence, it has been classified as cancer/testis antigen. This ZooMAb® recombinant monoclonal antibody, generated by our propriety technology, offers significantly enhanced specificity, affinity, reproducibility, and stability over conventional monoclonals. (Ref.: Jiao, R., et al. (2019). Cancer Med. 8(11); 5289-5300; Kim, J., et al. (2013). Biomarker Res. 1; Article number: 22).
We are committed to bringing you greener alternative products, which adhere to one or more of The 12 Principles of Green Chemistry.This antibody is Preservative-free, produced without the harm or sacrifice of animals and exceptionally stable to allow for ambient shipping and storage if needed and thus aligns with "Waste Prevention", "Designing Safer Chemicals" and "Design for Energy Efficiency". Click here for more information.
ZooMAb® antibodies represent an entirely new generation of recombinant monoclonal antibodies.Each ZooMAb® antibody is manufactured using our proprietary recombinant expression system, purified to homogeneity, and precisely dispensed to produce robust and highly reproducible lot-to-lot consistency. Only top-performing clones are released for use by researchers. Each antibody is validated for high specificity and affinity across multiple applications, including its most commonly used application. ZooMAb® antibodies are reliably available and ready to ship when you need them.

Immunogen

KLH-conjugated linear peptide corresponding to 21 amino acids from the N-terminal region of human Centrin-1.

Application

Quality Control Testing

Evaluated by Western Blotting in Human testis tissue lysate.

Western Blotting Analysis: A 1:10,000 dilution of this antibody detected Centrin-1 in Human testis tissue lysate.

Tested applications

Western Blotting Analysis: A 1:10,000 dilution from a representative lot detected Centrin-1 in F9, NTERA2, and HeLa cell lysates.

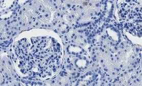
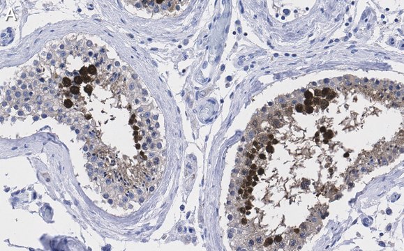
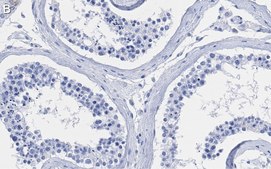
Immunohistochemistry (Paraffin) Analysis: A 1:1,000 dilution from a representative lot detected Centrin-1 in human testis, human kidney, and human lung tissue sections.

Affinity Binding Assay: A representative lot of this antibody bound Centrin-1 with a KD of 2.9 x 10-9.in an Affinity Binding Assay.

Note: Actual optimal working dilutions must be determined by end user as specimens, and experimental conditions may vary with the end user
Anti-Centrin-1, clone 5L17 ZooMAb®, Cat. No. ZRB1327, is a recombinant Rabbit monoclonal antibody that specifically targets Centrin-1 and is tested for use in Affinity Binding Assay, Immunohistochemistry (Paraffin), and Western Blotting.

Biochem/physiol Actions

Clone 5L17 is a ZooMAb® Rabbit recombinant monoclonal antibody that specifically detects human Centrin-1. It targets an epitope within 21 amino acids from the N-terminal region.

Physical form

Purified recombinant rabbit monoclonal antibody IgG, lyophilized in PBS with 5% Trehalose, normal appearance a coarse or translucent resin. The PBS/trehalose components in the ZooMAb® formulation can have the appearance of a semi-solid (bead like gel) after lyophilization. This is a normal phenomenon. Please follow the recommended reconstitution procedure in the data sheet to dissolve the semi-solid, bead-like, gel-appearing material. The resulting antibody solution is completely stable and functional as proven by full functional testing. Contains no biocide or preservatives, such as azide, or any animal by-products. Larger pack sizes provided as multiples of 25 μL.

Preparation Note

Recommend storage of lyophilized product at 2-8°C; Before reconstitution, micro-centrifuge vials briefly to spin down material to bottom of the vial; Reconstitute each vial by adding 25 μL of filtered lab grade water or PBS; Reconstituted antibodies can be stored at 2-8°C, or -20°C for long term storage. Avoid repeated freeze-thaws.
Reconstitute lyophilized antibody pellet with 25μL of ultrapure water or Phosphate Buffered Saline (PBS). Please refer to our reconstitution protocol and the specific application guidance on the suggested starting dilutions and sample type.

Legal Information

ZooMAb is a registered trademark of Merck KGaA, Darmstadt, Germany

Disclaimer

Unless otherwise stated in our catalog or other company documentation accompanying the product(s), our products are intended for research use only and are not to be used for any other purpose, which includes but is not limited to, unauthorized commercial uses, in vitro diagnostic uses, ex vivo or in vivo therapeutic uses or any type of consumption or application to humans or animals.


Still not finding the right product?

试用我们的 产品选型工具 工具缩小选择范围


存储类别

13 - Non Combustible Solids

wgk

WGK 1

flash_point_f

Not applicable

flash_point_c

Not applicable

法规信息

常规特殊物品

此项目有



历史批次信息供参考:

分析证书(COA)

Lot/Batch Number

没有发现合适的版本?

如果您需要特殊版本,可通过批号或批次号查找具体证书。

已有该产品?

在文件库中查找您最近购买产品的文档。

访问文档库



全球贸易项目编号

货号GTIN
ZRB1327-25UL04065266703894
ZRB1327-4X25UL04065266703900