跳转至内容
Merck
CN

ZRB1373

抗-LMX-1抗体,克隆4L12,ZooMAb®兔单克隆抗体

greener alternative

recombinant, expressed in HEK 293 cells

别名:

LIM/同源框蛋白1, LIM/同源框蛋白LMX1A, LIM同源盒转录因子1-α

登录 查看组织和合同定价。

选择尺寸

变更视图

关于此项目

NACRES:
NA.43
UNSPSC Code:
12352203
Conjugate:
unconjugated
Clone:
4L12, monoclonal, recombinant monoclonal
Application:
ICC, IHC, WB, affinity binding assay
Citations:
-
技术服务
需要帮助?我们经验丰富的科学家团队随时乐意为您服务。
让我们为您提供帮助


biological source

rabbit (recombinant)

Quality Level

recombinant

expressed in HEK 293 cells

conjugate

unconjugated

antibody form

purified antibody

antibody product type

primary antibodies

clone

4L12, monoclonal, recombinant monoclonal

product line

ZooMAb® learn more

form

lyophilized

mol wt

calculated mol wt 42.80 kDa, observed mol wt ~50 kDa

species reactivity

human

species reactivity (predicted by homology)

hamster

packaging

antibody small pack of 25 μL

greener alternative product characteristics

Waste Prevention
Designing Safer Chemicals
Design for Energy Efficiency
Learn more about the Principles of Green Chemistry.

enhanced validation

recombinant expression
Learn more about Antibody Enhanced Validation

sustainability

Greener Alternative Product

technique(s)

affinity binding assay: suitable, immunocytochemistry: suitable, immunohistochemistry: suitable, western blot: suitable

isotype

IgG

UniProt accession no.

greener alternative category

shipped in

ambient

storage temp.

2-8°C

target post-translational modification

unmodified

Gene Information

human ... LMX1A(4009)

General description

LIM同源盒转录因子1-α(UniProt:Q04650;也称LIM/同源框蛋白LMX1A、LIM/同源框蛋白1、LMX-1、LMX1A)由仓鼠的LMX1(也称LMX1)基因(基因ID:101839559)编码。LMX1A是编码LIM-同源域(LIM-HD)蛋白的含LIM-同源框基因之一。LMX-1是一种转录因子,在背侧间质中表达,通过结合A/T-rich序列发挥作用。它是中脑腹侧对早期信号的一种反应,是顶板发育和中枢神经系统中背侧细胞命运和椎骨发育所必需的。LMX-1在人胚胎干细胞中脑多巴胺神经元(mesDA)分化中起重要作用。它具有刺激mesDA产生的潜力,可应用于帕金森病治疗。LMX-1过表达可抑制肿瘤生长和转移。已证明它在胃癌中是失活的。其抑制肿瘤生长的作用可能与抑制c-Myc表达有关。血清中LMX-1水平已用作胃癌早期检测的有效生物标志物。Hamster LMX-1含有两个锌结合域(aa 33-92和93-154)。其DNA结合域定位于氨基酸195-254。通过我们的专有技术生成的ZooMAb重组单克隆抗体与常规单克隆抗体相比,具有明显增强的特异性、亲和力、可重复性和稳定性。(参考文献:Riddle, RD., et al. (1995).Cell.83(4); 631-640; Qian, P., et al. (2019).PLoS ONE 14(9); e0221640; Li D., and Li, C. (2019).Medicine.98(22); e15783)。
ZooMAb抗体代表了新一代重组单克隆抗体。

每种ZooMAb抗体均使用我们专有的重组表达系统生产,纯化至均一,并精确分配以产生稳健且高度可重复的批间一致性。只发布性能最高的克隆供研究人员使用。每种抗体在多种应用(包括其最常用的应用)中均具有高度特异性和亲和力。ZooMAb抗体是可靠的,在需要时随时可以发货。

请了解有关ZooMAb的更多信息。
我们致力于为您提供更环保的替代产品,以符合“绿色化学的 12 项原则”的一项或多项原则要求。该抗体不含防腐剂,生产过程中没有杀伤动物,出色的稳定性可满足室温储运需求,因此符合“预防废物”、“设计更安全的化学品”和“提高能源效率”原则。 点击此处以获取更多信息。

Immunogen

GST/His标记的重组片段,对应于Hamster LMX-1 C端区域的80个氨基酸。

Application

免疫细胞化学分析:来自代表性批次的1:100-1,000稀释液在Neuro2A细胞中检测到 LMX-1。

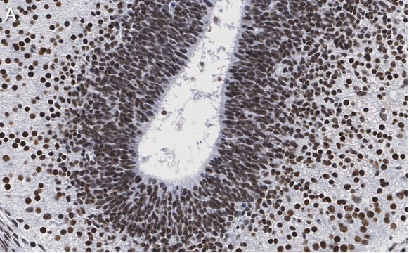
免疫组织化学(石蜡)分析:来自代表性批次的1:1,000稀释液在大鼠脑和人脑组织切片中检测到GFAP。

亲和结合试验:该抗体的代表性批次在亲和结合试验中以1.1 x 10-6的KD结合重组人LMX-1蛋白。

注:实际最佳工作稀释度必须由最终用户确定,因为样本和实验条件可能会因最终用户而有所不同。
抗LMX-1,克隆4L12 ZooMAb,货号ZRB1373,是一种重组兔单克隆抗体,可靶向LMX-1,并在亲和结合测定,免疫细胞化学,免疫组织化学和蛋白质印迹中进行了测试。

Biochem/physiol Actions

克隆4L12是一种ZooMAb兔重组单克隆抗体,可特异性检测LIM同源框转录因子1-α (LMX-1)。它靶向C末端区域80个氨基酸内的表位。

Physical form

纯化的重组兔单克隆抗体IgG,在含有5%海藻糖的PBS中冻干,外观正常,为粗糙或半透明的树脂状。不含抗微生物剂或防腐剂(例如叠氮化物)或任何动物副产品。较大的包装尺寸以25 μL的倍数形式提供。

Preparation Note

建议将冻干产品在2-8℃下储存;复溶前,将微量离心管瓶短暂离心以将内容物离心至管瓶底部;通过添加25 μL过滤后的实验室级水或PBS来复溶每个小瓶;复溶的抗体可在2-8℃下储存或-20℃下长期储存。避免反复冻融。
Reconstitute lyophilized antibody pellet with 25μL of ultrapure water or Phosphate Buffered Saline (PBS). Please refer to our reconstitution protocol and the specific application guidance on the suggested starting dilutions and sample type.

Legal Information

ZooMAb is a registered trademark of Merck KGaA, Darmstadt, Germany

Disclaimer

除非我们的产品目录或产品附带的其他公司文档另有说明,否则我们的产品仅供研究使用,不得用于任何其他目的,包括但不限于未经授权的商业用途、体外诊断用途、离体或体内治疗用途或任何类型的人类或动物食用或应用。


Still not finding the right product?

试用我们的 产品选型工具 工具缩小选择范围


存储类别

11 - Combustible Solids

wgk

WGK 2

法规信息

常规特殊物品

此项目有



历史批次信息供参考:

分析证书(COA)

Lot/Batch Number

没有发现合适的版本?

如果您需要特殊版本,可通过批号或批次号查找具体证书。

已有该产品?

在文件库中查找您最近购买产品的文档。

访问文档库


相关内容

Discover cancer research resources with modeling and profiling tools for cell culture, genomics, biomarkers, and more to help maximize your cancer research.