Select a Size
About This Item
biological source
rabbit
Quality Level
conjugate
unconjugated
antibody form
affinity isolated antibody
antibody product type
primary antibodies
clone
polyclonal
product line
Prestige Antibodies® Powered by Atlas Antibodies
form
buffered aqueous glycerol solution
species reactivity
human
technique(s)
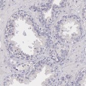
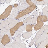
immunohistochemistry: 1:2500-1:5000
immunogen sequence
QVEEDKVNSLSKSKVKLEQQVDDLEGSLEQEKKVRMDLERAKRKLEGDLKLTQESIMDLENDKLQLEEKLKKKEFDINQQNSKIEDEQVLALQLQKKLKENQARIEELEEELEAERTARAKVEKLRSDLSRELEEISERLEEA
UniProt accession no.
shipped in
wet ice
storage temp.
−20°C
target post-translational modification
unmodified
Gene Information
human ... MYH6(4624), MYH7(4625)
Immunogen
Application
Biochem/physiol Actions
Features and Benefits
Every Prestige Antibody is tested in the following ways:
- IHC tissue array of 44 normal human tissues and 20 of the most common cancer type tissues.
- Protein array of 364 human recombinant protein fragments.
Physical form
Other Notes
Legal Information
Disclaimer
Still not finding the right product?
Try our Product Selector Tool to narrow your options
Storage Class
10 - Combustible liquids
wgk
WGK 1
flash_point_f
Not applicable
flash_point_c
Not applicable
ppe
Eyeshields, Gloves, multi-purpose combination respirator cartridge (US)
Regulatory Information
This item has
Choose from one of the most recent versions:
Already Own This Product?
Find documentation for the products that you have recently purchased in the Document Library.
Protocols
Subcellular protein location often correlates with function; nucleus proteins implicated in gene regulation, mitochondria proteins in energy production.
Related Content
Prestige Antibodies Immunofluorescence Procedure
Global Trade Item Number
| SKU | GTIN |
|---|---|
| HPA001349-100UL | 04061837132674 |
| HPA001349-25UL | 04061841603245 |