跳转至内容
Merck
CN

ZRB1553

Anti-phospho-mTOR-(Ser2448) Antibody, clone 1C22 ZooMAb® Rabbit Monoclonal

greener alternative

recombinant, expressed in HEK 293 cells

别名:

Serine/threonine-protein kinase mTOR;EC:2.7.11.1;FK506-binding protein 12-rapamycin complex-associated protein 1;FKBP12-rapamycin complex-associated protein;Mammalian target of rapamycin;Mechanistic target of rapamycin;Rapamycin and FKBP12 target 1;Rapamy

登录 查看组织和合同定价。

选择尺寸

变更视图

关于此项目

NACRES:
NA.41
UNSPSC Code:
12352203
Conjugate:
unconjugated
Clone:
1C22, recombinant monoclonal
Application:
ICC, IHC (p), WB
Citations:
-
技术服务
需要帮助?我们经验丰富的科学家团队随时乐意为您服务。
让我们为您提供帮助


biological source

rabbit

Quality Level

recombinant

expressed in HEK 293 cells

conjugate

unconjugated

antibody form

purified antibody

antibody product type

primary antibodies

clone

1C22, recombinant monoclonal

description

recombinant, expressed in HEK 293 cells

product line

ZooMAb® learn more

form

lyophilized

mol wt

calculated mol wt 288.89 kDa, observed mol wt ~250 kDa

purified by

using Protein A

species reactivity

human, mouse

species reactivity (predicted by homology)

monkey, rat

packaging

antibody small pack of 25 μL

greener alternative product characteristics

Waste Prevention
Designing Safer Chemicals
Design for Energy Efficiency
Learn more about the Principles of Green Chemistry.

enhanced validation

recombinant expression
Learn more about Antibody Enhanced Validation

sustainability

Greener Alternative Product

technique(s)

immunocytochemistry: suitable, immunohistochemistry (formalin-fixed, paraffin-embedded sections): suitable, western blot: suitable

isotype

IgG

epitope sequence

C-terminal

Protein ID accession no.

UniProt accession no.

greener alternative category

shipped in

ambient

storage temp.

2-8°C

target post-translational modification

phosphorylation (pSer2448)

General description

Serine/threonine-protein kinase mTOR (UniProt: P42345; also known as EC:2.7.11.1, FK506-binding protein 12-rapamycin complex-associated protein 1, FKBP12-rapamycin complex-associated protein, Mammalian target of rapamycin, mTOR, Mechanistic target of rapamycin, Rapamycin and FKBP12 target 1, Rapamycin target protein 1) is encoded by the MTOR (also known as FRAP, FRAP1, FRAP2, RAFT1, RAPT1) gene (Gene ID: 2475) in human. mTOR is an evolutionarily conserved serine/threonine kinase that acts as a nutrient sensor and regulates growth factor signaling and cellular metabolism. Its catalytic kinase domain, located in the C-terminal region, exhibits a strong homology to the catalytic domain of PI 3-kinase and PI 4-kinase. It activates translation initiation in response to both hormonal and nutrient signals by phosphorylating at least two translational modulators, p70S6 kinase 1 (S6K1) and eIF-4E-binding protein 1. Cellular mTOR is composed of two large protein complexes, known as mTORC1 and mTORC2. The mTORC1 complex is sensitive to rapamycin and consists of mTOR, Raptor, and mLST8 and two negative regulators, PRAS40 and DEPTOR. The Raptor unit serves as a scaffolding protein to bridge the interaction between mTOR and its substrates. The mTORC2 complex that is insensitive to rapamycin, contains mTOR, Rictor, Sin1, and mLST8 and the newly identified components Protor, Hsp70 and DEPTOR. This complex plays a role in actin cytoskeleton organization and phosphorylates Akt on Ser473 to fully activate it. mTOR undergoes phosphorylation on serine 2448 by the action of p70S6 kinase as well as Akt. P70S6 kinase is a major effector of mTOR phosphorylation at this site in response to both mitogen- and nutrient-derived stimuli. Rapamycin is shown to block serum-stimulated phosphorylation of ser 2448. Deregulation of multiple elements of the mTOR pathway has been reported in many types of cancers. This ZooMAb® recombinant monoclonal antibody, generated by our propriety technology, offers significantly enhanced specificity, affinity, reproducibility, and stability over conventional monoclonals. (Ref.: Hoeffer, CA., and Klann, E. (2010). Trends Neurosci. 33(2); 67-75; Chiang, GG., and Abraham, RT. (2005). J. Biol. Chem. 280(27); 25485-25490).
We are committed to bringing you greener alternative products, which adhere to one or more of The 12 Principles of Green Chemistry.This antibody is Preservative-free, produced without the harm or sacrifice of animals and exceptionally stable to allow for ambient shipping and storage if needed and thus aligns with "Waste Prevention", "Designing Safer Chemicals" and "Design for Energy Efficiency". Click here for more information.
ZooMAb® antibodies represent an entirely new generation of recombinant monoclonal antibodies.Each ZooMAb® antibody is manufactured using our proprietary recombinant expression system, purified to homogeneity, and precisely dispensed to produce robust and highly reproducible lot-to-lot consistency. Only top-performing clones are released for use by researchers. Each antibody is validated for high specificity and affinity across multiple applications, including its most commonly used application. ZooMAb® antibodies are reliably available and ready to ship when you need them.

