跳转至内容
Merck
CN

ZRB1332

Anti-DAXX Antibody, clone 1L6 ZooMAb® Rabbit Monoclonal

greener alternative

recombinant, expressed in HEK 293 cells

登录 查看组织和合同定价。

选择尺寸

变更视图

关于此项目

NACRES:
NA.41
UNSPSC Code:
12352203
Conjugate:
unconjugated
Clone:
1L6, recombinant monoclonal
Application:
ICC, IHC (p), WB, affinity binding assay
Citations:
-
技术服务
需要帮助?我们经验丰富的科学家团队随时乐意为您服务。
让我们为您提供帮助


Quality Level

biological source

rabbit

recombinant

expressed in HEK 293 cells

conjugate

unconjugated

antibody form

purified antibody

antibody product type

primary antibodies

clone

1L6, recombinant monoclonal

description

recombinant, expressed in HEK 293 cells

product line

ZooMAb® learn more

form

lyophilized

mol wt

calculated mol wt 81.37 kDa, observed mol wt ~408 kDa

species reactivity

human

packaging

antibody small pack of 25 μL

greener alternative product characteristics

Waste Prevention
Designing Safer Chemicals
Design for Energy Efficiency
Learn more about the Principles of Green Chemistry.

enhanced validation

recombinant expression
Learn more about Antibody Enhanced Validation

sustainability

Greener Alternative Product

technique(s)

affinity binding assay: suitable, immunocytochemistry: suitable, immunohistochemistry (formalin-fixed, paraffin-embedded sections): suitable, western blot: suitable

isotype

IgG

epitope sequence

C-terminal half

Protein ID accession no.

UniProt accession no.

greener alternative category

shipped in

ambient

storage temp.

2-8°C

target post-translational modification

unmodified

General description

Death domain-associated protein 6 (UniProt: Q9UER7; also known as Daxx, hDaxx, ETS1-associated protein 1, EAP1, Fas death domain-associated protein, DAXX) is encoded by the DAXX (also known as BING2, DAP6) gene (Gene ID: 1616) in human. DAXX is a homomultimeric protein that is dispersed throughout the nucleoplasm, in PML/POD/ND10 nuclear bodies, and in nucleoli. It serves as a transcription corepressor that represses transcriptional potential of several sumoylated transcription factors. It down-regulates basal and activated transcription and its repressor activity is modulated by its recruitment to subnuclear compartments like the nucleolus or PML/POD/ND10 nuclear bodies through interactions with MCSR1 and PML, respectively. It is reported to regulate transcription in PML/POD/ND10 nuclear bodies together with PML and may thereby influence TNFRSF6-dependent apoptosis. It also acts as an adapter protein in a MDM2-DAXX-USP7 complex by regulating the RING-finger E3 ligase MDM2 ubiquitination activity. Under non-stress conditions, in association with the deubiquitinating USP7, it prevents MDM2 self-ubiquitination and enhances the intrinsic E3 ligase activity of MDM2 towards TP53 that leads to TP53 ubiquitination and proteasomal degradation. However, upon DNA damage, its association with MDM2 and USP7 is disrupted, which results in increased MDM2 autoubiquitination and consequently, MDM2 degradation and TP53 stabilization. It also acts as targeting component of the chromatin remodeling complex ATRX:DAXX that has ATP-dependent DNA translocase activity and catalyzes the replication-independent deposition of histone H3.3 in pericentric DNA repeats. However, it does not affect the ATPase activity of ATRX, but alleviates its transcription repression activity. This ZooMAb® recombinant monoclonal antibody, generated by our propriety technology, offers significantly enhanced specificity, affinity, reproducibility, and stability over conventional monoclonals.
We are committed to bringing you greener alternative products, which adhere to one or more of The 12 Principles of Green Chemistry.This antibody is Preservative-free, produced without the harm or sacrifice of animals and exceptionally stable to allow for ambient shipping and storage if needed and thus aligns with "Waste Prevention", "Designing Safer Chemicals" and "Design for Energy Efficiency". Click here for more information.
ZooMAb® antibodies represent an entirely new generation of recombinant monoclonal antibodies.

