跳转至内容
Merck
CN

ZRB1921

Anti-PDK4 Antibody, clone 2H5 ZooMAb® Rabbit Monoclonal

greener alternative

recombinant, expressed in HEK 293 cells

登录 查看组织和合同定价。

选择尺寸

变更视图

关于此项目

NACRES:
NA.41
UNSPSC Code:
12352203
Conjugate:
unconjugated
Clone:
2H5, recombinant monoclonal
Application:
ICC, IHC (p), WB, affinity binding assay
Citations:
-
技术服务
需要帮助?我们经验丰富的科学家团队随时乐意为您服务。
让我们为您提供帮助


biological source

rabbit

Quality Level

recombinant

expressed in HEK 293 cells

conjugate

unconjugated

antibody form

purified antibody

antibody product type

primary antibodies

clone

2H5, recombinant monoclonal

description

2H5 Clone

product line

ZooMAb® learn more

form

lyophilized

mol wt

calculated mol wt 46.47 kDa, observed mol wt ~52 kDa

species reactivity

human, rat

species reactivity (predicted by homology)

bovine, monkey

packaging

antibody small pack of 25 μL

greener alternative product characteristics

Waste Prevention
Designing Safer Chemicals
Design for Energy Efficiency
Learn more about the Principles of Green Chemistry.

enhanced validation

recombinant expression
Learn more about Antibody Enhanced Validation

sustainability

Greener Alternative Product

technique(s)

affinity binding assay: suitable, immunocytochemistry: suitable, immunohistochemistry (formalin-fixed, paraffin-embedded sections): suitable, western blot: suitable

isotype

IgG

epitope sequence

N-terminal half

Protein ID accession no.

UniProt accession no.

greener alternative category

shipped in

ambient

storage temp.

2-8°C

target post-translational modification

unmodified

General description

Pyruvate dehydrogenase (acetyl-transferring)] kinase isozyme 4, mitochondrial (UniProt: Q16654; also known as EC:2.7.11.2, Pyruvate dehydrogenase kinase isoform 4, PDK4) is encoded by the PDK4 (also known as PDHK4) gene (Gene ID: 5166) in human. PDK4 is a homodimeric mitochondrial matrix enzyme that is ubiquitous in its distribution, but higher levels of expression are found in heart and skeletal muscle. It plays a key role in regulation of glucose and fatty acid metabolism and homeostasis via phosphorylation of the pyruvate dehydrogenase subunits PDHA1 and PDHA2. This inhibits pyruvate dehydrogenase activity, and thereby regulates metabolite flux through the tricarboxylic acid (TCA) cycle and down-regulates aerobic respiration and inhibits the formation of acetyl-coenzyme A from pyruvate. Inhibition of pyruvate dehydrogenase is shown to reduce glucose utilization and increase fat metabolism in response to prolonged fasting and starvation. PDK4 plays a significant role in maintaining normal blood glucose levels under conditions of starvation. By regulating pyruvate dehydrogenase activity, it plays an important role in maintaining normal blood pH and in preventing the accumulation of ketone bodies under starvation. In the fed state, it mediates cellular responses to glucose levels and to a high-fat diet. This ZooMAb® recombinant monoclonal antibody, generated by our propriety technology, offers significantly enhanced specificity, affinity, reproducibility, and stability over conventional monoclonals.
We are committed to bringing you greener alternative products, which adhere to one or more of The 12 Principles of Green Chemistry.This antibody is Preservative-free, produced without the harm or sacrifice of animals and exceptionally stable to allow for ambient shipping and storage if needed and thus aligns with "Waste Prevention", "Designing Safer Chemicals" and "Design for Energy Efficiency". Click here for more information.
ZooMAb® antibodies represent an entirely new generation of recombinant monoclonal antibodies.

Each ZooMAb® antibody is manufactured using our proprietary recombinant expression system, purified to homogeneity, and precisely dispensed to produce robust and highly reproducible lot-to-lot consistency. Only top-performing clones are released for use by researchers. Each antibody is validated for high specificity and affinity across multiple applications, including its most commonly used application. ZooMAb® antibodies are reliably available and ready to ship when you need them.

