
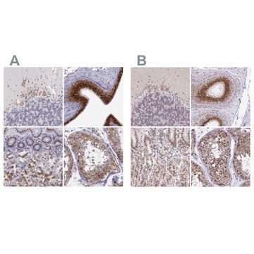
Anti-GOLGA5 antibody produced in rabbit

别名:
Anti-Golgin subfamily A member 5 antibody produced in rabbit, Anti-Golgin-84 antibody produced in rabbit, Anti-RET-fused gene 5 protein antibody produced in rabbit, Anti-Ret-II protein antibody produced in rabbit, Anti-GOLIM5, Anti-golgin-84, Anti-ret-II, Anti-rfg5
Products
产品分类
品牌
生物来源
克隆
特色
基因别名
物质形态
产品线
抗体形式
研究领域
共轭
质量水平
翻译后修饰
物种反应
技术
Showing 1-3 of 3
比较
产品编号
说明
价格