Each ZooMAb® antibody is manufactured using our proprietary recombinant expression system, purified to homogeneity, and precisely dispensed to produce robust and highly reproducible lot-to-lot consistency. Only top-performing clones are released for use by researchers. Each antibody is validated for high specificity and affinity across multiple applications, including its most commonly used application. ZooMAb® antibodies are reliably available and ready to ship when you need them.

Learn more about ZooMAb here.

Immunogen

His-tagged recombinant fragment corresponding to 269 amino acids from the C-terminal half of human Death domain-associated protein 6 (DAXX).

Application

Quality Control Testing

Evaluated by Western Blotting in Ramos cell lysate.

Western Blotting Analysis: A 1:10,000 dilution of this antibody detected DAXX in Ramos cell lysate.

Tested applications

Western Blotting Analysis: A 1:10,000 dilution from a representative lot detected DAXX in HeLa and Raji cell lysates.

Affinity Binding Assay: A representative lot of this antibody bound recombinant DAXX protein fragment with a KD of 1.0 x 10-12 in an affinity binding assay.

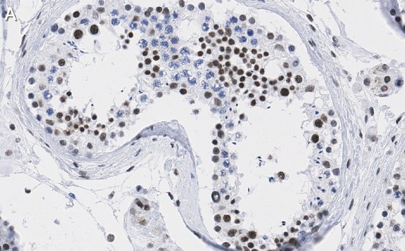
Immunohistochemistry (Paraffin) Analysis: A 1:100 dilution from a representative lot detected DAXX in human testis tissue sections.

Immunocytochemistry Analysis: A 1:1,000 dilution from a representative lot detected DAXX in HeLa cell line, A431 and HepG2 cells.

Note: Actual optimal working dilutions must be determined by end user as specimens, and experimental conditions may vary with the end user
Anti-DAXX, clone 1L6 ZooMAb®, Cat. No. ZRB1332, is a recombinant Rabbit monoclonal antibody that specifically targets DAXX and is tested for use in Affinity Binding Assay, Immunocytochemistry, Immunohistochemistry, and Western Blotting.

Biochem/physiol Actions

Clone 1L6 is a ZooMAb® rabbit recombinant monoclonal antibody that specifically detects Death domain-associated protein 6 (DAXX). It targets an epitope within the C-terminal half.

Physical form

Purified recombinant rabbit monoclonal antibody IgG, lyophilized in PBS with 5% Trehalose, normal appearance a coarse or translucent resin. The PBS/trehalose components in the ZooMAb formulation can have the appearance of a semi-solid (bead like gel) after lyophilization. This is a normal phenomenon. Please follow the recommended reconstitution procedure in the data sheet to dissolve the semi-solid, bead-like, gel-appearing material. The resulting antibody solution is completely stable and functional as proven by full functional testing. Contains no biocide or preservatives, such as azide, or any animal by-products. Larger pack sizes provided as multiples of 25 μL.

Preparation Note

Recommend storage of lyophilized product at 2-8°C; Before reconstitution, micro-centrifuge vials briefly to spin down material to bottom of the vial; Reconstitute each vial by adding 25 μL of filtered lab grade water or PBS; Reconstituted antibodies can be stored at 2-8°C, or -20°C for long term storage. Avoid repeated freeze-thaws.
Reconstitute lyophilized antibody pellet with 25μL of ultrapure water or Phosphate Buffered Saline (PBS). Please refer to our reconstitution protocol and the specific application guidance on the suggested starting dilutions and sample type.

Legal Information

ZooMAb is a registered trademark of Merck KGaA, Darmstadt, Germany

Disclaimer

Unless otherwise stated in our catalog or other company documentation accompanying the product(s), our products are intended for research use only and are not to be used for any other purpose, which includes but is not limited to, unauthorized commercial uses, in vitro diagnostic uses, ex vivo or in vivo therapeutic uses or any type of consumption or application to humans or animals.


Still not finding the right product?

试用我们的 产品选型工具 工具缩小选择范围


存储类别

11 - Combustible Solids

wgk

WGK 1

法规信息

常规特殊物品

此项目有



历史批次信息供参考:

分析证书(COA)

Lot/Batch Number

没有发现合适的版本?

如果您需要特殊版本,可通过批号或批次号查找具体证书。

已有该产品?

在文件库中查找您最近购买产品的文档。

访问文档库



全球贸易项目编号

货号GTIN
ZRB1332-25UL04065265873901
ZRB1332-4X25UL04065265873918