Skip to Content
Merck
CN

ZRB1264

Anti-Reelin Antibody, clone 3F13 ZooMAb® Rabbit Monoclonal

greener alternative

recombinant, expressed in HEK 293 cells

Synonym(s):

RELN

Sign In to View Organizational & Contract Pricing.

Select a Size

Change View

About This Item

NACRES:
NA.43
UNSPSC Code:
12352203
Conjugate:
unconjugated
Clone:
3F13, recombinant monoclonal
Application:
ICC, IF, IHC (p), WB, affinity binding assay
Citations:
-
Technical Service
Need help? Our team of experienced scientists is here for you.
Let Us Assist


biological source

rabbit

Quality Level

recombinant

expressed in HEK 293 cells

conjugate

unconjugated

antibody form

purified antibody

antibody product type

primary antibodies

clone

3F13, recombinant monoclonal

description

recombinant, expressed in HEK 293 cells

product line

ZooMAb® learn more

form

lyophilized

mol wt

calculated mol wt 388.39 kDa, observed mol wt ~380 kDa

purified by

using Protein A

species reactivity

rat, human

packaging

antibody small pack of 25 μL

greener alternative product characteristics

Waste Prevention
Designing Safer Chemicals
Design for Energy Efficiency
Learn more about the Principles of Green Chemistry.

enhanced validation

recombinant expression
Learn more about Antibody Enhanced Validation

sustainability

Greener Alternative Product

technique(s)

affinity binding assay: suitable, immunocytochemistry: suitable, immunofluorescence: suitable, immunohistochemistry (formalin-fixed, paraffin-embedded sections): suitable, western blot: suitable

isotype

IgG

epitope sequence

N-terminal half

Protein ID accession no.

UniProt accession no.

greener alternative category

shipped in

ambient

storage temp.

2-8°C

target post-translational modification

unmodified

Gene Information

human ... RELN(5649)

General description

Reelin (UniProt: P78509; also known as RELN) is encoded by the RELN gene (Gene ID: 5649) in human. Reelin is a large extracellular matrix glycoprotein with serine protease activity. It is synthesized with a signal peptide (aa 1-25) that is subsequently cleaved off to produce the mature form that contains 8 EGF-like domains. Its Reelin domain is located in amino acids 26-190. Reelin plays a role in brain development and layering of neurons in the cerebral cortex and cerebellum. It is abundantly produced during brain ontogenesis by the Cajal-Retzius cells and other neurons located in the telencephalic marginal zone and by granule cells of the external granular layer of the cerebellum. In the adult brain it is preferentially expressed in GABAergic interneurons of prefrontal cortices, temporal cortex, hippocampus and glutamatergic granule cells of cerebellum. It is also expressed in the retina, liver, thyroid gland, adrenal gland, fallopian tube, and breast tissue. Reelin is shown to regulate the positioning of neurons and participates in neurotransmission and memory formation. It also regulates microtubule function in neurons and neuronal migration and affects migration of sympathetic preganglionic neurons in the spinal cord, where it seems to act as a barrier to neuronal migration. Reelin participates in canonical signaling via binding to VLDL receptor and apolipoprotein E receptor 2 and induces tyrosine phosphorylation of the adaptor protein disabled 1 (Dab1) by Src kinases. Phosphorylated Dab1 in-turn activates downstream signaling, including the PI3-kinase-dependent pathways. Mutations in RELN gene have been linked to familial temporal lobe epilepsy and Lissencephaly that is associated with ataxia, mental retardation, and seizures. This ZooMAb® recombinant monoclonal antibody, generated by our propriety technology, offers significantly enhanced specificity, affinity, reproducibility, and stability over conventional monoclonals. (Ref.: Mikulska-Ruminska, K., et al. (2019). Sci. Rep. 9; 18974; Dlugosz, P. and Nimpf, J. (2018). J. Mol. Sci. 19(10); E3090).
We are committed to bringing you greener alternative products, which adhere to one or more of The 12 Principles of Green Chemistry.This antibody is Preservative-free, produced without the harm or sacrifice of animals and exceptionally stable to allow for ambient shipping and storage if needed and thus aligns with "Waste Prevention", "Designing Safer Chemicals" and "Design for Energy Efficiency". Click here for more information.
ZooMAb® antibodies represent an entirely new generation of recombinant monoclonal antibodies.

