跳转至内容
Merck
CN

ZRB1493

抗-Nrf2 抗体,克隆5B20 ,ZooMAb®兔单克隆抗体

greener alternative

recombinant, expressed in HEK 293 cells

别名:

HEBP1, NFE2相关因子2, 核因子, 核因子红细胞2相关因子2, 红细胞衍生2样

登录 查看组织和合同定价。

选择尺寸

变更视图

关于此项目

NACRES:
NA.43
UNSPSC Code:
12352203
Conjugate:
unconjugated
Clone:
5B20, monoclonal, recombinant monoclonal
Application:
ICC, IHC (p), WB
Citations:
-
技术服务
需要帮助?我们经验丰富的科学家团队随时乐意为您服务。
让我们为您提供帮助


biological source

rabbit (recombinant)

Quality Level

recombinant

expressed in HEK 293 cells

conjugate

unconjugated

antibody form

purified antibody

antibody product type

primary antibodies

clone

5B20, monoclonal, recombinant monoclonal

product line

ZooMAb® learn more

form

lyophilized

mol wt

calculated mol wt 67.83 kDa, observed mol wt 80 kDa

species reactivity

human

packaging

antibody small pack of 25 μL

greener alternative product characteristics

Waste Prevention
Designing Safer Chemicals
Design for Energy Efficiency
Learn more about the Principles of Green Chemistry.

enhanced validation

recombinant expression
Learn more about Antibody Enhanced Validation

sustainability

Greener Alternative Product

technique(s)

immunocytochemistry: suitable, immunohistochemistry (formalin-fixed, paraffin-embedded sections): suitable, western blot: suitable

isotype

IgG

UniProt accession no.

greener alternative category

shipped in

ambient

storage temp.

2-8°C

target post-translational modification

unmodified

Gene Information

human ... NFE2L2(4780)

General description

ZooMAb抗体代表了新一代重组单克隆抗体。

每种ZooMAb抗体均使用我们专有的重组表达系统生产,纯化至均一,并精确分配以产生稳健且高度可重复的批间一致性。只发布性能最高的克隆供研究人员使用。每种抗体在多种应用(包括其最常用的应用)中均具有高度特异性和亲和力。ZooMAb抗体是可靠的,在需要时随时可以发货。

请了解有关ZooMAb的更多信息。
我们致力于为您带来更环保的替代产品,以符合一项或多项绿色化学12项原则。该抗体不含防腐剂,生产过程没有伤害或牺牲动物,特别稳定,需要时可常温运输和储存,因此符合”防止废物“、”设计更安全的化学品“和”能源效率设计“。 点击此处获取更多信息。
核因子红细胞2相关因子2(UniProt:Q16236;又称为NF-E2相关因子2、NFE2相关因子2、Nrf-2、HEBP1、核因子、红系衍生2、样2)由人类NFE2L2(也称为NRF2)基因(基因ID:4780)编码。Nrf2是一种帽n领基区亮氨酸拉链转录因子,与小Maf蛋白异源二聚化。它参与细胞对氧化应激和亲电体的适应过程。它与靶基因启动子区域的抗氧化反应(ARE)元件结合,诱导一系列参与还原性谷胱甘肽(GSH)合成、氧化蛋白硫醇修复、活性氧消除和药物代谢的细胞保护基团等。在非胁迫条件下,它位于细胞质中,但在亲电子试剂的诱导下会易位到细胞核。在正常的非胁迫条件下,它通过Cul3-Rbx1泛素化和蛋白酶体降解以依赖Keap-1的方式快速移动。在氧化应激反应中,蛋白激酶C通过对Ser40的磷酸化使Nrf2与其Keap-1解离,并促使其移动至细胞核。它可广泛表达,在肝脏、骨骼肌、胃肠道的管腔细胞、支气管和肺泡内壁以及肾小管中表达量最高,其次是心脏、脾脏、睾丸和大脑。由于Keap1或Nrf2基因中的体细胞突变,Nrf2在许多肿瘤中呈结构性上调。过度表达Nrf2的肿瘤表现出对化疗药物的耐药性增加和更高的增殖率。通过我们的专有技术生成的ZooMAb®重组单克隆抗体与常规单克隆抗体相比,具有明显增强的特异性、亲和力、可重复性和稳定性。(参考文献:Hayes, JD., and Ashford, MLJ (2012).Cell Metab.16(2): 139-141).

