biological source
rabbit (recombinant)
Quality Level
recombinant
expressed in HEK 293 cells
conjugate
unconjugated
antibody form
purified antibody
antibody product type
primary antibodies
clone
3F18, monoclonal, recombinant monoclonal
product line
ZooMAb® learn more
form
lyophilized
mol wt
calculated mol wt 21.05 kDa, observed mol wt 20 kDa
species reactivity
human
packaging
antibody small pack of 25 μL
greener alternative product characteristics
Waste Prevention
Designing Safer Chemicals
Design for Energy Efficiency
Learn more about the Principles of Green Chemistry.
enhanced validation
recombinant expression
Learn more about Antibody Enhanced Validation
sustainability
Greener Alternative Product
technique(s)
immunofluorescence: suitable, immunohistochemistry (formalin-fixed, paraffin-embedded sections): suitable, western blot: suitable
isotype
IgG
UniProt accession no.
greener alternative category
shipped in
ambient
storage temp.
2-8°C
target post-translational modification
unmodified
Gene Information
human ... SFTPC(6440)
General description
Pulmonary surfactant-associated protein C (UniProt: P11686; also known as SP-C, Pulmonary surfactant-associated proteolipid SPL(Val), SP5) is encoded by the SFTPC (also known as SFTP2) gene (Gene ID: 6440) in human. Pulmonary surfactant is a lipid-protein complex that promotes alveolar stability by lowering the surface tension at the air-fluid interface in the peripheral air spaces. Pulmonary surfactant associated proteins promote alveolar stability by lowering the surface tension at the air-liquid interface in the peripheral air spaces. Four different surfactant-associated proteins have been described: 2 collagenous, carbohydrate-binding glycoproteins (SP-A and SP-D) and two small hydrophobic proteins (SP-B and SP-C). SFTPC is synthesized with two pro-peptides (aa 1-23 and 59-197) that subsequently produce the SP-5 protein (aa 24-58). Mutations in SFTPC have been found in sporadic and familial idiopathic pulmonary fibrosis (IPF) in murine models. In human, mutations in SFTPC gene have been linked to Respiratory distress syndrome (RDS) in premature infants. This ZooMAb® recombinant monoclonal antibody, generated by our propriety technology, offers significantly enhanced specificity, affinity, reproducibility, and stability over conventional monoclonals.
We are committed to bringing you greener alternative products, which adhere to one or more of The 12 Principles of Green Chemistry.This antibody is Preservative-free, produced without the harm or sacrifice of animals and exceptionally stable to allow for ambient shipping and storage if needed and thus aligns with "Waste Prevention", "Designing Safer Chemicals" and "Design for Energy Efficiency". Click here for more information.
ZooMAb antibodies represent an entirely new generation of recombinant monoclonal antibodies.
Each ZooMAb antibody is manufactured using our proprietary recombinant expression system, purified to homogeneity, and precisely dispensed to produce robust and highly reproducible lot-to-lot consistency. Only top-performing clones are released for use by researchers. Each antibody is validated for high specificity and affinity across multiple applications, including its most commonly used application. ZooMAb antibodies are reliably available and ready to ship when you need them.
Learn more about ZooMAb here.
Each ZooMAb antibody is manufactured using our proprietary recombinant expression system, purified to homogeneity, and precisely dispensed to produce robust and highly reproducible lot-to-lot consistency. Only top-performing clones are released for use by researchers. Each antibody is validated for high specificity and affinity across multiple applications, including its most commonly used application. ZooMAb antibodies are reliably available and ready to ship when you need them.
Learn more about ZooMAb here.
Immunogen
KLH-conjugated linear peptide corresponding to 27 amino acids from the N-terminal region of human Pulmonary surfactant-associated protein C (STFPC).
Application
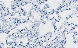
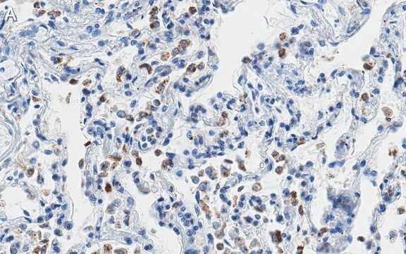
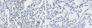
Immunofluorescence Analysis: A 1:1,000 dilution from a representative lot detected SFTPC in human lung tissue sections.
Immunohistochemistry (Paraffin) Analysis: A 1:1,000 dilution from a representative lot detected SFTPC in human lung tissue sections.
Note: Actual optimal working dilutions must be determined by end user as specimens, and experimental conditions may vary with the end user
Immunohistochemistry (Paraffin) Analysis: A 1:1,000 dilution from a representative lot detected SFTPC in human lung tissue sections.
Note: Actual optimal working dilutions must be determined by end user as specimens, and experimental conditions may vary with the end user
Anti-SFTPC, clone 3F18 ZooMAb, Cat. No. ZRB1496, is a recombinant Rabbit monoclonal antibody that specifically targets SFTPC and is tested for use in Immunofluorescence, Immunohistochemistry (Paraffin), and Western Blotting.
Biochem/physiol Actions
Clone 3F18 is a ZooMAb rabbit recombinant monoclonal antibody that specifically detects human Pulmonary surfactant-associated protein C (SFTPC). It targets an epitope within 27 amino acids from the N-terminal region.
Physical form
Purified recombinant rabbit monoclonal antibody IgG, lyophilized in PBS with 5% Trehalose, normal appearance a coarse or translucent resin. Contains no biocide or preservatives, such as azide, or any animal by-products. Larger pack sizes provided as multiples of 25 μL.
Preparation Note
Recommend storage of lyophilized product at 2-8°C; Before reconstitution, micro-centrifuge vials briefly to spin down material to bottom of the vial; Reconstitute each vial by adding 25 μL of filtered lab grade water or PBS; Reconstituted antibodies can be stored at 2-8°C, or -20°C for long term storage. Avoid repeated freeze-thaws.
Reconstitute lyophilized antibody pellet with 25μL of ultrapure water or Phosphate Buffered Saline (PBS). Please refer to our reconstitution protocol and the specific application guidance on the suggested starting dilutions and sample type.
Legal Information
ZooMAb is a registered trademark of Merck KGaA, Darmstadt, Germany
Disclaimer
Unless otherwise stated in our catalog or other company documentation accompanying the product(s), our products are intended for research use only and are not to be used for any other purpose, which includes but is not limited to, unauthorized commercial uses, in vitro diagnostic uses, ex vivo or in vivo therapeutic uses or any type of consumption or application to humans or animals.
Still not finding the right product?
试用我们的 产品选型工具 工具缩小选择范围
存储类别
13 - Non Combustible Solids
wgk
WGK 2
flash_point_f
Not applicable
flash_point_c
Not applicable
法规信息
常规特殊物品
此项目有
全球贸易项目编号
| 货号 | GTIN |
|---|---|
| ZRB1496-25UL | 04061841864882 |
| ZRB1496-4X25UL | 04061841864899 |