Each ZooMAb® antibody is manufactured using our proprietary recombinant expression system, purified to homogeneity, and precisely dispensed to produce robust and highly reproducible lot-to-lot consistency. Only top-performing clones are released for use by researchers. Each antibody is validated for high specificity and affinity across multiple applications, including its most commonly used application. ZooMAb® antibodies are reliably available and ready to ship when you need them.

Immunogen

His-tagged recombinant fragment corresponding to 333 amino acids from the N-terminal half of human Reelin.

Application

Quality Control Testing

Evaluated by Western Blotting in HepG2 cell lysate.

Western Blotting Analysis: A 1:1,000 dilution of this antibody detected Reelin in HepG2 cell lysate.

Tested applications

Western Blotting Analysis: A 1:1,000 dilution from a representative lot detected Reelin in C6 cell lysate.

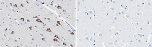
Immunohistochemistry (Paraffin) Analysis: A 1:100 dilution from a representative lot detected Reelin in human cerebral cortex tissue sections.

Affinity Binding Assay: A representative lot of this antibody bound Reelin with a KD of 2.3 x 10-8 in an affinity binding assay.

Immunocytochemistry Analysis: A 1:100 dilution from a representative lot detected Reelin in C6 cells.

Immunofluorescence Analysis: A 1:100 dilution from a representative lot detected Reelin in human cerebral cortex tissue sections.

Note: Actual optimal working dilutions must be determined by end user as specimens, and experimental conditions may vary with the end user

Biochem/physiol Actions

Clone 3F13 is a ZooMAb® Rabbit recombinant monoclonal antibody that specifically detects Reelin. It targets an epitope within the N-terminal half.

Physical form

Purified recombinant rabbit monoclonal antibody IgG, lyophilized in PBS with 5% Trehalose, normal appearance a coarse or translucent resin. The PBS/trehalose components in the ZooMAb formulation can have the appearance of a semi-solid (bead like gel) after lyophilization. This is a normal phenomenon. Please follow the recommended reconstitution procedure in the data sheet to dissolve the semi-solid, bead-like, gel-appearing material. The resulting antibody solution is completely stable and functional as proven by full functional testing. Contains no biocide or preservatives, such as azide, or any animal by-products. Larger pack sizes provided as multiples of 25 μL.

Preparation Note

Recommend storage of lyophilized product at 2-8°C; Before reconstitution, micro-centrifuge vials briefly to spin down material to bottom of the vial; Reconstitute each vial by adding 25 μL of filtered lab grade water or PBS; Reconstituted antibodies can be stored at 2-8°C, or -20°C for long term storage. Avoid repeated freeze-thaws.
Reconstitute lyophilized antibody pellet with 25μL of ultrapure water or Phosphate Buffered Saline (PBS). Please refer to our reconstitution protocol and the specific application guidance on the suggested starting dilutions and sample type.

Legal Information

ZooMAb is a registered trademark of Merck KGaA, Darmstadt, Germany

Disclaimer

Unless otherwise stated in our catalog or other company documentation accompanying the product(s), our products are intended for research use only and are not to be used for any other purpose, which includes but is not limited to, unauthorized commercial uses, in vitro diagnostic uses, ex vivo or in vivo therapeutic uses or any type of consumption or application to humans or animals.


Still not finding the right product?

Try our Product Selector Tool to narrow your options


Storage Class

11 - Combustible Solids

wgk

WGK 1

flash_point_f

Not applicable

flash_point_c

Not applicable

Regulatory Information

常规特殊物品

This item has



Choose from one of the most recent versions:

Certificates of Analysis (COA)

Lot/Batch Number

Don't see the Right Version?

If you require a particular version, you can look up a specific certificate by the Lot or Batch number.

Already Own This Product?

Find documentation for the products that you have recently purchased in the Document Library.

Visit the Document Library



Global Trade Item Number

SKUGTIN
ZRB1264-25UL04065267740041
ZRB1264-4X25UL04065267740058