跳转至内容
Merck
CN
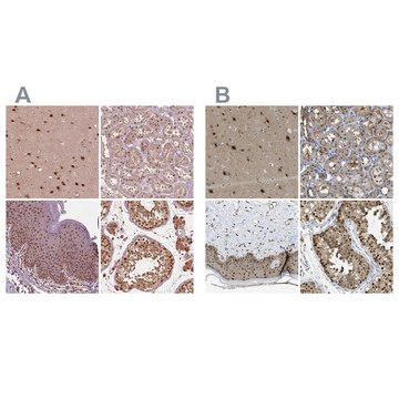
Anti-PSMC5 antibody produced in rabbit Prestige Antibodies® Powered by Atlas Antibodies, affinity isolated antibody

Anti-PSMC5 antibody produced in rabbit

Anti-PSMC5 antibody produced in rabbit Prestige Antibodies® Powered by Atlas Antibodies, affinity isolated antibody
别名:
Anti-26S Protease regulatory subunit 8, Anti-Proteasome 26S subunit ATPase 5, Anti-Proteasome subunit p45, Anti-TRIP1, Anti-Thyroid hormone receptor- interacting protein 1, Anti-p45/SUG

Products

产品分类
品牌
生物来源
克隆
特色
基因别名
物质形态
产品线
抗体形式
研究领域
共轭
质量水平
翻译后修饰
物种反应
技术