Skip to Content
Merck
CN

MABS1350

Anti-Lipoprotein Lipase Antibody, clone 5D2

clone 5D2, from mouse

Synonym(s):

Lipoprotein lipase, LPL

Sign In to View Organizational & Contract Pricing.

Select a Size

Change View

About This Item

UNSPSC Code:
12352203
NACRES:
NA.41
eCl@ss:
32160702
Conjugate:
unconjugated
Clone:
5D2, monoclonal
Application:
DB, ELISA, FACS, ICC, IHC, IP, WB
Citations:
-
Technical Service
Need help? Our team of experienced scientists is here for you.
Let Us Assist


biological source

mouse

Quality Level

conjugate

unconjugated

antibody form

purified antibody

antibody product type

primary antibodies

clone

5D2, monoclonal

species reactivity

rat, baboon, chicken, mink, feline, bovine, sheep, human, porcine, guinea pig

should not react with

mouse

technique(s)

ELISA: suitable, dot blot: suitable, flow cytometry: suitable, immunocytochemistry: suitable, immunohistochemistry: suitable (paraffin), immunoprecipitation (IP): suitable, western blot: suitable

isotype

IgG1κ

NCBI accession no.

UniProt accession no.

shipped in

ambient

target post-translational modification

unmodified

Gene Information

human ... LPL(4023)
mouse ... Lpl(280843)

General description

50.55/53.38 kDa (bovine mature/proLPL) and 50.39/53.16 kDa (human mature/proLPL) calculated. ~56 kDa observed (Chang, S.F., et al. (1998). J. Lipid Res. 39(12):2350-2359; Peterson, J., et al. (1992). J. Lipid Res. 33(8):1165-1170).
Lipoprotein lipase (EC 3.1.1.34; UniProt P06858; also known as LPL) is encoded by the LPL gene (Gene ID 280843) in bovine species. Lipoprotein lipase (LPL) catalyzes the hydrolysis of triglycerides in plasma lipoproteins. LPL is produced by adipocytes and myocytes and secreted into the interstitial spaces, where it is bound by GPIHBP1 (a glycosylphosphatidylinositol-anchored protein of capillary endothelial cells) and shuttled to the luminal face of capillaries. The GPIHBP1 LPL complex is crucial for the binding of triglyceride-rich lipoproteins (TRLs) to endothelial cells and the subsequent lipolytic processing of TRLs. TRLs bind only the LPL-GPIHBP1 complex, but not GPIHBP1 alone, on the cell surface. A deficiency of either protein results in severe hypertriglyceridemia (chylomicronemia) and impaired delivery of lipid nutrients to parenchymal cells. Enzymatically active LPL appears to be a non-covalently linked homodimer with a head-to-tail subunit orientation that rapidly dissociates into inactive monomers. However, evidence for enzymatically active monomeric human LPL has also been presented. LPL is produced with a signal peptide sequence (a.a. 1-27), the removal of which yields the mature 448-amino acid (a.a. 28-475) enzyme containing a PLAT (Polycystin-1, Lipoxygenase, Alpha-Toxin) domain (a.a. 341-464) and a heparin-binding domain (a.a. 346-441).

Immunogen

Purified bovine milk LPL.

Application

Detect Lipoprotein lipase using this mouse monoclonal Anti-Lipoprotein Lipase, clone 5D2 Antibody, Cat. No. MABS1350, validated for use in Dot Blot, ELISA, Flow Cytometry, Immunocytochemistry, Immunohistochemistry (Paraffin), Immunoprecipitation, Inhibition assay, and Western Blotting.
Research Category
Signaling

Biochem/physiol Actions

Clone 5D2 specifically reacts with LPL, but not the highly homologous hepatic lipase (HL) (Peterson, J., et al. (1992). J. Lipid Res. 33(8):1165-1170).

Physical form

Format: Purified
Protein G purified.
Purified mouse IgG1κ in buffer containing 0.1 M Tris-Glycine (pH 7.4), 150 mM NaCl with 0.05% sodium azide.

Preparation Note

Stable for 1 year at 2-8°C from date of receipt.

Analysis Note

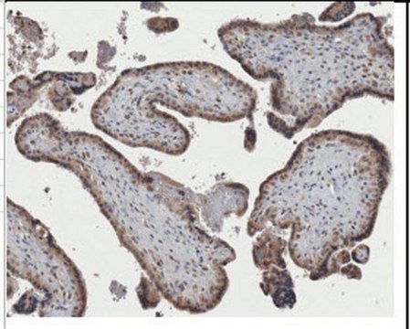
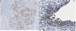
Evaluated by Immunohistochemistry in human placenta tissue.

Immunohistochemistry Analysis: A 1:50 dilution of this antibody detected lipoprotein lipase/LPL in human placenta tissue sections.

Other Notes

Concentration: Please refer to lot specific datasheet.

Disclaimer

Unless otherwise stated in our catalog or other company documentation accompanying the product(s), our products are intended for research use only and are not to be used for any other purpose, which includes but is not limited to, unauthorized commercial uses, in vitro diagnostic uses, ex vivo or in vivo therapeutic uses or any type of consumption or application to humans or animals.


Still not finding the right product?

Try our Product Selector Tool to narrow your options


Storage Class

12 - Non Combustible Liquids

wgk

WGK 1

flash_point_f

Not applicable

flash_point_c

Not applicable

Regulatory Information

新产品

This item has



Certificates of Analysis (COA)

Search for Certificates of Analysis (COA) by entering the products Lot/Batch Number. Lot and Batch Numbers can be found on a product’s label following the words ‘Lot’ or ‘Batch’.

Already Own This Product?

Find documentation for the products that you have recently purchased in the Document Library.

Visit the Document Library



Global Trade Item Number

SKUGTIN
MABS135004054839055546