跳转至内容
Merck
CN

ZRB457

抗-c-Fos抗体,克隆3D10,ZooMAb®兔单克隆抗体

greener alternative

recombinant, expressed in HEK 293 cells

别名:

G0/G1开关调节蛋白7, 原癌基因c-Fos, 细胞癌基因fos

登录 查看组织和合同定价。

选择尺寸

变更视图

关于此项目

NACRES:
NA.41
UNSPSC Code:
12352203
Conjugate:
unconjugated
Clone:
1D10, monoclonal, recombinant monoclonal
Application:
ICC, IHC (p), WB
Citations:
-
技术服务
需要帮助?我们经验丰富的科学家团队随时乐意为您服务。
让我们为您提供帮助


biological source

rabbit (recombinant)

Quality Level

recombinant

expressed in HEK 293 cells

conjugate

unconjugated

antibody form

purified antibody

antibody product type

primary antibodies

clone

1D10, monoclonal, recombinant monoclonal

description

1D10 Clone

product line

ZooMAb® learn more

form

lyophilized

mol wt

calculated mol wt 40.7 kDa, observed mol wt ~56 kDa

species reactivity

rat, human

packaging

antibody small pack of 25 μL

greener alternative product characteristics

Waste Prevention
Designing Safer Chemicals
Design for Energy Efficiency
Learn more about the Principles of Green Chemistry.

enhanced validation

recombinant expression
Learn more about Antibody Enhanced Validation

sustainability

Greener Alternative Product

technique(s)

immunocytochemistry: 1:100-1:250, immunohistochemistry (formalin-fixed, paraffin-embedded sections): suitable using 1:100, western blot: suitable using 1:1,000

isotype

IgG

UniProt accession no.

greener alternative category

shipped in

ambient

storage temp.

2-8°C

target post-translational modification

unmodified

Gene Information

human ... FOS;G0S7(2353)

General description

ZooMAb抗体代表了新一代的重组单克隆抗体。

每个ZooMAb抗体均使用我们专有的重组表达系统制造,纯化均一,并精确分配以产生可靠且高度可重复的批次间一致性。只发布性能最高的克隆供研究人员使用。每种抗体在多种应用(包括其最常用的应用)中均具有高度特异性和亲和力。ZooMAb抗体通过可靠的程序进行制备,并在您需要时可随时发货。

在此处了解有关ZooMAb的更多信息。
原癌基因c-Fos(UniProt:P01100;又称细胞癌基因fos,G0/G1开关调节蛋白7)是由人的FOS(又称G0S7)基因(基因ID:2353)所编码的。C-Fos是一种核磷蛋白,与JUN/AP-1转录因子形成紧密但非共价连接的复合物。在异二聚体中,c-Fos和JUN/AP-1基本区域似乎都与对称的DNA半位点相互作用。在静止细胞中,存在的少量c-Fos在酪氨酸10和30处被磷酸化。这种酪氨酸磷酸化形式是胞质的。诱导细胞生长后,它首先定位于内质网,然后才定位于细胞核。内质网的定位显示需要在酪氨酸10和30处进行去磷酸化。在生长中的细胞中,c-Fos被PTPN2去磷酸化,从而导致其与内质网膜缔合并激活磷脂合成。激活磷脂合成需要基本基序(aa 139-159)。在受到神经生长因子刺激后,它在C端区域被MAPK和RSK1磷酸化。丝氨酸362和丝氨酸374上的磷酸化导致其稳定。丝氨酸362和丝氨酸374上的磷酸化通过促进MAPK与DEF结构域的对接而引发苏氨酸325和331上的进一步磷酸化。据报道,c-Fos与SUMO1,SUMO2和SUMO3组成性地类泛素化,并且类泛素化需要与JUN异二聚化,并通过促有丝分裂刺激而增强。类泛素化抑制AP-1转录活性,其本身受到苏氨酸232上Ras激活的磷酸化的抑制。已经描述了通过选择性剪接产生的c-Fos的三种不同亚型。通过我们的专有技术生成的ZooMAb重组单克隆抗体与常规单克隆抗体相比,具有明显增强的特异性、亲和力、可重复性和稳定性。
我们致力于遵循绿色化学12原则中的一个或多个原则,为您提供更环保的替代产品。这种抗体不含防腐剂,生产时不会伤害或牺牲动物,化学性质稳定,可以在需要时进行环境运输和储存,因此符合“废物产生预防”,“设计更安全的化学品”和“设计节能”规范。 点击此处以获取更多信息。

Immunogen

KLH偶联线性肽,对应于人c-Fos的N端区域的14个氨基酸。

Application

免疫细胞化学分析:代表性批次的1:250稀释液在血清饥饿的HeLa细胞中检测到c-Fos。

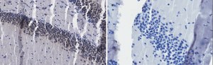
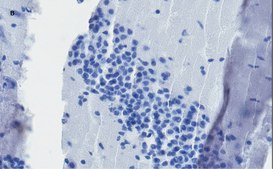
免疫组织化学(石蜡)分析:代表性批次的1:100稀释液在大鼠脑组织切片中检测到c-Fos。
抗c-Fos,克隆1D10 ZooMAb,目录号ZRB457,是一种重组兔单克隆抗体,可特异性靶向原癌基因c-Fos,并已测试可用于免疫细胞化学、免疫组织化学(石蜡)和蛋白质印迹。

Biochem/physiol Actions

克隆1D10 a ZooMAb是一种兔重组单克隆抗体,可特异性检测c-Fos。它靶向的是一个在N末端区域含有14个氨基酸的表位。

Physical form

纯化的重组兔单克隆抗体IgG,在含有5%海藻糖的PBS中冻干,外观正常,为粗糙或半透明的树脂状。不含抗微生物剂或防腐剂(例如叠氮化物)或任何动物副产品。较大的包装尺寸以25 μL的倍数形式提供。

Preparation Note

建议将冻干产品在2-8℃下储存;复溶前,将微量离心管瓶短暂离心以将内容物离心至管瓶底部;通过添加25 μL过滤后的实验室级水或PBS来复溶每个小瓶;复溶的抗体可在2-8℃下储存或-20℃下长期储存。 避免反复冻融。
Reconstitute lyophilized antibody pellet with 25μL of ultrapure water or Phosphate Buffered Saline (PBS). Please refer to our reconstitution protocol and the specific application guidance on the suggested starting dilutions and sample type.

Legal Information

ZooMAb is a registered trademark of Merck KGaA, Darmstadt, Germany

Disclaimer

除非我们的产品目录或产品附带的其他公司文档另有说明,否则我们的产品仅供研究使用,不得用于任何其他目的,包括但不限于未经授权的商业用途、体外诊断用途、离体或体内治疗用途或任何类型的消费或应用于人类或动物。


Still not finding the right product?

试用我们的 产品选型工具 工具缩小选择范围


存储类别

11 - Combustible Solids

wgk

WGK 1

flash_point_f

Not applicable

flash_point_c

Not applicable

法规信息

常规特殊物品

此项目有



历史批次信息供参考:

分析证书(COA)

Lot/Batch Number

没有发现合适的版本?

如果您需要特殊版本,可通过批号或批次号查找具体证书。

已有该产品?

在文件库中查找您最近购买产品的文档。

访问文档库


商品

Learn about the hallmarks of cancer and find reliable ZooMAb® recombinant antibodies to study them, conveniently organized by cancer hallmark.

相关内容

ZooMAb® Recombinant Antibody Technology