Learn more about ZooMAb here.

Immunogen

KLH-conjugated linear peptide corresponding to 18 amino acids from the N-terminal half of human Pyruvate dehydrogenase kinase isoform 4 (PDK4).

Application

Quality Control Testing

Evaluated by Western Blotting in L6 cell lysate.

Western Blotting Analysis: A 1:1,000 dilution of this antibody detected PDK4 in L6 cell lysate.

Tested applications

Western Blotting Analysis: A 1:1,000 dilution from a representative lot detected PDK4 in human skeletal muscle tissue lysate.

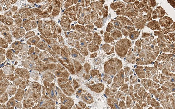
Immunohistochemistry (Paraffin) Analysis: A 1:100 dilution from a representative lot detected PDK4 in human heart tissue sections.

Affinity Binding Assay: A representative lot of this antibody bound PDK4 peptide with a KD of 1.0 x 10-12 in an affinity binding assay.

Immunocytochemistry Analysis: A 1:100 dilution from a representative lot detected PDK4 in HepG2 cells.

Note: Actual optimal working dilutions must be determined by end user as specimens, and experimental conditions may vary with the end user
Anti-PDK4, clone 2H5 ZooMAb®, Cat. No. ZRB1921, is a recombinant Rabbit monoclonal antibody that specifically targets PDK4 and is tested for use in Affinity Binding Assay, Immunocytochemistry, Immunohistochemistry (Paraffin), and Western Blotting.

Biochem/physiol Actions

Clone 2H5 is a ZooMAb® rabbit recombinant monoclonal antibody that specifically detects Pyruvate dehydrogenase kinase isoform 4 (PDK4). It targets an epitope within 18 amino acids from the N-terminal half.

Physical form

Purified recombinant rabbit monoclonal antibody IgG, lyophilized in PBS with 5% Trehalose, normal appearance a coarse or translucent resin. The PBS/trehalose components in the ZooMAb formulation can have the appearance of a semi-solid (bead like gel) after lyophilization. This is a normal phenomenon. Please follow the recommended reconstitution procedure in the data sheet to dissolve the semi-solid, bead-like, gel-appearing material. The resulting antibody solution is completely stable and functional as proven by full functional testing. Contains no biocide or preservatives, such as azide, or any animal by-products. Larger pack sizes provided as multiples of 25 μL.

Preparation Note

Recommend storage of lyophilized product at 2-8°C; Before reconstitution, micro-centrifuge vials briefly to spin down material to bottom of the vial; Reconstitute each vial by adding 25 μL of filtered lab grade water or PBS; Reconstituted antibodies can be stored at 2-8°C, or -20°C for long term storage. Avoid repeated freeze-thaws.
Reconstitute lyophilized antibody pellet with 25μL of ultrapure water or Phosphate Buffered Saline (PBS). Please refer to our reconstitution protocol and the specific application guidance on the suggested starting dilutions and sample type.

Legal Information

ZooMAb is a registered trademark of Merck KGaA, Darmstadt, Germany

Disclaimer

Unless otherwise stated in our catalog or other company documentation accompanying the product(s), our products are intended for research use only and are not to be used for any other purpose, which includes but is not limited to, unauthorized commercial uses, in vitro diagnostic uses, ex vivo or in vivo therapeutic uses or any type of consumption or application to humans or animals.


Still not finding the right product?

试用我们的 产品选型工具 工具缩小选择范围


存储类别

11 - Combustible Solids

wgk

WGK 1

法规信息

常规特殊物品

此项目有



历史批次信息供参考:

分析证书(COA)

Lot/Batch Number

没有发现合适的版本?

如果您需要特殊版本,可通过批号或批次号查找具体证书。

已有该产品?

在文件库中查找您最近购买产品的文档。

访问文档库



全球贸易项目编号

货号GTIN
ZRB1921-4X25UL04065265880527
ZRB1921-25UL04065265880510