Roche PCR Reagents and PCR Protocols
- Roche PCR Reagents Selection Guide for Routine and Hot Start PCR
- Roche PCR Reagents Selection Guide for High Fidelity, Difficult Templates, and Long PCR Amplification
- Taq DNA Polymerase and Standard PCR Protocol
- FastStart™ Taq DNA Polymerase and Master Mix
- FastStart™ High Fidelity PCR System
- Expand™ High Fidelity PCR System and Expand™ High FidelityPLUS PCR System
- Pwo SuperYield DNA Polymerase
- GC-RICH PCR System for Difficult Template PCR
- Expand™ Long Range, dNTPack
- Products for PCR Optimization
Cutting-edge science shouldn’t have to compromise for the sake of economy. Since the introduction of PCR technology, Roche has provided the gold standard in PCR reagents. Our advanced isolation, purification, and manufacturing techniques ensure that you receive not only the clearest, most reliable results, but also convenience and affordability to fit any laboratory budget.
- Reliability – Achieve the results you deserve, from lot to lot, tube to tube, and experiment to experiment.
- Performance – Combine premium enzymes plus PCR-Grade Nucleotides in convenient dNTPacks for enhanced sensitivity and yield.
- Consistency – Maximize experimental performance using master mixes that only require the addition of primers and template.
PCR-Grade Nucleotides ensure optimal performance.
PCR success is highly dependent on your selection of both enzymes and nucleotides. Roche PCR enzymes are available in convenient dNTPacks, which include premixed solutions of additive-free sodium salt nucleotides. These function tested PCR-Grade Nucleotides are manufactured by enzymatic synthesis and purified by a unique process and are an ideal contributor to the quality of your PCR results.
- Purity – Choose nucleotides free of modified bases, tetraphosphates, or pyrophosphate contaminants according to current quality procedures typical to chemically synthesized nucleotide preparations to improve your PCR’s sensitivity.
- Stability – Lengthen shelf life and improve reaction stability using dNTPs supplied at an optimal pH to maximize yield.
Taq DNA Polymerase and Standard PCR Protocol
Affordable PCR characterized by robust amplification with minimal template requirements.
Roche Taq DNA Polymerase is produced under GMP conditions. This highly purified enzyme passes several stringent tests for functionality and purity, ensuring reliable, consistent results with every lot. For additional information, please view our standard PCR protocol.
- Obtain reliable, reproducible results with high lot-to-lot consistency
- Eliminate testing of each new lot – we do it for you
- Combine dUTP incorporation with Uracil-DNA Glycosylase to prevent PCR cross-contamination

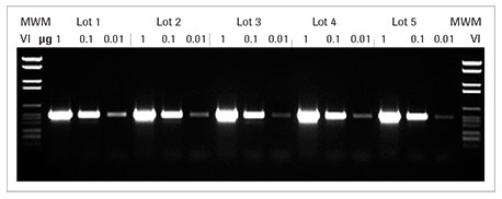
Figure 1. Lot-to-lot consistency ensures reproducible results. Five different lots of Taq DNA Polymerase were tested for the ability to amplify a 0.5 kb fragment of lambda DNA. Reliable, consistent results are obtained with every lot of Roche Taq DNA Polymerase that was tested.
The Taq DNA Polymerase, GMP Grade belongs to the family of high-performance, validated amplification enzymes and is manufactured using evaluated production, quality control, and filling procedures.
FastStart™ Taq DNA Polymerase and Master Mix
Choose the polymerase researchers trust, as with qPCR and the LightCycler® Systems.
FastStart™ Taq DNA Polymerase is a thermostable, chemically modified form of recombinant Taq DNA polymerase. Due to its modification, FastStart™ Taq DNA polymerase is only activated at high temperatures, making it the ideal enzyme when your assay’s amplification is delayed.
- Obtain higher specificity, sensitivity, and yield. Hot start PCR improves PCR performance, making PCR setup even easier.
- Use a convenient robotic setup. The complete reaction mix is stable for 24 hours at room temperature.
- Prevent PCR carryover. Combine dUTP incorporation with Uracil-DNA Glycosylase to prevent PCR cross-contamination.

Figure 4. Amplification of the human erythropoietin gene from 3-300 ng cDNA after immediate (E0) and 24 hours after reaction setup at room temperature (E24).
FastStart™ High Fidelity PCR System
Multiplexing and sequencing stringent hot start and improved fidelity is key in complex endpoint PCR applications, such as multiplexing or sequencing. Choose FastStart™ High Fidelity PCR System for complex hot start PCR up to 5 kb with higher fidelity, as required for multiplexing and sequencing. It is up to six times more accurate compared to both standard Taq DNA polymerase and FastStart™ Taq DNA Polymerase.
- Achieve excellent multiplex performance with fast, high-quality results
- Experience six-fold higher fidelity compared to Taq and FastStart™ Taq DNA Polymerase
- Use the supplied PCR additive (DMSO) when amplifying difficult templates

Figure 5. Sensitivity test in 18-plex (74 bp – 470 bp) PCR. Set of 18 multiplexed primers was applied to various concentrations of human genomic DNA.
Expand™ High Fidelity PCR System and Expand™ High FidelityPLUS PCR System
Expand™ High Fidelity PCR reagents are designed for robust amplification across a broad range of assays and amplicon types, consisting of an enzyme blend of Taq DNA Polymerase and a polymerase with proofreading activity for robust PCR. Choose the Expand™ High FidelityPLUS PCR System for robust PCR up to 5 kb with PCR carryover prevention.
- Use one enzyme for all applications. The Expand™ High Fidelity PCR System robustly amplifies a wide variety of templates ensuring high yield, fidelity, and flexibility.
- Detect amplification products that were previously undetectable and avoid false negatives.
- Achieve successful PCR results from small quantities of template DNA.
The Expand™ High FidelityPLUS PCR System is ideal for robust high-fidelity applications, such as cloning and labeling of DNA fragments with radioactively or nonradioactively modified nucleotides. In addition, combine dUTP incorporation with uracil-DNA glycosylase to prevent PCR cross-contamination.

