Skip to Content
Merck
CN

ZRB1216

Anti-CD31 Antibody, clone 4E20 , ZooMAb® Rabbit Monoclonal

greener alternative

recombinant, expressed in HEK 293 cells

Synonym(s):

Platelet endothelial cell adhesion

Sign In to View Organizational & Contract Pricing.

Select a Size

Change View

About This Item

NACRES:
NA.41
UNSPSC Code:
12352203
Conjugate:
unconjugated
Clone:
4E20, recombinant monoclonal
Application:
FACS, ICC, IHC, WB
Citations:
-
Technical Service
Need help? Our team of experienced scientists is here for you.
Let Us Assist


biological source

rabbit (recombinant)

Quality Level

recombinant

expressed in HEK 293 cells

conjugate

unconjugated

antibody form

purified antibody

antibody product type

primary antibodies

clone

4E20, recombinant monoclonal

product line

ZooMAb® learn more

form

lyophilized

mol wt

calculated mol wt 82.52 kDa, observed mol wt 130 kDa

species reactivity

human

packaging

antibody small pack of 25 μL

greener alternative product characteristics

Waste Prevention
Designing Safer Chemicals
Design for Energy Efficiency
Learn more about the Principles of Green Chemistry.

enhanced validation

recombinant expression
Learn more about Antibody Enhanced Validation

sustainability

Greener Alternative Product

technique(s)

flow cytometry: suitable, immunocytochemistry: suitable, immunohistochemistry: suitable, western blot: suitable

isotype

IgG

UniProt accession no.

greener alternative category

shipped in

ambient

storage temp.

2-8°C

target post-translational modification

unmodified

Gene Information

human ... PECAM1(5175)

General description

Platelet endothelial cell adhesion molecule (UniProt: P16284; also known as PECAM-1, EndoCAM. GPIIA′, PECA1, CD31) is encoded by the PECAM1 gene (Gene ID: 5175) in human. PECAM-1 is a single-pass type I membrane protein that is synthesized with a signal peptide (aa 1-27) that is subsequently cleaved to generate the mature protein with a large extracellular region (aa 28-601) that contains six Ig-like C2-type domains, followed by a transmembrane segment (aa 602-620) and a cytoplasmic tail (aa. 621-738 of isoform Long) that plays an essential role in PECAM-1-mediated cellular signaling. It contains six Ig-like C2-type domains and Ig-like C2-type domains 2 and 3 contribute to formation of the complex with BDKRB2 and in regulation of its activity. PECAM-1 is essential for leukocyte transendothelial migration (TEM) under most inflammatory conditions. It is expressed on platelets and leukocytes and is primarily concentrated at the borders between endothelial cells. Six isoforms of PECAM-1 have been described that are produced by alternative splicing. Isoform Long predominates in all tissues examined, whereas Delta 12 isoform is detected only in trachea and isoform Delta14-15 are only detected in lung tissue. Isoform Delta14 is detected in all tissues examined with the strongest expression in heart. Isoform Delta15 is expressed in brain, testis, ovary, cell surface of platelets, human umbilical vein endothelial cells (HUVECs), Jurkat T-cell leukemia, human erythroleukemia and U-937 histiocytic lymphoma cell lines. Tyrosine 690 residue plays a critical role in TEM and is required for efficient trafficking of PECAM-1 to and from the lateral border recycling compartment (LBRC) and is also required for the LBRC membrane to be targeted around migrating leukocytes. PECAM-1 also prevents phagocyte ingestion of closely apposed viable cells by transmitting ′detachment′ signals, and changes function on apoptosis, promoting tethering of dying cells to phagocytes. This ZooMAb recombinant monoclonal antibody, generated by our propriety technology, offers significantly enhanced specificity, affinity, reproducibility, and stability over conventional monoclonals.
We are committed to bringing you greener alternative products, which adhere to one or more of The 12 Principles of Green Chemistry.This antibody is Preservative-free, produced without the harm or sacrifice of animals and exceptionally stable to allow for ambient shipping and storage if needed and thus aligns with "Waste Prevention", "Designing Safer Chemicals" and "Design for Energy Efficiency". Click here for more information.
ZooMAb antibodies represent an entirely new generation of recombinant monoclonal antibodies.

