跳转至内容
Merck
CN
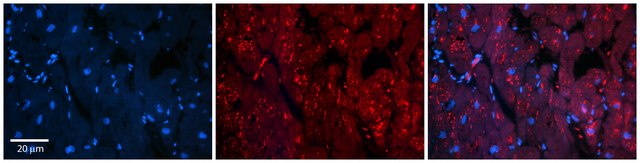
Anti-INSR antibody produced in rabbit affinity isolated antibody

Anti-INSR antibody produced in rabbit

Anti-INSR antibody produced in rabbit affinity isolated antibody
别名:
Anti-CD220, Anti-insulin receptor, Anti-HHF5

Products

产品分类
品牌
生物来源
克隆
基因别名
物质形态
产品线
抗体形式
研究领域
共轭
质量水平
翻译后修饰
物种反应
技术