Immunogen

KLH-conjugated linear peptide corresponding to 11 amino acids surrounding phosphoserine 2448 from the C-terminal region of human Serine/threonine-protein kinase mTOR.

Application

Quality Control Testing

Evaluated by Western Blotting in lysate from NIH3T3 cells treated with insulin.

Western Blotting Analysis (WB): A 1:1,000 dilution of this antibody detected mTOR phosphorylated on serine 2448 in NIH3T3 cells, overnight serum stared and treated with insulin (500 nM for 15 min.).

Tested applications

Western Blotting Analysis: A 1:1,000 dilution from a representative lot detected phospho-mTOR-(Ser2448) in lysate from HEK293 cells overnight serum starved and treated with EGF (50 ng/mL; 10 min).

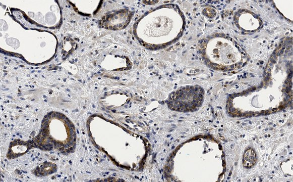
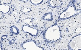
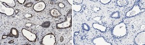
Immunohistochemistry (Paraffin) Analysis: A 1:100 dilution from a representative lot detected phospho-mTOR-(Ser2448) in human prostate cancer and human stomach cancer tissue sections.

Peptide Inhibition Assay: Target band detection in a lysate from NIH3T3 cells treated EGF (50 ng/mL; 10 min) was prevented by preblocking of a representative lot with the immunogen phosphopeptide, but not the corresponding non-phosphopeptide.

Immunocytochemistry Analysis: A 1:100 dilution from a representative lot detected phospho-mTOR-(Ser2448) in HEK293 cells overnight serum starved and treated with EGF (50 ng/mL; 10 min)..

Note: Actual optimal working dilutions must be determined by end user as specimens, and experimental conditions may vary with the end user

Biochem/physiol Actions

Clone 1C22 is a ZooMAb® Rabbit recombinant monoclonal antibody that specifically detects mTOR phosphorylated on serine 2448.

Physical form

Purified recombinant rabbit monoclonal antibody IgG, lyophilized in PBS, 5% Trehalose, normal appearance a coarse or translucent resin. The PBS/trehalose components in the ZooMAb formulation can have the appearance of a semi-solid (bead like gel) after lyophilization. This is a normal phenomenon. Please follow the recommended reconstitution procedure in the data sheet to dissolve the semi-solid, bead-like, gel-appearing material. The resulting antibody solution is completely stable and functional as proven by full functional testing. Contains no biocide or preservatives, such as azide, or any animal by-products. Larger pack sizes provided as multiples of 25 μL.

Preparation Note

Recommend storage of lyophilized product at 2-8°C; Before reconstitution, micro-centrifuge vials briefly to spin down material to bottom of the vial; Reconstitute each vial by adding 25 μL of filtered lab grade water or PBS; Reconstituted antibodies can be stored at 2-8°C, or -20°C for long term storage. Avoid repeated freeze-thaws.
Reconstitute lyophilized antibody pellet with 25μL of ultrapure water or Phosphate Buffered Saline (PBS). Please refer to our reconstitution protocol and the specific application guidance on the suggested starting dilutions and sample type.

Legal Information

ZooMAb is a registered trademark of Merck KGaA, Darmstadt, Germany

Disclaimer

Unless otherwise stated in our catalog or other company documentation accompanying the product(s), our products are intended for research use only and are not to be used for any other purpose, which includes but is not limited to, unauthorized commercial uses, in vitro diagnostic uses, ex vivo or in vivo therapeutic uses or any type of consumption or application to humans or animals.


Still not finding the right product?

试用我们的 产品选型工具 工具缩小选择范围


存储类别

13 - Non Combustible Solids

wgk

WGK 1

flash_point_f

Not applicable

flash_point_c

Not applicable

法规信息

常规特殊物品
常规特殊物品

此项目有



历史批次信息供参考:

分析证书(COA)

Lot/Batch Number

没有发现合适的版本?

如果您需要特殊版本,可通过批号或批次号查找具体证书。

已有该产品?

在文件库中查找您最近购买产品的文档。

访问文档库


商品

Learn about the hallmarks of cancer and find reliable ZooMAb® recombinant antibodies to study them, conveniently organized by cancer hallmark.





全球贸易项目编号

货号GTIN
ZRB1553-4X25UL04065267314693