
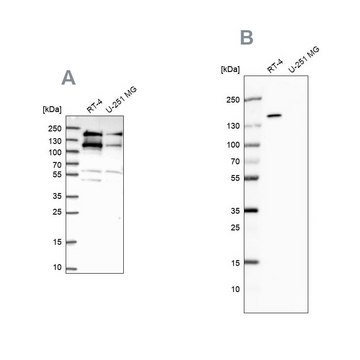
Anti-TOP2B antibody produced in rabbit

别名:
Anti-DNA topoisomerase 2-beta, Anti-DNA topoisomerase II, beta isozyme, β isozyme, DNA topoisomerase 2-β, DNA topoisomerase II, TOP2B
Products
产品分类
品牌
生物来源
克隆
特色
基因别名
物质形态
产品线
抗体形式
研究领域
共轭
质量水平
翻译后修饰
物种反应
技术
Showing 1-3 of 3
比较
产品编号
说明
价格