Stem Cell Markers and Antibodies
- Embryonic Stem Cells
- Adult Stem Cells
- Cell Surface Pluripotency Markers
- Transcription Factor Markers
- Induced PSCs Markers
- Germ Cell Markers (During Specification)
- Ectoderm and Endoderm Markers
Embryonic Stem Cells
Embryonic stem cells are found early in the development in the inner mass of blastocyst and possess properties of both self-renewal and potency. The embryonic stem cells are pluripotent cells, meaning they can give rise to several different cell types. Pluripotent embryonic stem cells are identified by expression of several pluripotency markers, including OCT4, SOX2 and NANOG. These transcription factors suppress the genes that lead to differentiation and thus maintain the pluripotency of the cells.

Figure 1A.

Figure 1B.

Figure 1C.
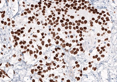
Figure 1 (A,B,C). NANOG protein normally is expressed during early embryonal development, and is absent in normal adult tissues. Overexpression of NANOG is observed in testicular embryonal carcinoma (A), shown by IHC staining (B) using monoclonal Anti-NANOG (AMAb91393). Anti-NANOG antibody AMAb91393 also shows nuclear positivity in NTERA-2 cells and band of expected size in the WB assay (C). NTERA-2 cells are pluripotent human embryonal carcinoma cell line, exhibiting biochemical and developmental properties similar to the cells of the early embryo.
During embryogenesis, the embryonic stem cells differentiate and give rise to the three germ layers, including ectoderm, endoderm and mesoderm, from which all the tissues and organs are ultimately formed. For instance, the dorsal part of ectoderm will specialize into neuroectoderm, which later will undergo neurulation, followed by encephalization and will finally develop into the central nervous system. The neural stem cells are multipotent cells that generate various types of neural cells in the process of neurogenesis, including neurons, astrocytes and oligodendrocytes.

Figure 2A.

Figure 2B.
Figure 2 (A,B). SOX2 is persistently expressed during embryonal development, first in the epiblast of preimplantation embryos, then more predominantly in the central nervous system after gastrulation. Immunohistochemical staining using monoclonal Anti-SOX2 (AMAb91307) shows nuclear positivity in the developing eye (A) and neural tube (B) of mouse embryo.
Adult Stem Cells
Adult (or somatic) stem cells are found in various tissues of the organism after birth. Adult stem cells are lineage-restricted (multipotent) and produce only the cells representing the tissue of origin. Together with progenitor cells, they contribute to normal turnover of cells in adult tissues or may act as a repair system.

Figure 3A.

Figure 3B.

Figure 3C.
Figure 3 (A,B,C). PAX6 is an essential transcription factor for overall eye development. Immunohistochemical staining using monoclonal Anti-PAX6 (AMAb91372) shows positivity in the developing eye of a mouse embryo (A) and adult rat retina (B). ICC-IF staining in HEK-293 cells shows nuclear immunoreactivity (C).
Cell Surface Pluripotency Markers
Transcription Factors Markers
Induced PSCs Markers
Germ Cell Markers (During Specification)
Ectoderm and Endoderm Markers
For Research Use Only. Not for use in diagnostic procedures.
Unless otherwise stated in the Product(s) specifications, any Antibody product is sold for internal research use only and may not be used for any other purpose, which includes but is not limited to, any commercial, diagnostic, or therapeutic use. Our validation processes pertain only to research uses and do not confirm or assure that our antibodies can be used for any unauthorized uses as set forth herein.
如要继续阅读,请登录或创建帐户。
暂无帐户?