Skip to Content
Merck
CN

ZRB04901

Anti-NMDAR2A Antibody, clone A12W, ZooMAb® Rabbit Monoclonal

greener alternative

recombinant, expressed in HEK 293 cells

Synonym(s):

GluN2A, Glutamate [NMDA] receptor subunit epsilon-1, Glutamate receptor ionotropic NMDA 2A, N-methyl D-aspartate receptor subtype 2A, NR2A, hNR2A

Sign In to View Organizational & Contract Pricing.

Select a Size

Change View

About This Item

NACRES:
NA.43
UNSPSC Code:
12352203
Conjugate:
unconjugated
Clone:
A12W, recombinant monoclonal, monoclonal
Application:
ICC, IHC (p), WB
Citations:
-
Technical Service
Need help? Our team of experienced scientists is here for you.
Let Us Assist


biological source

rabbit (recombinant)

Quality Level

recombinant

expressed in HEK 293 cells

conjugate

unconjugated

antibody form

purified antibody

antibody product type

primary antibodies

clone

A12W, recombinant monoclonal, monoclonal

product line

ZooMAb® learn more

form

lyophilized

mol wt

calculated mol wt 165.28 kDa, observed mol wt ~170 kDa

species reactivity

mouse, human, rat

packaging

antibody small pack of 25 μL

greener alternative product characteristics

Waste Prevention
Designing Safer Chemicals
Design for Energy Efficiency
Learn more about the Principles of Green Chemistry.

enhanced validation

recombinant expression
Learn more about Antibody Enhanced Validation

sustainability

Greener Alternative Product

technique(s)

immunocytochemistry: suitable using 1:100, immunohistochemistry (formalin-fixed, paraffin-embedded sections): 1:100-1:200, western blot: 1:1,000-1:2,000

isotype

IgG

UniProt accession no.

greener alternative category

shipped in

ambient

storage temp.

2-8°C

target post-translational modification

unmodified

Gene Information

General description

Glutamate receptor ionotropic, NMDA 2A (UniProt: Q12879; also known as GluN2A, Glutamate [NMDA] receptor subunit epsilon-1, N-methyl D-aspartate receptor subtype 2A, NMDAR2A, NR2A, hNR2A) is encoded by the GRIN2A (also known as NMDAR2A) gene (Gene ID: 2903) in human. NMDA receptor complexes are ligand-gated ion channels with high calcium permeability and voltage-dependent sensitivity to magnesium. They are involved in long-term potentiation and neuronal plasticity and regulate the number of nerve cells during development. However, over-stimulation NMDA receptors can lead to neuronal degeneration. NMDAR2A is a multi-pass membrane protein that is synthesized with a signal peptide (aa 1-22), which is subsequently cleaved off. NMDAR2A exists as a heterotetramer and the heterotetrameric channels are composed of two zeta subunits (GRIN1), and two epsilon subunits (GRIN2A, GRIN2B, GRIN2C or GRIN2D) (in vitro). It can also form heterotetrameric channels that contain at least one zeta subunit (GRIN1), at least one epsilon subunit, plus GRIN3A or GRIN3B. In vivo, the subunit composition may depend on the expression levels of the different subunits. These heterotetrameric, ligand-gated ion channels display with high calcium permeability and voltage-dependent sensitivity to magnesium. Channel activation requires binding of the neurotransmitter glutamate to the epsilon subunit, glycine binding to the zeta subunit, plus membrane depolarization to eliminate channel inhibition by magnesium ions. It has been shown that channels containing GRIN1 and GRIN2A have higher sensitivity to glutamate and faster kinetics than channels formed by GRIN1 and GRIN2B. Mutations in GRIN2A gene are known to cause epilepsy, speech disorders, and mental retardation. This ZooMAb recombinant monoclonal antibody, generated by our propriety technology, offers significantly enhanced specificity, affinity, reproducibility, and stability over conventional monoclonals.
We are committed to bringing you greener alternative products, which adhere to one or more of The 12 Principles of Green Chemistry.This antibody is Preservative-free, produced without the harm or sacrifice of animals and exceptionally stable to allow for ambient shipping and storage if needed and thus aligns with "Waste Prevention", "Designing Safer Chemicals" and "Design for Energy Efficiency". Click here for more information.
ZooMAb antibodies represent an entirely new generation of recombinant monoclonal antibodies.

Each ZooMAb antibody is manufactured using our proprietary recombinant expression system, purified to homogeneity, and precisely dispensed to produce robust and highly reproducible lot-to-lot consistency. Only top-performing clones are released for use by researchers. Each antibody is validated for high specificity and affinity across multiple applications, including its most commonly used application. ZooMAb antibodies are reliably available and ready to ship when you need them.

Learn more about ZooMAb here.

Immunogen

His-tagged recombinant fragment corresponding to 200 amino acids from the C-terminal region.

Application

Anti-NMDAR2A, clone A12W ZooMAb, Cat. No. ZRB04901, is a recombinant Rabbit Monoclonal Antibody that targets NMDA2A receptor and has been tested for use in Immunocytochemistry, Immunohistochemistry (Paraffin), and Western Blotting.
Western Blotting Analysis: A 1:2,000 dilution from a representative lot detected NMDAR2A in mouse brain tissue lysate.

Immunocytochemistry Analysis: A 1:100 dilution from a representative lot detected NMDAR2A in SH-SY5Y cells.

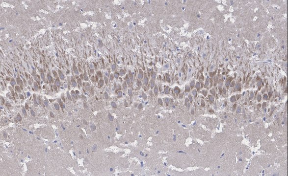
Immunohistochemistry (Paraffin) Analysis: A 1:200 dilution from a representative lot detected NMDAR2A in rat brain tissue sections.

Biochem/physiol Actions

Clone A12W is a ZooMAb rabbit recombinant monoclonal antibody that specifically detects NMDAR2A.

Physical form

Purified recombinant rabbit monoclonal antibody IgG, lyophilized in PBS with 5% Trehalose, normal appearance a coarse or translucent resin. Contains no biocide or preservatives, such as azide, or any animal by-products. Larger pack sizes provided as multiples of 25 μL.

Preparation Note

Recommend storage of lyophilized product at 2-8°C; Before reconstitution, micro-centrifuge vials briefly to spin down material to bottom of the vial; Reconstitute each vial by adding 25 μL of filtered lab grade water or PBS; Reconstituted antibodies can be stored at 2-8°C, or -20°C for long term storage. Avoid repeated freeze-thaws.
Reconstitute lyophilized antibody pellet with 25μL of ultrapure water or Phosphate Buffered Saline (PBS). Please refer to our reconstitution protocol and the specific application guidance on the suggested starting dilutions and sample type.

Legal Information

ZooMAb is a registered trademark of Merck KGaA, Darmstadt, Germany

Disclaimer

Unless otherwise stated in our catalog or other company documentation accompanying the product(s), our products are intended for research use only and are not to be used for any other purpose, which includes but is not limited to, unauthorized commercial uses, in vitro diagnostic uses, ex vivo or in vivo therapeutic uses or any type of consumption or application to humans or animals.


Still not finding the right product?

Try our Product Selector Tool to narrow your options


Storage Class

11 - Combustible Solids

wgk

WGK 2

Regulatory Information

常规特殊物品
常规特殊物品

This item has



Choose from one of the most recent versions:

Certificates of Analysis (COA)

Lot/Batch Number

Don't see the Right Version?

If you require a particular version, you can look up a specific certificate by the Lot or Batch number.

Already Own This Product?

Find documentation for the products that you have recently purchased in the Document Library.

Visit the Document Library