biological source
rabbit
Quality Level
recombinant
expressed in HEK 293 cells
conjugate
unconjugated
antibody form
purified antibody
antibody product type
primary antibodies
clone
2N19, recombinant monoclonal
description
recombinant, expressed in HEK 293 cells
product line
ZooMAb® learn more
form
lyophilized
mol wt
calculated mol wt 21.65 kDa, observed mol wt ~22 kDa
species reactivity
human
packaging
antibody small pack of 25 μL
greener alternative product characteristics
Waste Prevention
Designing Safer Chemicals
Design for Energy Efficiency
Learn more about the Principles of Green Chemistry.
enhanced validation
recombinant expression
Learn more about Antibody Enhanced Validation
sustainability
Greener Alternative Product
technique(s)
affinity binding assay: suitable, immunocytochemistry: suitable, immunohistochemistry (formalin-fixed, paraffin-embedded sections): suitable, western blot: suitable
isotype
IgG
epitope sequence
Unknown
Protein ID accession no.
UniProt accession no.
greener alternative category
shipped in
ambient
storage temp.
2-8°C
target post-translational modification
unmodified
General description
Methylated-DNA-protein-cysteine methyltransferase (UniProt: P16455; also known as EC:2.1.1.63, 6-O-methylguanine-DNA methyltransferase, MGMT, O-6-methylguanine-DNA-alkyltransferase) is encoded by the MGMT gene (Gene ID: 4255) in human. MGMT is a ubiquitous DNA repair suicide enzyme that removes the cytotoxic DNA adducts O6-methylguanine and O6-chloroethylguanine induced by methylating and chloroethylating agents. It repairs the methylated nucleobase in DNA by stoichiometrically transferring the methyl group to a cysteine residue in the enzyme. Hence, it serves as a major contributor to cellular protection from the mutagenic, carcinogenic, and cytotoxic effects of DNA alkylation. MGMT is reported to be frequently silenced due to abnormal methylation in cancer cells. However, it also makes tumor cells more sensitive to radiation therapy and certain alkylating drugs. In adults, epigenetic silencing of MGMT by promoter methylation has been shown to improve the outcome in subjects with glioblastoma multiforme receiving temozolomide, a methylating agent. Higher activity of MGMT in cancer cells is reported to be one of the major mechanisms of cancer drug resistance that which counteracts chemotherapy-induced DNA alkylation. This ZooMAb® recombinant monoclonal antibody, generated by our propriety technology, offers significantly enhanced specificity, affinity, reproducibility, and stability over conventional monoclonals. (Ref.: Fan, C-H., et al. (2013). Cell Death Dis. 4; e876).
We are committed to bringing you greener alternative products, which adhere to one or more of The 12 Principles of Green Chemistry.This antibody is Preservative-free, produced without the harm or sacrifice of animals and exceptionally stable to allow for ambient shipping and storage if needed and thus aligns with "Waste Prevention", "Designing Safer Chemicals" and "Design for Energy Efficiency". Click here for more information.
ZooMAb® antibodies represent an entirely new generation of recombinant monoclonal antibodies.
Each ZooMAb® antibody is manufactured using our proprietary recombinant expression system, purified to homogeneity, and precisely dispensed to produce robust and highly reproducible lot-to-lot consistency. Only top-performing clones are released for use by researchers. Each antibody is validated for high specificity and affinity across multiple applications, including its most commonly used application. ZooMAb® antibodies are reliably available and ready to ship when you need them.
Learn more about ZooMAb here.
Each ZooMAb® antibody is manufactured using our proprietary recombinant expression system, purified to homogeneity, and precisely dispensed to produce robust and highly reproducible lot-to-lot consistency. Only top-performing clones are released for use by researchers. Each antibody is validated for high specificity and affinity across multiple applications, including its most commonly used application. ZooMAb® antibodies are reliably available and ready to ship when you need them.
Learn more about ZooMAb here.
Immunogen
His-tagged full-length recombinant human Methylated-DNA-protein-cysteine methyltransferase (MGMT).
Application
Quality Control Testing
Evaluated by Western Blotting in Jurkat cell lysate.
Western Blotting Analysis: A 1:10,000 dilution of this antibody detected MGMT in Jurkat cell lysate.
