
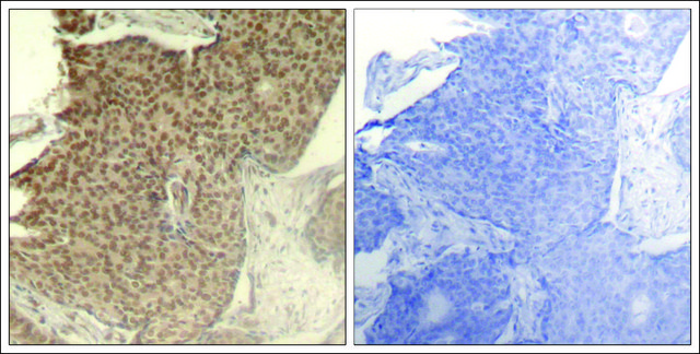
Anti-phospho-HDAC2 (pSer394) antibody produced in rabbit

别名:
Anti-RPD3 antibody produced in rabbit, Anti-YAF1 antibody produced in rabbit, Anti-histone deacetylase 2 antibody produced in rabbit
Products
产品分类
品牌
生物来源
克隆
基因别名
同种型
物质形态
抗体形式
研究领域
共轭
质量水平
翻译后修饰
物种反应
技术