跳转至内容
Merck
CN

ZRB1434

Anti-phospho-Chk2-Thr68 Antibody, clone 1B17 ZooMAb® Rabbit Monoclonal

greener alternative

recombinant, expressed in HEK 293 cells

登录 查看组织和合同定价。

选择尺寸

变更视图

关于此项目

NACRES:
NA.41
UNSPSC Code:
12352203
Conjugate:
unconjugated
Clone:
1B17, recombinant monoclonal
Application:
IHC (p), WB, affinity binding assay
Citations:
-
技术服务
需要帮助?我们经验丰富的科学家团队随时乐意为您服务。
让我们为您提供帮助


biological source

rabbit

Quality Level

recombinant

expressed in HEK 293 cells

conjugate

unconjugated

antibody form

purified antibody

antibody product type

primary antibodies

clone

1B17, recombinant monoclonal

description

recombinant, expressed in HEK 293 cells

product line

ZooMAb® learn more

form

lyophilized

mol wt

calculated mol wt 60.92 kDa, observed mol wt ~60 kDa

purified by

using Protein A

species reactivity

human

species reactivity (predicted by homology)

monkey

packaging

antibody small pack of 25 μL

greener alternative product characteristics

Waste Prevention
Designing Safer Chemicals
Design for Energy Efficiency
Learn more about the Principles of Green Chemistry.

enhanced validation

recombinant expression
Learn more about Antibody Enhanced Validation

sustainability

Greener Alternative Product

technique(s)

affinity binding assay: suitable, immunohistochemistry (formalin-fixed, paraffin-embedded sections): suitable, western blot: suitable

isotype

IgG

epitope sequence

N-terminal

Protein ID accession no.

UniProt accession no.

greener alternative category

shipped in

ambient

storage temp.

2-8°C

target post-translational modification

phosphorylation (pThr68)

General description

Serine/threonine-protein kinase Chk2 (UniProt: O96017; also known as EC:2.7.11.1, CHK2 checkpoint homolog, Cds1 homolog, Hucds1, hCds1, Checkpoint kinase 2, Chk2) is encoded by the CHEK2 (also known as CDS1, CHK2, RAD53) gene (Gene ID: 11200) in human. Chk2 is a homodimeric nuclear serine/threonine protein kinase that is required for checkpoint-mediated cell cycle arrest, activation of DNA repair, and apoptosis in response to the presence of DNA double-strand breaks. Its protein kinase domain is localized to amino acids 220-486. It is highly expressed in testis, spleen, colon, and peripheral blood leukocytes and lower expression is found in other tissues. Following activation, Chk2 phosphorylates several effector molecules preferentially at the consensus sequence [L-X-R-X-X-S/T]. It is reported to regulate cell cycle checkpoint arrest through phosphorylation of Cdc25A, Cdc25B, and Cdc25C, inhibiting their activity, which can lead to increased inhibitory tyrosine phosphorylation of CDK-cyclin complexes and blocks cell cycle progression. Chk2 undergoes phosphorylation at serine 73 by polo-like kinase 3 in response to DNA damage, promoting phosphorylation at threonine 68 by ATM kinase. Phosphorylation at threonine 68 induces its homodimerization and allows autophosphorylation to proceed at threonine 383 and 387 in the T-loop/activation segment that makes it fully active. activation state . Thirteen different isoforms of Chk2 have been described that are produced by alternative splicing. This ZooMAb® recombinant monoclonal antibody, generated by our propriety technology, offers significantly enhanced specificity, affinity, reproducibility, and stability over conventional monoclonals.
We are committed to bringing you greener alternative products, which adhere to one or more of The 12 Principles of Green Chemistry.This antibody is Preservative-free, produced without the harm or sacrifice of animals and exceptionally stable to allow for ambient shipping and storage if needed and thus aligns with "Waste Prevention", "Designing Safer Chemicals" and "Design for Energy Efficiency". Click here for more information.
ZooMAb® antibodies represent an entirely new generation of recombinant monoclonal antibodies.Each ZooMAb® antibody is manufactured using our proprietary recombinant expression system, purified to homogeneity, and precisely dispensed to produce robust and highly reproducible lot-to-lot consistency. Only top-performing clones are released for use by researchers. Each antibody is validated for high specificity and affinity across multiple applications, including its most commonly used application. ZooMAb® antibodies are reliably available and ready to ship when you need them.

