Skip to Content
Merck
CN

SCC034

Human Mesenchymal Stem Cells (Bone Marrow)

Human mesenchymal stem cells derived from bone marrow that have a capacity for expansion in vitro while maintaining their potential for differentiation to multiple lineages including adipocytes, osteoblasts and chondrocytes.

Synonym(s):

Human Bone Marrow MSCs, Human Bone Marrow Multipotent Stem Cells, Human MSCs

Sign In to View Organizational & Contract Pricing.

Select a Size

Change View

About This Item

UNSPSC Code:
41106509
NACRES:
NA.75
eCl@ss:
32011203
Biological source:
human
Technical Service
Need help? Our team of experienced scientists is here for you.
Let Us Assist


biological source

human

Quality Level

technique(s)

cell culture | mammalian: suitable, cell culture | stem cell: suitable, cell differentiation: suitable

input

sample type mesenchymal stem cell(s)

shipped in

liquid nitrogen

storage temp.

-140 to -196°C

General description

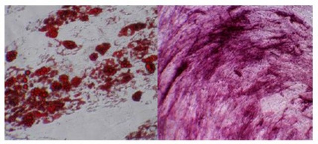
Mesenchymal stem cells, also known as marrow stromal cells, are defined as a self-renewing population of adherent, bone-marrow-derived multipotent progenitor cells with the capacity to differentiate into several mesenchymal cell lineages. In defined cultures in vitro, mesenchymal stem cells have been shown to readily differentiate into lineage-specific cells that form bone, cartilage, fat, tendon, and muscle tissues.

EMD Millipore’s Human Mesenchymal Stem Cells (Bone Marrow) are isolated from normal human bone marrow and are cryopreserved at P2 to ensure optimal phenotype and the highest viability and plating efficiency. These cells proliferate as an adherent cell monolayer and have shown a strong capacity for expansion in vitro while maintaining their potential for differentiation to multiple lineages including adipocytes, osteoblasts and chondrocytes..

Application

Research Category
Stem Cell Research

Biochem/physiol Actions

Mesenchymal Stem Cells

Preparation Note

Human Mesenchymal Stem Cells (Bone Marrow) should be stored in liquid nitrogen. The cells are guaranteed for at least 3 population doublings without significantly affecting cell surface marker expression and differentiation potential.

Analysis Note

- Each vial contains at least 1X10⁶ viable cells at P2.
- Cell viability is greater than 75% at thaw and cells can be cultured for at least 3 population doublings after the initial thaw.
- Bone marrow donors tested negative for HIV, hepatitis B and hepatitis C.
- Apparently normal karyotype per cytogenetic analysis.
- Cells tested negative for mycoplasma contamination.

Other Notes

Subject to local law, this product is intended to be sold for internal in vitro research use only subject to terms and conditions found here: www.sigmaaldrich.com/restrictedcelluse. This product may not be: re-engineered or copied; used to make derivatives, modifications or functional equivalents; used to obtain patents or other IP claiming use of the product; used to develop, test, or manufacturer a commercial product; used as a component in a commercial product; resold or licensed; used in any clinical applications or trials; or used in humans. A license or limited commercial use agreement is required for use by any for-profit entity, use in services, and use in sponsored academic research. For information regarding any such use, please contact licensing@milliporesigma.com.
1X106 viable Human Bone Marrow Mesenchymal Stem Cells

Disclaimer

RESEARCH USE ONLY. This product is regulated in France when intended to be used for scientific purposes, including for import and export activities (Article L 1211-1 paragraph 2 of the Public Health Code). The purchaser (i.e. enduser) is required to obtain an import authorization from the France Ministry of Research referred in the Article L1245-5-1 II. of Public Health Code. By ordering this product, you are confirming that you have obtained the proper import authorization.
Unless otherwise stated in our catalog or other company documentation accompanying the product(s), our products are intended for research use only and are not to be used for any other purpose, which includes but is not limited to, unauthorized commercial uses, in vitro diagnostic uses, ex vivo or in vivo therapeutic uses or any type of consumption or application to humans or animals.


Storage Class

10 - Combustible liquids

wgk

WGK 3

flash_point_f

Not applicable

flash_point_c

Not applicable

Regulatory Information

高风险级别生物产品-Merck

This item has



Certificates of Analysis (COA)

Search for Certificates of Analysis (COA) by entering the products Lot/Batch Number. Lot and Batch Numbers can be found on a product’s label following the words ‘Lot’ or ‘Batch’.

Already Own This Product?

Find documentation for the products that you have recently purchased in the Document Library.

Visit the Document Library


Protocols

有关间充质的信息,特别是间充质干细胞培养实验方案用于间充质干细胞(MSC)分离、扩增和分化的分步细胞培养方案。

Information about mesenchyme, specifically mesenchymal stem cell procotols. Step-by-step cell culture protocols for mesenchymal stem cell (MSC) isolation, expansion and differentiation.

Articles

新型无血清、无异种人间充质干细胞(MSC)骨细胞分化培养基的开发。

Development of a novel serum-free and xeno-free human mesenchymal stem cell (MSC) osteocyte differentiation media.

Highly characterized human mesenchymal stem cell lines from bone-marrow, adipose and umbilical cord along with serum-free MSC expansion and differentiation media.

View All Articles

Related Content

We have collaborated with Plasticell Ltd. to develop OsteoMAX-XF™, a novel, serum-free, xeno-free, differentiation medium for the generation of osteoblasts from human MSCs. This medium may be particularly suitable for drug discovery and clinical development. By screening roughly 3,500 combinations of serum and xeno-free media, we discovered a remarkably efficient, fully defined, reproducible medium to promote the differentiation of hMSCs into osteoblasts, offering an excellent, cost effective method to produce large amounts of human bone cells for multiple applications.


Adam R Wolfe et al.
Oncotarget, 7(50), 82482-82492 (2016-10-21)
Inflammatory breast cancer (IBC) is a unique and deadly disease with unknown drivers. We hypothesized the inflammatory environment contributes to the IBC phenotype. We used an in vitro co-culture system to investigate interactions between normal and polarized macrophages (RAW 264.7
Edo Dzafic et al.
BioMed research international, 2014, 508216-508216 (2014-04-12)
After removal of oocytes for in vitro fertilization, follicular aspirates which are rich in somatic follicular cells are discarded in daily medical practice. However, there is some evidence that less differentiated cells with stem cell characteristics are present among aspirated
Yong Hou et al.
Small (Weinheim an der Bergstrasse, Germany), 16(10), e1905422-e1905422 (2020-02-18)
The topographic features of an implant, which mechanically regulate cell behaviors and functions, are critical for the clinical success in tissue regeneration. How cells sense and respond to the topographical cues, e.g., interfacial roughness, is yet to be fully understood



Global Trade Item Number

SKUGTIN
SCC03404053252609992