Skip to Content
Merck
CN

ZRB1021

Anti-Angiotensinogen Antibody, clone 1B12 ZooMAb® Rabbit Monoclonal

greener alternative

recombinant, expressed in HEK 293 cells

Synonym(s):

Serpin A8

Sign In to View Organizational & Contract Pricing.

Select a Size

Change View

About This Item

NACRES:
NA.43
UNSPSC Code:
12352203
Conjugate:
unconjugated
Clone:
1B12, recombinant monoclonal, monoclonal
Application:
ICC, IHC (p), WB, affinity binding assay
Citations:
-
Technical Service
Need help? Our team of experienced scientists is here for you.
Let Us Assist


biological source

rabbit

Quality Level

recombinant

expressed in HEK 293 cells

conjugate

unconjugated

antibody form

purified antibody

antibody product type

primary antibodies

clone

1B12, recombinant monoclonal, monoclonal

product line

ZooMAb® learn more

form

lyophilized

mol wt

calculated mol wt 53.15 kDa, observed mol wt ~57 kDa

species reactivity

human

packaging

antibody small pack of 25 μL

greener alternative product characteristics

Waste Prevention
Designing Safer Chemicals
Design for Energy Efficiency
Learn more about the Principles of Green Chemistry.

enhanced validation

recombinant expression
Learn more about Antibody Enhanced Validation

sustainability

Greener Alternative Product

technique(s)

affinity binding assay: suitable, immunocytochemistry: suitable, immunohistochemistry (formalin-fixed, paraffin-embedded sections): suitable, western blot: suitable

isotype

IgG

UniProt accession no.

greener alternative category

shipped in

ambient

storage temp.

2-8°C

target post-translational modification

unmodified

Gene Information

human ... AGT(183)

General description

Angiotensinogen (UniProt: P01019; also known as Serpin A8, AGT) is encoded by the AGT (also known as SERPINA8) gene (Gene ID: 183) in human. AGT is a member of the non-inhibitory serpin superfamily that is synthesized in the liver with a signal peptide (aa 1-33) and can be cleaved into various angiotensin peptides. It is the only known precursor of angiotensin peptides. AGT is an essential component of the renin-angiotensin system (RAS), which is involved in the regulation of blood pressure, body fluids, and electrolyte homeostasis. Cleavage of angiotensinogen by renin, a rate limiting step, generates Angiotensin-1 (ANG-1), which by the action of angiotensin converting enzyme (ACE) generates Angiotensin-2 (ANG-2). ANG-2 can increase blood pressure by vasoconstriction, sympathetic nervous system stimulation, and by increasing the biosynthesis of aldosterone that can affect renal sodium and water absorption. This ZooMAb recombinant monoclonal antibody, generated by our propriety technology, offers significantly enhanced specificity, affinity, reproducibility, and stability over conventional monoclonals. (Ref.: Lu, H., et al. (2016). Hypertens. Res. 39(7); 492-500).
We are committed to bringing you greener alternative products, which adhere to one or more of The 12 Principles of Green Chemistry.This antibody is Preservative-free, produced without the harm or sacrifice of animals and exceptionally stable to allow for ambient shipping and storage if needed and thus aligns with "Waste Prevention", "Designing Safer Chemicals" and "Design for Energy Efficiency". Click here for more information.
ZooMAb antibodies represent an entirely new generation of recombinant monoclonal antibodies.

Each ZooMAb antibody is manufactured using our proprietary recombinant expression system, purified to homogeneity, and precisely dispensed to produce robust and highly reproducible lot-to-lot consistency. Only top-performing clones are released for use by researchers. Each antibody is validated for high specificity and affinity across multiple applications, including its most commonly used application. ZooMAb antibodies are reliably available and ready to ship when you need them.

Learn more about ZooMAb here.

Immunogen

KLH-conjugated linear peptide corresponding to 20 amino acids from the C-terminus of Human Angiotensinogen.

Application

Affinity Binding Assay: A representative lot of this antibody bound Angiotensinogen peptide with a KD of 5.1 x 10-7 in an affinity binding assay.

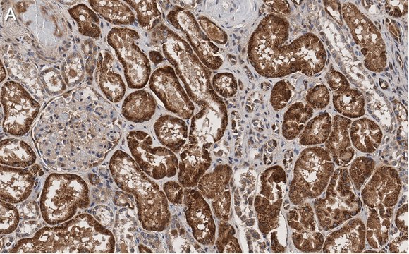
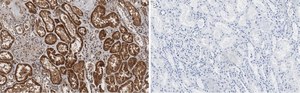
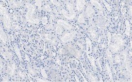
Immunohistochemistry (Paraffin) Analysis: A 1:1,000 dilution from a representative lot detected Angiotensinogen in human kidney and human liver tissue sections.

Immunocytochemistry Analysis: A 1:100 dilution from a representative lot detected Angiotensinogen in HepG2 cells.

Note: Actual optimal working dilutions must be determined by end user as specimens, and experimental conditions may vary with the end user
Anti-Angiotensinogen, clone 1B12 ZooMAb, Cat. No. ZRB1021, is a recombinant Rabbit monoclonal antibody that targets Angiotensinogen and is tested in Affinity Binding Assay, Immunocytochemistry, Immunohistochemistry (Paraffin), and Western Blotting.

Biochem/physiol Actions

Clone 1B12 is a ZooMAb rabbit recombinant monoclonal antibody that specifically detects human Angiotensinogen. It targets an epitope within 20 amino acids from the C-terminal region.

Physical form

Purified recombinant rabbit monoclonal antibody IgG, lyophilized in PBS with 5% Trehalose, normal appearance a coarse or translucent resin. Contains no biocide or preservatives, such as azide, or any animal by-products. Larger pack sizes provided as multiples of 25 μL.

Preparation Note

Recommend storage of lyophilized product at 2-8°C; Before reconstitution, micro-centrifuge vials briefly to spin down material to bottom of the vial; Reconstitute each vial by adding 25 μL of filtered lab grade water or PBS; Reconstituted antibodies can be stored at 2-8°C, or -20°C for long term storage. Avoid repeated freeze-thaws.
Reconstitute lyophilized antibody pellet with 25μL of ultrapure water or Phosphate Buffered Saline (PBS). Please refer to our reconstitution protocol and the specific application guidance on the suggested starting dilutions and sample type.

Legal Information

ZooMAb is a registered trademark of Merck KGaA, Darmstadt, Germany

Disclaimer

Unless otherwise stated in our catalog or other company documentation accompanying the product(s), our products are intended for research use only and are not to be used for any other purpose, which includes but is not limited to, unauthorized commercial uses, in vitro diagnostic uses, ex vivo or in vivo therapeutic uses or any type of consumption or application to humans or animals.


Still not finding the right product?

Try our Product Selector Tool to narrow your options


Storage Class

11 - Combustible Solids

wgk

WGK 1

Regulatory Information

常规特殊物品

This item has



Choose from one of the most recent versions:

Certificates of Analysis (COA)

Lot/Batch Number

Don't see the Right Version?

If you require a particular version, you can look up a specific certificate by the Lot or Batch number.

Already Own This Product?

Find documentation for the products that you have recently purchased in the Document Library.

Visit the Document Library



Global Trade Item Number

SKUGTIN
ZRB1021-25UL04061842162529
ZRB1021-4X25UL04061842162536