biological source
rabbit (recombinant)
Quality Level
recombinant
expressed in HEK 293 cells
conjugate
unconjugated
antibody form
purified antibody
antibody product type
primary antibodies
clone
1C17, monoclonal, recombinant monoclonal
product line
ZooMAb® learn more
form
lyophilized
mol wt
calculated mol wt 59.14 kDa, observed mol wt 55 kDa
species reactivity
canine, human
packaging
antibody small pack of 25 μL
greener alternative product characteristics
Waste Prevention
Designing Safer Chemicals
Design for Energy Efficiency
Learn more about the Principles of Green Chemistry.
enhanced validation
recombinant expression
Learn more about Antibody Enhanced Validation
sustainability
Greener Alternative Product
technique(s)
affinity binding assay: suitable, immunocytochemistry: suitable, immunohistochemistry (formalin-fixed, paraffin-embedded sections): suitable, western blot: suitable
isotype
IgG
UniProt accession no.
greener alternative category
shipped in
ambient
storage temp.
2-8°C
target post-translational modification
unmodified
Gene Information
human ... OCLN(100506658)
General description
Occludin (UniProt: Q16625; also known as OCLN) is encoded by the OCLN gene (Gene ID: 100506658) in human. Occludin is a multi-pass membrane protein that localizes at tight junctions of both epithelial and endothelial cells. It is shown to be highly expressed in kidneys. It plays a role in the formation and regulation of the tight junction paracellular permeability barrier and prevents the transport of macromolecules through the tight junction. Dysregulation of occlude leads to several diseases, including cancer, stroke, and inflammatory lung disease. Occludin has two extracellular domains (aa 90-135 and 196-243), four transmembrane domains (aa 67-89, 136-160, 171-195, and 244-265), and three cytoplasmic domains (aa 1-66, 161-170, and 266-522). The C-terminal cytoplasmic tail binds directly to the ZO-1 proteins, which links the protein complex to the actin cytoskeleton and is involved in the regulation of the permeability barrier function of tight junctions. The first extracellular loop participates in an adhesive interaction. Occludin also exhibits a MARVEL domain (aa 60-269) that is involved in membrane apposition and fusion events. Overexpression of occludin in Madin-Darby canine kidney (MDCK) cells is reported to enhance transepithelial electrical resistance in these cells. Reversible phosphorylation of occluding is shown to play a major role in regulation of occludin and it is tight junction barrier properties. Mutations in OCLN gene can cause Pseudo-TORCH syndrome that is Characterized by microcephaly, intracranial calcifications, and severe developmental delays. This ZooMAb recombinant monoclonal antibody, generated by our propriety technology, offers significantly enhanced specificity, affinity, reproducibility, and stability over conventional monoclonals. (Ref.: Cummins, PM (2012). Mol. Cell Biol. 32(2): 242-250).
We are committed to bringing you greener alternative products, which adhere to one or more of The 12 Principles of Green Chemistry.This antibody is Preservative-free, produced without the harm or sacrifice of animals and exceptionally stable to allow for ambient shipping and storage if needed and thus aligns with "Waste Prevention", "Designing Safer Chemicals" and "Design for Energy Efficiency". Click here for more information.
ZooMAb antibodies represent an entirely new generation of recombinant monoclonal antibodies.
Each ZooMAb antibody is manufactured using our proprietary recombinant expression system, purified to homogeneity, and precisely dispensed to produce robust and highly reproducible lot-to-lot consistency. Only top-performing clones are released for use by researchers. Each antibody is validated for high specificity and affinity across multiple applications, including its most commonly used application. ZooMAb antibodies are reliably available and ready to ship when you need them.
Learn more about ZooMAb here.
Each ZooMAb antibody is manufactured using our proprietary recombinant expression system, purified to homogeneity, and precisely dispensed to produce robust and highly reproducible lot-to-lot consistency. Only top-performing clones are released for use by researchers. Each antibody is validated for high specificity and affinity across multiple applications, including its most commonly used application. ZooMAb antibodies are reliably available and ready to ship when you need them.
Learn more about ZooMAb here.
Immunogen
GST/His-tagged recombinant fragment corresponding to 113 amino acids from the C-terminal region of human Occludin.
Application
Anti-Occludin, clone 1C17 ZooMAb, Cat. No. ZRB1451, is a recombinant Rabbit monoclonal antibody that targets Occludin and is tested for use in Affinity Binding Assay, Immunocytochemistry, and Immunohistochemistry (Paraffin), and Western Blotting.
Immunocytochemistry Analysis: A 1:100 dilution from a representative lot detected Occludin in HEK 293 cells.
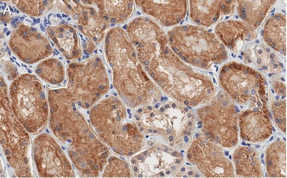
Immunohistochemistry Analysis: A 1:1,000 dilution from a representative lot detected Occludin in human kidney tissue sections.
Affinity Binding Assay: A representative lot of this antibody bound recombinant human Occludin with a KD of 1.1 x 10-7 in an affinity binding assay.
Note: Actual optimal working dilutions must be determined by end user as specimens, and experimental conditions may vary with the end user
Immunohistochemistry Analysis: A 1:1,000 dilution from a representative lot detected Occludin in human kidney tissue sections.
Affinity Binding Assay: A representative lot of this antibody bound recombinant human Occludin with a KD of 1.1 x 10-7 in an affinity binding assay.
Note: Actual optimal working dilutions must be determined by end user as specimens, and experimental conditions may vary with the end user
Biochem/physiol Actions
Clone 1C17 is a ZooMAb rabbit recombinant monoclonal antibody that specifically detects Occludin. It targets an epitope within 113 amino acids from the C-terminal region.
Physical form
Purified recombinant rabbit monoclonal antibody IgG, lyophilized in PBS with 5% Trehalose, normal appearance a coarse or translucent resin. Contains no biocide or preservatives, such as azide, or any animal by-products. Larger pack sizes provided as multiples of 25 μL.
Preparation Note
Recommend storage of lyophilized product at 2-8°C; Before reconstitution, micro-centrifuge vials briefly to spin down material to bottom of the vial; Reconstitute each vial by adding 25 μL of filtered lab grade water or PBS; Reconstituted antibodies can be stored at 2-8°C, or -20°C for long term storage. Avoid repeated freeze-thaws.
Reconstitute lyophilized antibody pellet with 25μL of ultrapure water or Phosphate Buffered Saline (PBS). Please refer to our reconstitution protocol and the specific application guidance on the suggested starting dilutions and sample type.
Legal Information
ZooMAb is a registered trademark of Merck KGaA, Darmstadt, Germany
Disclaimer
Unless otherwise stated in our catalog or other company documentation accompanying the product(s), our products are intended for research use only and are not to be used for any other purpose, which includes but is not limited to, unauthorized commercial uses, in vitro diagnostic uses, ex vivo or in vivo therapeutic uses or any type of consumption or application to humans or animals.
Still not finding the right product?
试用我们的 产品选型工具 工具缩小选择范围
存储类别
11 - Combustible Solids
wgk
WGK 1
法规信息
常规特殊物品
此项目有
全球贸易项目编号
| 货号 | GTIN |
|---|---|
| ZRB1451-25UL | 04061841793458 |
| ZRB1451-4X25UL | 04061841793465 |