Figure 6. Comparison of Expand™ High FidelityPlus PCR System with four commercially available polymerase mixes. Various amounts (ng) of human genomic DNA were used to amplify a 4.8 kb fragment from the tissue plasminogen activator (tPA) gene, in accordance with each manufacturer's recommended conditions. Expand High FidelityPLUS PCR System produces the best specificity, sensitivity, and yield, even from as little as 1 ng human genomic DNA.
Supplier A: Mixture of Taq DNA polymerase (deleted at N-terminus), a proofreading polymerase, and a hot start antibody.
Supplier B and D: Mixture of Taq DNA polymerase and a proofreading polymerase.
Supplier C: Mixture of Taq DNA polymerase, a proofreading polymerase, and an enhancing factor.
Pwo SuperYield DNA Polymerase
High fidelity PCR is required in applications where sequence accuracy is crucial without sacrificing yield. Use Pwo SuperYield DNA Polymerase to obtain high yields of PCR product with consistent high fidelity. Choose maximum fidelity and avoid sequence errors, base exchanges, and frame shifts when combined with a proofreading reverse transcriptase, such as in the Transcriptor High Fidelity cDNA Synthesis Kit. The combination is ideal for applications such as cloning, site-directed mutagenesis, and gene expression analysis.
- Achieve excellent fidelity and high yields. 18-fold higher fidelity compared to Taq DNA Polymerase, without optimization.
- Obtain high performance with difficult templates. The GC-RICH Solution enables amplification of GC-rich DNA.
- Reduce working steps in cloning. Perform enzyme digests directly in Pwo SuperYield PCR mix.

Figure 7. Improved accuracy in RT-PCR. Combination of the proofreading reverse transcriptase, Transcriptor High Fidelity Reverse Transcriptase (Roche), and a proofreading polymerase, Pwo SuperYield DNA Polymerase (Roche) for amplification. Data compared to a commonly used M-MuLV reverse transcriptase and Taq DNA polymerase. Error rate was determined after reverse transcription and 25 PCR cycles using the 454 Sequencing System. The error rates for the Roche enzymes was the mean value of four independent experiments in which at least 3.1 × 106 bases were sequenced. For M-MuLV reverse transcriptase and Taq DNA Polymerase, 4.5 × 106 bases were sequenced. The accuracy is represented as error rate -1.
GC-RICH PCR System for Difficult Template PCR
Choose the GC-RICH PCR System, a blend of a proofreading polymerase and Taq DNA Polymerase to power through templates that are difficult or impossible to amplify with other polymerases or other blends of polymerases and additives. The enhanced processivity of the blend and the unique GC-RICH Resolution Solution are combined to deliver superior performance.
- Amplify difficult templates, including GC-rich targets and repetitive sequences
- Use the supplied PCR Grade Water and optimized reagents, including the GC-RICH Resolution Solution
- Amplify DNA fragments up to 5 kb

Figure 8. Successfully amplify GC-rich templates with the GC-RICH PCR System. Amplification of a 264 bp template (74% GC content) within the human ApoE gene using the GC-RICH PCR System or the Expand High Fidelity PCR System.
Result: The GC-RICH PCR System amplifies the GC-rich fragment with high specificity and yield using GC-RICH Resolution Solution.
Expand™ Long Range, dNTPack
Rely on this next-generation system from Roche, the company that pioneered long-template PCR. Choose Expand™ Long Range dNTPack for consistent amplification of PCR products of 5 to 25 kb from genomic DNA. When amplifying fragments longer than 20 kb, use Expand™ 20 kbPLUS PCR System. This unique system features an optimized buffer and enzyme blend mixture.
- Consistently amplify long templates up to 25 kb with high specificity, yield, and increased fidelity.
- Save time and resources with a convenient and flexible kit. Use one buffer for all fragment sizes and use the supplied DMSO and MgCl2 solution to fine-tune your reaction.
- Use for all long-template applications, obtaining high yields of only the desired fragment.
- Order the cost-effective dNTPack which also includes premixed PCR-Grade nucleotides.

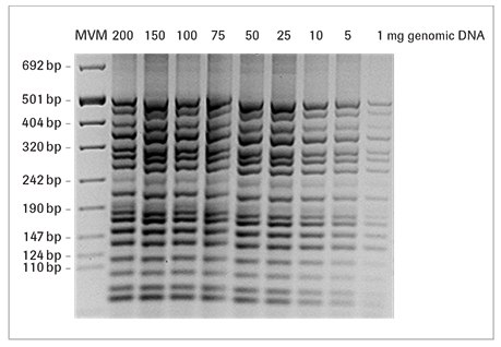
Figure 9. Amplification of various genomic templates using Expand™ Long Range, dNTPack
如要继续阅读,请登录或创建帐户。
暂无帐户?