Skip to Content
Merck
CN

ZRB1175

Anti-p53 Antibody, clone 6O23, ZooMAb® Rabbit Monoclonal

greener alternative

recombinant, expressed in HEK 293 cells

Synonym(s):

Anti-BCC7, Anti-BMFS5, Anti-LFS1, Anti-P53, Anti-TRP53

Sign In to View Organizational & Contract Pricing.

Select a Size

Change View

About This Item

NACRES:
NA.41
UNSPSC Code:
12352203
Conjugate:
unconjugated
Clone:
6O23, recombinant monoclonal
Application:
ICC, IHC (p), WB
Citations:
-
Technical Service
Need help? Our team of experienced scientists is here for you.
Let Us Assist


Quality Level

biological source

rabbit (recombinant)

recombinant

expressed in HEK 293 cells

conjugate

unconjugated

antibody form

purified antibody

antibody product type

primary antibodies

clone

6O23, recombinant monoclonal

product line

ZooMAb® learn more

form

lyophilized

mol wt

calculated mol wt 43.65 kDa, observed mol wt ~53 kDa

species reactivity

human

species reactivity (predicted by homology)

bovine, rhesus macaque

packaging

antibody small pack of 25 μL

greener alternative product characteristics

Waste Prevention
Designing Safer Chemicals
Design for Energy Efficiency
Learn more about the Principles of Green Chemistry.

enhanced validation

recombinant expression
Learn more about Antibody Enhanced Validation

sustainability

Greener Alternative Product

technique(s)

immunocytochemistry: suitable, immunohistochemistry (formalin-fixed, paraffin-embedded sections): suitable, western blot: suitable (peptide)

isotype

IgG

UniProt accession no.

greener alternative category

shipped in

ambient

storage temp.

2-8°C

target post-translational modification

unmodified

Gene Information

human ... TP53(7157)

General description

Cellular tumor antigen p53 (UniProt: P04637; also known as Antigen NY-CO-13, Phosphoprotein p53, Tumor suppressor p53) is encoded by the TP53 (also known as p53) gene (Gene ID: 7157) in human. p53, a well-conserved phosphoprotein, is one of the best-known tumor suppressors. Human p53 consists of 393 amino acids assembled into five structurally and functionally different domains. It acts as a sequence-specific nuclear transcription factor that binds to defined consensus sites within DNA as a tetramer and represses transcription of a set of genes involved in cell growth stimulation, while activating a different set of genes involved in cell cycle control. It causes growth arrest before either DNA replication thereby providing a window for DNA repair or elimination of cells with severely damaged DNA strands. In some cell types, however, p53 activation results in apoptosis as a means of eliminating severely damaged cells. In normal, non-activated cells, the p53 signaling network is not active. However, p53 signaling is activated in cells as a response to various signals. Carcinogen-induced DNA damage, abnormal proliferative signals, hypoxia, and loss of cell adhesion are some of the most common signals that activate p53. The final outcome of p53 activation depends on many factors and is mediated largely through the action of downstream effector genes transactivated by p53. In unstressed cells, p53 is latent and is maintained at low levels by targeted, ubiquitin-mediated degradation mediated by MDM2 and many other ubiquitin ligases. MDM2 functions as an E3 ligase to ubiquitinate p53 and force its export from the nucleus to the cytoplasm, where p53 is degraded by the proteasome. This ZooMAb recombinant monoclonal antibody, generated by our propriety technology, offers significantly enhanced specificity, affinity, reproducibility, and stability over conventional monoclonals.
We are committed to bringing you greener alternative products, which adhere to one or more of The 12 Principles of Green Chemistry.This antibody is Preservative-free, produced without the harm or sacrifice of animals and exceptionally stable to allow for ambient shipping and storage if needed and thus aligns with "Waste Prevention", "Designing Safer Chemicals" and "Design for Energy Efficiency". Click here for more information.
ZooMAb antibodies represent an entirely new generation of recombinant monoclonal antibodies.

Each ZooMAb antibody is manufactured using our proprietary recombinant expression system, purified to homogeneity, and precisely dispensed to produce robust and highly reproducible lot-to-lot consistency. Only top-performing clones are released for use by researchers. Each antibody is validated for high specificity and affinity across multiple applications, including its most commonly used application. ZooMAb antibodies are reliably available and ready to ship when you need them.

Learn more about ZooMAb here.

Immunogen

KLH-conjugated linear peptide corresponding to 12 amino acids from the N-terminal region of human p53.

Application

Anti-p53, clone 6O23 ZooMAb , Cat. No. ZRB1175, is a highly specific recombinant rabbit monoclonal antibody that detects p53 and has been tested for use in Immunocytochemistry, Immunohistochemistry (Paraffin), and Western Blotting.
Western Blotting Analysis: A 1:1,000 dilution from a representative lot detected p53 in HEK293 cell lysate.

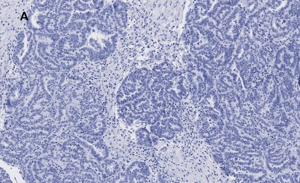
Immunohistochemistry (Paraffin) Analysis: A 1:10-100 dilution from a representative lot detected p53 in human ovarian cancer and human colon cancer tissue sections.

Immunocytochemistry Analysis: A 1:100 dilution from a representative lot detected p53 in A431 and HaCaT cell lines.

Note: Actual optimal working dilutions must be determined by the end user as specimens and experimental conditions may vary.

Biochem/physiol Actions

Clone 6O23 is a ZooMAb rabbit recombinant monoclonal antibody that specifically detects p53 protein. It targets an epitope within 12 amino acids from the N-terminal region.

Physical form

Purified recombinant rabbit monoclonal antibody IgG, lyophilized in PBS with 5% Trehalose. Normal appearance is a coarse or translucent resin. Contains no biocide or preservatives, such as azide, or any animal by-products. Larger pack sizes provided as multiples of 25 μL.

Preparation Note

Recommend storage of lyophilized product at 2-8°C; Before reconstitution, micro-centrifuge vials briefly to spin down material to bottom of the vial; Reconstitute each vial by adding 25 μL of filtered lab grade water or PBS; Reconstituted antibodies can be stored at 2-8°C, or -20°C for long term storage. Avoid repeated freeze-thaws.
Reconstitute lyophilized antibody pellet with 25μL of ultrapure water or Phosphate Buffered Saline (PBS). Please refer to our reconstitution protocol and the specific application guidance on the suggested starting dilutions and sample type.

Legal Information

ZooMAb is a registered trademark of Merck KGaA, Darmstadt, Germany

Disclaimer

Unless otherwise stated in our catalog or other company documentation accompanying the product(s), our products are intended for research use only and are not to be used for any other purpose, which includes but is not limited to, unauthorized commercial uses, in vitro diagnostic uses, ex vivo or in vivo therapeutic uses or any type of consumption or application to humans or animals.


Still not finding the right product?

Try our Product Selector Tool to narrow your options


Storage Class

11 - Combustible Solids

wgk

WGK 2

flash_point_f

Not applicable

flash_point_c

Not applicable

Regulatory Information

常规特殊物品

This item has



Choose from one of the most recent versions:

Certificates of Analysis (COA)

Lot/Batch Number

Don't see the Right Version?

If you require a particular version, you can look up a specific certificate by the Lot or Batch number.

Already Own This Product?

Find documentation for the products that you have recently purchased in the Document Library.

Visit the Document Library


Articles

Learn about the hallmarks of cancer and find reliable ZooMAb® recombinant antibodies to study them, conveniently organized by cancer hallmark.