Immunogen

KLH-conjugated linear peptide corresponding to 9 amino acids surrounding phosphothreonine 68 from human Checkpoint kinase 2 (Chk2).

Application

Quality Control Testing

Evaluated by Western Blotting in lysate from HeLa cells treated with UV light.

Western Blotting Analysis: A 1:1,000 dilution of this antibody detected Checkpoint kinase 2 (Chk2) in lysate from HeLa cells treated with UV light (50 milli Joules followed by recovery of 1 h), but not in untreated cells.

Tested applications

Peptide Inhibition Assay: Target band detection in lysate from UV light treated HeLa cells was prevented by pre-blocking of a representative lot with the phosphorylated Chk2-Thr68 peptide, but not the corresponding non-phosphopeptide.

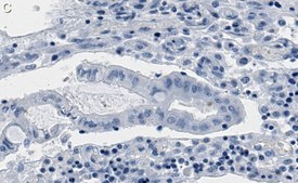
Immunohistochemistry (Paraffin) Analysis: A 1:100 dilution from a representative lot detected phospho-Chk2-Thr68 in human colon cancer tissue sections.

Immunocytochemistry Analysis: A 1:100 dilution from a representative lot detected phospho-Chk2-Thr68 in HeLa cells treated with UV light.

Affinity Binding Assay: A representative lot of this antibody bound phospho-Chk2-Thr68 peptide with a KD of 2.5 x 10-7 in an affinity binding assay.

Note: Actual optimal working dilutions must be determined by end user as specimens, and experimental conditions may vary with the end user
Anti-phospho-Chk2-Thr68, clone 1B17 ZooMAb® Rabbit Monoclonal, Cat. No. ZRB1434, detects phospho-Chk2-Thr68 and is used in Affinity Binding Assay, Immunocytochemistry, Immunohistochemistry, and Peptide Inhibition Assay, and Western Blotting.

Biochem/physiol Actions

Clone 1B17 is a ZooMAb® Rabbit recombinant monoclonal antibody that specifically detects Checkpoint kinase 2 (Chk2) phosphorylated on Threonine 68.

Physical form

Purified recombinant rabbit monoclonal antibody IgG, lyophilized in PBS with 5% Trehalose, normal appearance a coarse or translucent resin. The PBS/trehalose components in the ZooMAb® formulation can have the appearance of a semi-solid (bead like gel) after lyophilization. This is a normal phenomenon. Please follow the recommended reconstitution procedure in the data sheet to dissolve the semi-solid, bead-like, gel-appearing material. The resulting antibody solution is completely stable and functional as proven by full functional testing. Contains no biocide or preservatives, such as azide, or any animal by-products. Larger pack sizes provided as multiples of 25 μL.

Preparation Note

Recommend storage of lyophilized product at 2-8°C; Before reconstitution, micro-centrifuge vials briefly to spin down material to bottom of the vial; Reconstitute each vial by adding 25 μL of filtered lab grade water or PBS; Reconstituted antibodies can be stored at 2-8°C, or -20°C for long term storage. Avoid repeated freeze-thaws.
Reconstitute lyophilized antibody pellet with 25μL of ultrapure water or Phosphate Buffered Saline (PBS). Please refer to our reconstitution protocol and the specific application guidance on the suggested starting dilutions and sample type.

Legal Information

ZooMAb is a registered trademark of Merck KGaA, Darmstadt, Germany

Disclaimer

Unless otherwise stated in our catalog or other company documentation accompanying the product(s), our products are intended for research use only and are not to be used for any other purpose, which includes but is not limited to, unauthorized commercial uses, in vitro diagnostic uses, ex vivo or in vivo therapeutic uses or any type of consumption or application to humans or animals.


Still not finding the right product?

试用我们的 产品选型工具 工具缩小选择范围


存储类别

11 - Combustible Solids

wgk

WGK 1

flash_point_f

Not applicable

flash_point_c

Not applicable

法规信息

常规特殊物品

此项目有



历史批次信息供参考:

分析证书(COA)

Lot/Batch Number

没有发现合适的版本?

如果您需要特殊版本,可通过批号或批次号查找具体证书。

已有该产品?

在文件库中查找您最近购买产品的文档。

访问文档库


商品

Learn about the hallmarks of cancer and find reliable ZooMAb® recombinant antibodies to study them, conveniently organized by cancer hallmark.





全球贸易项目编号

货号GTIN
ZRB1434-4X25UL04065266779516
ZRB1434-25UL04065266779509