biological source
rabbit
Quality Level
recombinant
expressed in HEK 293 cells
conjugate
unconjugated
antibody form
purified antibody
antibody product type
primary antibodies
clone
recombinant monoclonal
product line
ZooMAb® learn more
form
lyophilized
mol wt
calculated mol wt 61.28 kDa, observed mol wt ~75 kDa
species reactivity
human, mouse
species reactivity (predicted by homology)
monkey
packaging
antibody small pack of 25 μL
greener alternative product characteristics
Waste Prevention
Designing Safer Chemicals
Design for Energy Efficiency
Learn more about the Principles of Green Chemistry.
enhanced validation
recombinant expression
Learn more about Antibody Enhanced Validation
sustainability
Greener Alternative Product
technique(s)
immunocytochemistry: suitable, immunohistochemistry (formalin-fixed, paraffin-embedded sections): suitable, western blot: suitable
isotype
IgG
UniProt accession no.
greener alternative category
, Aligned
shipped in
ambient
storage temp.
2-8°C
target post-translational modification
unmodified
Gene Information
human ... ZYX(7791)
mouse ... Zyx(22793)
General description
We are committed to bringing you greener alternative products, which adhere to one or more of The 12 Principles of Green Chemistry.This antibody is Preservative-free, produced without the harm or sacrifice of animals and exceptionally stable to allow for ambient shipping and storage if needed and thus aligns with "Waste Prevention", "Designing Safer Chemicals" and "Design for Energy Efficiency". Click here for more information.
ZooMAb antibodies represent an entirely new generation of recombinant monoclonal antibodies.
Each ZooMAb antibody is manufactured using our proprietary recombinant expression system, purified to homogeneity, and precisely dispensed to produce robust and highly reproducible lot-to-lot consistency. Only top-performing clones are released for use by researchers. Each antibody is validated for high specificity and affinity across multiple applications, including its most commonly used application. ZooMAb antibodies are reliably available and ready to ship when you need them.
Learn more about ZooMAb here.
Each ZooMAb antibody is manufactured using our proprietary recombinant expression system, purified to homogeneity, and precisely dispensed to produce robust and highly reproducible lot-to-lot consistency. Only top-performing clones are released for use by researchers. Each antibody is validated for high specificity and affinity across multiple applications, including its most commonly used application. ZooMAb antibodies are reliably available and ready to ship when you need them.
Learn more about ZooMAb here.
Zyxin (UniProt: Q15942; also known as Zyxin-2) is encoded by the ZYX gene (Gene ID: 7791) in human. Zyxin is an evolutionarily conserved LIM domain protein that is widely expressed and has been implicated in cell adhesion, cell motility, and signaling. It acts as an adhesion plaque protein concentrated at sites of cell adhesion, particularly where the ends of actin filament adjoin the membrane and is thought to link the actin cytoskeletal to the membrane. It does not bind directly to actin filaments, but is reported to associate with members of the Enabled (Ena)/vasodilator-stimulated phosphoprotein (VASP) family of cytoskeletal regulators through which it can direct the actin assembly and plays a role in cytoskeletal dynamics and signaling. Zyxin contains three LIM zinc binding domains (aa 384-443; 444-503; and 504-570), which act as a negative regulator of Zyxin-VASP complexes. Also, it contains four proline rich repeats (aa 64-77; 94-108; 115-121; and 127-137) that are known to interact directly with Ena/VASP proteins. Loss of Zyxin results in inability to thicken stress fibers in response to mechanical stimuli. Zyxin activity is regulated by its phosphorylation. Phosphorylation of Zyxin at serine 142 is reported to increase acinus-S access to the C-terminal LIM domain. This ZooMAb® recombinant monoclonal antibody, generated by our propriety technology, offers significantly enhanced specificity, affinity, reproducibility, and stability over conventional monoclonals. (Ref.: Hoffman LM et al (2003). Mol. Cell Biol. 23(1); 70-79; Yoshigi et al (2005). J. Cell Biol. 171(2), 209-215; Chan CB., et al. (2007). Cell Death Differ. 14(9); 1688-1699; Moody JD et al. (2009). Biochem. Biophys. Res. Commun. 378(3), 625-628).
Immunogen
KLH-conjugate linear peptide corresponding to 20 amino acids from the C-terminal half of human Zyxin.
Application
Anti-Zyxin, clone 2F17 ZooMAb, Cat. No. ZRB1408, is a recombinant Rabbit monoclonal antibody that targets Zyxin and has been tested for use in Immunocytochemistry, Immunohistochemistry (Paraffin), and Western Blotting.
Western Blotting Analysis: A 1:1,000 dilution from a representative lot detected Zyxin in NIH/3T3 cell lysate.
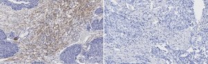
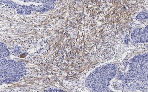
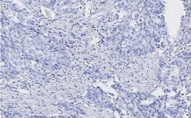
Immunohistochemistry (Paraffin) Analysis: A 1:100 dilution from a representative lot detected Zyxin in human uterus and human prostate tissue sections.
Immunocytochemistry Analysis: A 1:1,000 dilution from a representative lot detected Zyxin in HeLa, HUVEC, and A431 cells.
Note: Actual optimal working dilutions must be determined by end user as specimens, and experimental conditions may vary with the end user.
Immunohistochemistry (Paraffin) Analysis: A 1:100 dilution from a representative lot detected Zyxin in human uterus and human prostate tissue sections.
Immunocytochemistry Analysis: A 1:1,000 dilution from a representative lot detected Zyxin in HeLa, HUVEC, and A431 cells.
Note: Actual optimal working dilutions must be determined by end user as specimens, and experimental conditions may vary with the end user.
Biochem/physiol Actions
Clone 2F17 is a ZooMAb rabbit recombinant monoclonal antibody that specifically detects Zyxin. It targets an epitope within 20 amino acids from the C-terminal half.
Physical form
Purified recombinant rabbit monoclonal antibody IgG, lyophilized in PBS with 5% Trehalose, normal appearance a coarse or translucent resin. Contains no biocide or preservatives, such as azide, or any animal by-products. Larger pack sizes provided as multiples of 25 μL.
Preparation Note
Recommended storage of lyophilized product at 2-8°C; Before reconstitution, micro-centrifuge vials briefly to spin down material to bottom of the vial; Reconstitute each vial by adding 25 μL of filtered lab grade water or PBS; Reconstituted antibodies can be stored at 2-8°C, or -20°C for long term storage. Avoid repeated freeze-thaws.
Reconstitute lyophilized antibody pellet with 25μL of ultrapure water or Phosphate Buffered Saline (PBS). Please refer to our reconstitution protocol and the specific application guidance on the suggested starting dilutions and sample type.
Legal Information
ZooMAb is a registered trademark of Merck KGaA, Darmstadt, Germany
Disclaimer
Unless otherwise stated in our catalog or other company documentation accompanying the product(s), our products are intended for research use only and are not to be used for any other purpose, which includes but is not limited to, unauthorized commercial uses, in vitro diagnostic uses, ex vivo or in vivo therapeutic uses or any type of consumption or application to humans or animals.
Still not finding the right product?
试用我们的 产品选型工具 工具缩小选择范围
存储类别
11 - Combustible Solids
wgk
WGK 2
法规信息
常规特殊物品
此项目有