Immunogen

KLH偶联的线性肽,对应人核因子2红细胞相关因子2(Nrf2)的C端区域的15个氨基酸。

Application

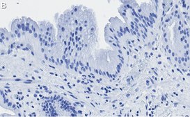
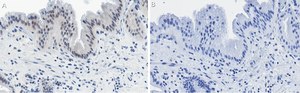
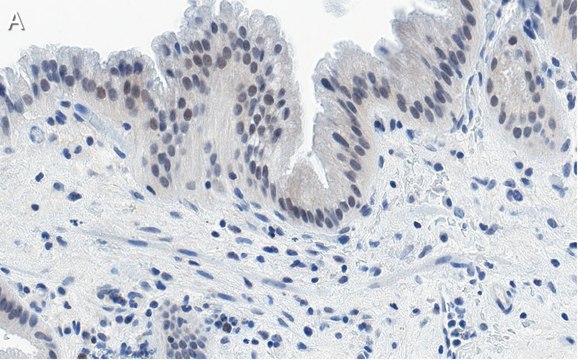
免疫组织化学(石蜡)分析:一个代表性批次的1:100稀释液在在人胆囊和人宫颈癌组织切片中检测到 Nrf2。

免疫细胞化学分析:来自代表性批次的 1:100 稀释液在 MG132 处理的 HeLa 细胞中检测到 Nrf2。

注意:实际最佳工作稀释度必须由最终用户确定,因为样本和实验条件可能会因最终用户而有所不同
抗c-Nrf2,克隆5B20 ZooMAb,货号ZRB457,是一种重组兔单克隆抗体,可特异性靶向Nrf2(NFE2相关因子2),经测试可用于免疫细胞化学、免疫组织化学(石蜡)和蛋白质印迹。

Biochem/physiol Actions

克隆5B20 是一种ZooMAb兔重组单克隆抗体,可特异性检测Nrf2。它靶向C末端区域15个氨基酸内的表位。

Physical form

纯化的重组兔单克隆抗体IgG,在含有5%海藻糖的PBS中冻干,外观正常,为粗糙或半透明的树脂状。不含抗微生物剂或防腐剂(例如叠氮化物)或任何动物副产品。较大的包装尺寸以25 μL的倍数形式提供。

Preparation Note

建议将冻干产品在2-8℃下储存;复溶前,将微量离心管瓶短暂离心以将内容物离心至管瓶底部;通过添加25 μL过滤后的实验室级水或PBS来复溶每个小瓶;复溶的抗体可在2-8℃下储存或-20℃下长期储存。 避免反复冻融。
Reconstitute lyophilized antibody pellet with 25μL of ultrapure water or Phosphate Buffered Saline (PBS). Please refer to our reconstitution protocol and the specific application guidance on the suggested starting dilutions and sample type.

Legal Information

ZooMAb is a registered trademark of Merck KGaA, Darmstadt, Germany

Disclaimer

除非我们的产品目录或产品附带的其他公司文档另有说明,否则我们的产品仅供研究使用,不得用于任何其他目的,包括但不限于未经授权的商业用途、体外诊断用途、离体或体内治疗用途或任何类型的人类或动物食用或应用。


Still not finding the right product?

试用我们的 产品选型工具 工具缩小选择范围


存储类别

13 - Non Combustible Solids

wgk

WGK 2

法规信息

常规特殊物品
常规特殊物品

此项目有



历史批次信息供参考:

分析证书(COA)

Lot/Batch Number

没有发现合适的版本?

如果您需要特殊版本,可通过批号或批次号查找具体证书。

已有该产品?

在文件库中查找您最近购买产品的文档。

访问文档库



全球贸易项目编号

货号GTIN
ZRB1493-25UL04061841864844
ZRB1493-4X25UL04061841864851