Skip to Content
Merck
CN

T5826

Anti-TSG101 (N-terminal) antibody produced in rabbit

~1 mg/mL, affinity isolated antibody, buffered aqueous solution

Synonym(s):

Anti-Tumor Susceptibility Gene 101

Sign In to View Organizational & Contract Pricing.

Select a Size

Change View

About This Item

UNSPSC Code:
12352203
NACRES:
NA.41
MDL number:
Conjugate:
unconjugated
Clone:
polyclonal
Application:
ARR, WB
Citations:
5
Technical Service
Need help? Our team of experienced scientists is here for you.
Let Us Assist


biological source

rabbit

Quality Level

conjugate

unconjugated

antibody form

affinity isolated antibody

antibody product type

primary antibodies

clone

polyclonal

form

buffered aqueous solution

mol wt

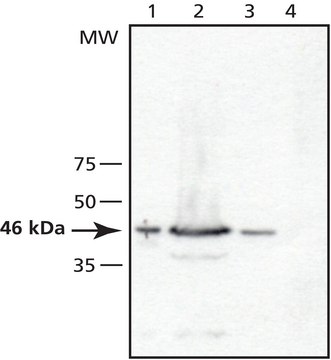
antigen 46 kDa

species reactivity

mouse, human, rat

concentration

~1 mg/mL

technique(s)

microarray: suitable, western blot: 1-2 μg/mL using cell lysates of rat fibroblast Rat-1, mouse fibroblast NIH3T3, and human A431 cells, and rat brain extract (S1 cytosolic fraction)

UniProt accession no.

shipped in

dry ice

storage temp.

−20°C

target post-translational modification

unmodified

Gene Information

human ... TSG101(7251)
mouse ... Tsg101(22088)
rat ... Tsg101(292925)

General description

Tumor susceptibility gene 101 protein (TSG101) is mapped to human chromosome 11p15.1. TSG101 has ubiquitin E2 variant domain.

Immunogen

synthetic peptide corresponding amino acids 2-20 located at the N-terminus of human TSG101, conjugated to KLH. This sequence is identical in rat and mouse TSG101.

Biochem/physiol Actions

Tumor susceptibility gene 101 protein (TSG101) is a component of endosomal sorting complex required for transport (ESCRT) machinery. TSG101 interacts with arrestin domain-containing protein 1 and mediates its budding through plasma membrane. It binds to ubiquitinylated proteins and conveys them for degradation by lysosomes. TSG101 is also essential for the budding human immunodeficiency virus (HIV) infected cells. TSG101 deficiency is associated with genome instability and is considered as a risk factor for tumor initiation.

Physical form

Solution in 0.01 M phosphate buffered saline, pH 7.4, containing 15 mM sodium azide.

Disclaimer

Unless otherwise stated in our catalog or other company documentation accompanying the product(s), our products are intended for research use only and are not to be used for any other purpose, which includes but is not limited to, unauthorized commercial uses, in vitro diagnostic uses, ex vivo or in vivo therapeutic uses or any type of consumption or application to humans or animals.


Still not finding the right product?

or

Try our Product Selector Tool to narrow your options


Storage Class

10 - Combustible liquids

wgk

WGK 3

flash_point_f

Not applicable

flash_point_c

Not applicable

ppe

Eyeshields, Gloves, multi-purpose combination respirator cartridge (US)

Regulatory Information

常规特殊物品
低风险生物材料

This item has



Choose from one of the most recent versions:

Certificates of Analysis (COA)

Lot/Batch Number

Don't see the Right Version?

If you require a particular version, you can look up a specific certificate by the Lot or Batch number.

Already Own This Product?

Find documentation for the products that you have recently purchased in the Document Library.

Visit the Document Library



Ubiquitin recognition by the human TSG101 protein
Sundquist WI, et al.
Molecular Cell, 13(6), 783-789 (2004)
Cancer Genetics and Psychotherapy (2017)
Tsg101 and the vacuolar protein sorting pathway are essential for HIV-1 budding
Garrus JE, et al.
Cell, 107(1), 55-65 (2001)



Global Trade Item Number

SKUGTIN
T5826-200UL04061837868658