biological source
rabbit
Quality Level
recombinant
expressed in HEK 293 cells
conjugate
unconjugated
antibody form
purified antibody
antibody product type
primary antibodies
clone
recombinant monoclonal
product line
ZooMAb® learn more
form
lyophilized
mol wt
observed mol wt ~145 kDa, calculated mol wt 102.47 kDa
species reactivity
rat, mouse, human
packaging
antibody small pack of 25 μL
greener alternative product characteristics
Waste Prevention
Designing Safer Chemicals
Design for Energy Efficiency
Learn more about the Principles of Green Chemistry.
enhanced validation
recombinant expression
Learn more about Antibody Enhanced Validation
sustainability
Greener Alternative Product
technique(s)
immunocytochemistry: suitable, immunohistochemistry: suitable, western blot: suitable
isotype
IgG
UniProt accession no.
greener alternative category
shipped in
ambient
storage temp.
2-8°C
target post-translational modification
unmodified
Gene Information
human ... NEFM(4741)
mouse ... Nefm(18040)
rat ... Nefm(24588)
General description
Neurofilament medium polypeptide (UniProt: P07197; also known as NF-M, 160 kDa neurofilament protein, Neurofilament 3, Neurofilament triplet M protein) is encoded by the NEFM (also known as NEF3, NFM) gene (Gene ID: 4741) in human. Neurofilaments are intermediate filaments that serve as major elements of the cytoskeleton supporting the axon cytoplasm. They are the most abundant fibrillar components of the axon, being on average 3-10 times more frequent than axonal microtubules. They are built from three intertwined protofibrils, which are themselves composed of two tetrameric protofilament complexes of monomeric proteins. The neurofilament triplet proteins (68/70, 160, and 200 kDa) occur in both the central and peripheral nervous system and are usually neuron specific. The 68/70 kDa NF-L protein can self-assemble into a filamentous structure, however the 160 kDa NF-M and 200 kDa NF-H proteins require the presence of the 68/70 kDa NF-L protein to co-assemble. Neurofilaments contain a number of repeats of the tripeptide KSP (Lys-Ser-Pro) and NF-M is phosphorylated on a number of the serines in this motif by protein kinase A and C. Phosphorylation of NF-M results in the formation of interfilament cross bridges that are important in the maintenance of axonal caliber. Deletion of the phosphorylated tail domain of NF-M is reported to inhibit radial growth of axons and reduce their conduction velocities. However, mice expressing NF-M subunits that lack phosphorylation at KSP sites along the tail domain have normal axon calibers and conduction velocities, indicating that the NF-M tail domain, but not tail phosphorylation is crucial for axon radial growth. The level of phosphorylation is shown to be altered developmentally and coincides with a change in the neurofilament function. Mutations in the rod domain region of NF-M have been identified in early onset Parkinson s disease. Also, in the brains of Alzheimer s disease patients, a reciprocal relationship between O-GlcNAcylation and phosphorylation of N-FM has been reported where a decreased O-GlcNAcylation is accompanied with increased KSP phosphorylation of NF-M. This ZooMAb® recombinant monoclonal antibody, generated by our propriety technology, offers significantly enhanced specificity, affinity, reproducibility, and stability over conventional monoclonals. (Ref.: Yuan, A., et al. (2012). J. Cell Sci. 125(14); 3257-3263).
We are committed to bringing you greener alternative products, which adhere to one or more of The 12 Principles of Green Chemistry.This antibody is Preservative-free, produced without the harm or sacrifice of animals and exceptionally stable to allow for ambient shipping and storage if needed and thus aligns with "Waste Prevention", "Designing Safer Chemicals" and "Design for Energy Efficiency". Click here for more information.
ZooMAb antibodies represent an entirely new generation of recombinant monoclonal antibodies.
Each ZooMAb antibody is manufactured using our proprietary recombinant expression system, purified to homogeneity, and precisely dispensed to produce robust and highly reproducible lot-to-lot consistency. Only top-performing clones are released for use by researchers. Each antibody is validated for high specificity and affinity across multiple applications, including its most commonly used application. ZooMAb antibodies are reliably available and ready to ship when you need them.
Learn more about ZooMAb here.
Each ZooMAb antibody is manufactured using our proprietary recombinant expression system, purified to homogeneity, and precisely dispensed to produce robust and highly reproducible lot-to-lot consistency. Only top-performing clones are released for use by researchers. Each antibody is validated for high specificity and affinity across multiple applications, including its most commonly used application. ZooMAb antibodies are reliably available and ready to ship when you need them.
Learn more about ZooMAb here.
Immunogen
GST/His-tagged recombinant fragment corresponding to 150 amino acids from the C-terminal region of human Neurofilament M.
Application
Anti-Neurofilament M, clone 1B23 ZooMAb, Cat. No. ZRB1411, is a recombinant Rabbit monoclonal antibody that targets Neurofilament M and is tested for use in Immunocytochemistry, Immunohistochemistry, and Western Blotting.
Western Blotting Analysis: A 1:1,000 dilution from a representative lot detected Neurofilament M in mouse brain tissue lysate.
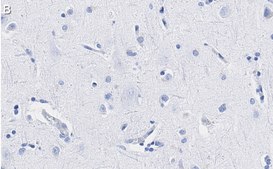
Immunohistochemistry (Paraffin) Analysis: A 1:100 dilution from a representative lot detected Neurofilament M in human brain tissue sections.
Immunocytochemistry Analysis: A 1:100 dilution from a representative lot detected Neurofilament M in SH-SY5Y cells.
Note: Actual optimal working dilutions must be determined by end user as specimens, and experimental conditions may vary with the end user.
Immunohistochemistry (Paraffin) Analysis: A 1:100 dilution from a representative lot detected Neurofilament M in human brain tissue sections.
Immunocytochemistry Analysis: A 1:100 dilution from a representative lot detected Neurofilament M in SH-SY5Y cells.
Note: Actual optimal working dilutions must be determined by end user as specimens, and experimental conditions may vary with the end user.
Biochem/physiol Actions
Clone 1B23 is a ZooMAb rabbit recombinant monoclonal antibody that specifically detects Neurofilament M. It targets an epitope within 150 amino acids from the C-terminal region.
Physical form
Purified recombinant rabbit monoclonal antibody IgG, lyophilized in PBS with 5% Trehalose, normal appearance a coarse or translucent resin. Contains no biocide or preservatives, such as azide, or any animal by-products. Larger pack sizes provided as multiples of 25 μL.
Preparation Note
Recommended storage of lyophilized product at 2-8°C; Before reconstitution, micro-centrifuge vials briefly to spin down material to bottom of the vial; Reconstitute each vial by adding 25 μL of filtered lab grade water or PBS; Reconstituted antibodies can be stored at 2-8°C, or -20°C for long term storage. Avoid repeated freeze-thaws.
Reconstitute lyophilized antibody pellet with 25μL of ultrapure water or Phosphate Buffered Saline (PBS). Please refer to our reconstitution protocol and the specific application guidance on the suggested starting dilutions and sample type.
Legal Information
ZooMAb is a registered trademark of Merck KGaA, Darmstadt, Germany
Disclaimer
Unless otherwise stated in our catalog or other company documentation accompanying the product(s), our products are intended for research use only and are not to be used for any other purpose, which includes but is not limited to, unauthorized commercial uses, in vitro diagnostic uses, ex vivo or in vivo therapeutic uses or any type of consumption or application to humans or animals.
Still not finding the right product?
试用我们的 产品选型工具 工具缩小选择范围
存储类别
11 - Combustible Solids
wgk
WGK 2
法规信息
常规特殊物品
常规特殊物品
此项目有