Tested applications
Western Blotting Analysis: A 1:10,000 dilution from a representative lot detected MGMT in HeLa and MCF-7 cell lysates.
Immunocytochemistry Analysis: A 1:100 dilution from a representative lot detected MGMT in HeLa cells.
Affinity Binding Assay: A representative lot of this antibody bound MGMT peptide with a KD of 1.3 x 10-8 in an affinity binding assay.
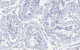
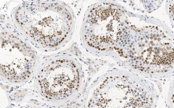
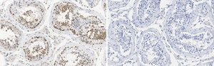
Immunohistochemistry (Paraffin) Analysis: A 1:100 dilution from a representative lot detected MGMT in human testis and human stomach tissue sections.
Note: Actual optimal working dilutions must be determined by end user as specimens, and experimental conditions may vary with the end user
Evaluated by Western Blotting in Jurkat cell lysate.
Western Blotting Analysis: A 1:10,000 dilution of this antibody detected MGMT in Jurkat cell lysate.
Tested applications
Western Blotting Analysis: A 1:10,000 dilution from a representative lot detected MGMT in HeLa and MCF-7 cell lysates.
Immunocytochemistry Analysis: A 1:100 dilution from a representative lot detected MGMT in HeLa cells.
Affinity Binding Assay: A representative lot of this antibody bound MGMT peptide with a KD of 1.3 x 10-8 in an affinity binding assay.
Immunohistochemistry (Paraffin) Analysis: A 1:100 dilution from a representative lot detected MGMT in human testis and human stomach tissue sections.
Note: Actual optimal working dilutions must be determined by end user as specimens, and experimental conditions may vary with the end user
Anti-MGMT, clone 2N19 ZooMAb®, Cat. No. ZRB1363, is a recombinant Rabbit monoclonal antibody that specifically targets MGMT and is tested for use in Affinity Binding Assay, Immunocytochemistry, Immunohistochemistry (Paraffin), and Western Blotting.
Biochem/physiol Actions
Clone 2N19 is a ZooMAb® rabbit recombinant monoclonal antibody that specifically detects human Methylated-DNA-protein-cysteine methyltransferase (MGMT).
Physical form
Purified recombinant rabbit monoclonal antibody IgG, lyophilized in PBS with 5% Trehalose, normal appearance a coarse or translucent resin. The PBS/trehalose components in the ZooMAb formulation can have the appearance of a semi-solid (bead like gel) after lyophilization. This is a normal phenomenon. Please follow the recommended reconstitution procedure in the data sheet to dissolve the semi-solid, bead-like, gel-appearing material. The resulting antibody solution is completely stable and functional as proven by full functional testing. Contains no biocide or preservatives, such as azide, or any animal by-products. Larger pack sizes provided as multiples of 25 μL.
Preparation Note
Recommend storage of lyophilized product at 2-8°C; Before reconstitution, micro-centrifuge vials briefly to spin down material to bottom of the vial; Reconstitute each vial by adding 25 μL of filtered lab grade water or PBS; Reconstituted antibodies can be stored at 2-8°C, or -20°C for long term storage. Avoid repeated freeze-thaws.
Reconstitute lyophilized antibody pellet with 25μL of ultrapure water or Phosphate Buffered Saline (PBS). Please refer to our reconstitution protocol and the specific application guidance on the suggested starting dilutions and sample type.
Legal Information
ZooMAb is a registered trademark of Merck KGaA, Darmstadt, Germany
Disclaimer
Unless otherwise stated in our catalog or other company documentation accompanying the product(s), our products are intended for research use only and are not to be used for any other purpose, which includes but is not limited to, unauthorized commercial uses, in vitro diagnostic uses, ex vivo or in vivo therapeutic uses or any type of consumption or application to humans or animals.
Still not finding the right product?
试用我们的 产品选型工具 工具缩小选择范围
存储类别
11 - Combustible Solids
wgk
WGK 1
法规信息
常规特殊物品
此项目有
全球贸易项目编号
| 货号 | GTIN |
|---|---|
| ZRB1363-25UL | 04065265880534 |
| ZRB1363-4X25UL | 04065265880541 |