Each ZooMAb antibody is manufactured using our proprietary recombinant expression system, purified to homogeneity, and precisely dispensed to produce robust and highly reproducible lot-to-lot consistency. Only top-performing clones are released for use by researchers. Each antibody is validated for high specificity and affinity across multiple applications, including its most commonly used application. ZooMAb antibodies are reliably available and ready to ship when you need them.

Learn more about ZooMAb here.

Immunogen

GST/His-tagged recombinant fragment corresponding to 85 amino acids from the C-terminal, cytoplasmic domain of human Platelet endothelial cell adhesion molecule (CD31; PECAM-1).

Application

Anti-CD31, clone 4E20 ZooMAb, Cat. No. ZRB1216, is a highly specific rabbit recombinant monoclonal antibody that targets Platelet endothelial cell adhesion molecule (CD31 / PECAM-1) and has been tested for use in Flow Cytometry, Immunocytochemistry, Immunohistochemistry, and Western Blotting.
Western Blotting Analysis: A 1:1,000 dilution from a representative lot detected CD31 in THP1, HL60, and Jurkat cell lysates.

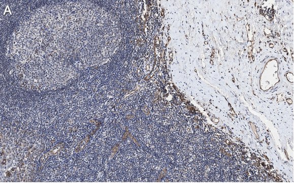
Immunohistochemistry (Paraffin) Analysis: A 1:10,000 dilution from a representative lot detected CD31 in human tonsil tissue sections.

Flow Cytometry Analysis: 0.2 μg/mL from a representative lot detected CD31 in THP-1 cells.

Immunocytochemistry Analysis: A 1:100 dilution from a representative lot detected CD31 in THP-1 cell line.

Note: Actual optimal working dilutions must be determined by end user as specimens and experimental conditions may vary.

Biochem/physiol Actions

Clone 4E20 is a ZooMAb rabbit recombinant monoclonal antibody that specifically detects human Platelet endothelial cell adhesion molecule (PECAM-1). It targets an epitope within the cytoplasmic domain from the C-terminal region.

Physical form

Purified recombinant rabbit monoclonal antibody IgG, lyophilized in PBS with 5% Trehalose, normal appearance a coarse or translucent resin. Contains no biocide or preservatives, such as azide, or any animal by-products. Larger pack sizes provided as multiples of 25 μL.

Preparation Note

Recommend storage of lyophilized product at 2-8°C; Before reconstitution, micro-centrifuge vials briefly to spin down material to bottom of the vial; Reconstitute each vial by adding 25 μL of filtered lab grade water or PBS; Reconstituted antibodies can be stored at 2-8°C, or -20°C for long term storage. Avoid repeated freeze-thaws.
Reconstitute lyophilized antibody pellet with 25μL of ultrapure water or Phosphate Buffered Saline (PBS). Please refer to our reconstitution protocol and the specific application guidance on the suggested starting dilutions and sample type.

Legal Information

ZooMAb is a registered trademark of Merck KGaA, Darmstadt, Germany

Disclaimer

Unless otherwise stated in our catalog or other company documentation accompanying the product(s), our products are intended for research use only and are not to be used for any other purpose, which includes but is not limited to, unauthorized commercial uses, in vitro diagnostic uses, ex vivo or in vivo therapeutic uses or any type of consumption or application to humans or animals.


Still not finding the right product?

Try our Product Selector Tool to narrow your options


Storage Class

11 - Combustible Solids

wgk

WGK 1

flash_point_f

Not applicable

flash_point_c

Not applicable

Regulatory Information

常规特殊物品

This item has



Choose from one of the most recent versions:

Certificates of Analysis (COA)

Lot/Batch Number

Don't see the Right Version?

If you require a particular version, you can look up a specific certificate by the Lot or Batch number.

Already Own This Product?

Find documentation for the products that you have recently purchased in the Document Library.

Visit the Document Library



Global Trade Item Number

SKUGTIN
ZRB1216-25UL04061841040088
ZRB1216-4X25UL04061841040095