跳转至内容
Merck
CN
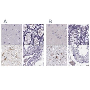
Anti-CALCR antibody produced in rabbit Prestige Antibodies® Powered by Atlas Antibodies, affinity isolated antibody, buffered aqueous glycerol solution

Anti-CALCR antibody produced in rabbit

Anti-CALCR antibody produced in rabbit Prestige Antibodies® Powered by Atlas Antibodies, affinity isolated antibody, buffered aqueous glycerol solution
别名:
Anti-CTR, Anti-calcitonin receptor, CTR

Products

产品分类
品牌
生物来源
克隆
特色
基因别名
物质形态
产品线
抗体形式
研究领域
共轭
翻译后修饰
物种反应
技术